Suppr超能文献

The paramount of three-dimensional echocardiography in percutaneous closure of large oval perimembranous ventricular septal defect: a case report.

作者信息

Siagian Sisca Natalia, Kurniawati Yovi

机构信息

Division of Pediatric Cardiology and Congenital Heart Disease, Department of Cardiology and Vascular Medicine, National Cardiovascular Centre Harapan Kita, Universitas Indonesia, 11420 Jakarta, Indonesia.

出版信息

Eur Heart J Case Rep. 2024 Apr 9;8(4):ytae170. doi: 10.1093/ehjcr/ytae170. eCollection 2024 Apr.

Abstract

BACKGROUND

Ventricular septal defect (VSD) is the most common type of congenital heart abnormality with perimembranous VSD (pmVSD) accounting for ∼70% of all VSD. Nowadays, transcatheter closure is the first choice for suitable pmVSD. However, there was no report about closing the large oval-shaped VSD percutaneously.

CASE SUMMARY

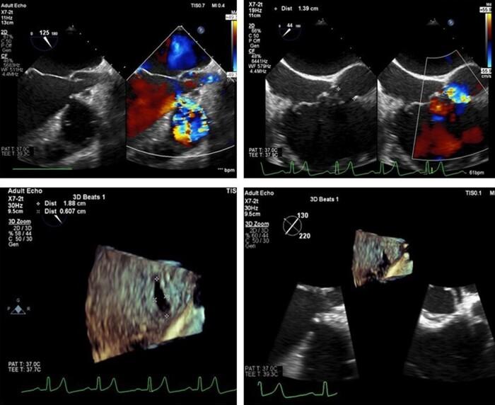
A 34-year-old male with known VSD was referred for transcatheter closure after failed attempts in other hospital. Patient had been diagnosed with VSD at a young age, but he was lost to follow-up. He presented with shortness of breath due to heart failure and pulmonary hypertension. The initial measurement of the defect was 6-7 mm by transthoracic echocardiography (TTE), transoesophageal echocardiography (TEE), and LV angiography. However, re-measurement using TEE and 3D echocardiography revealed that the VSD is oval with diameters of 18 mm × 6 mm. Initially, device No. 12/14 was used, but it was dislodged on two attempts. The operator then decided to upsize the device size to No. 16/18 that was successful. The patient's condition was good, and 6 months follow-up after the procedure showed good outcomes without any residual defect or arrhythmia.

DISCUSSION

In this study, we would like to highlight the rarity of large oval pmVSD that almost failed to be closed with the conventional measurement with echocardiography and fluoroscopy. Transoesophageal echocardiography especially 3D can be the new modality of choice that might be superior to fluoroscopy to decide the right device size in some cases such as oval-shaped pmVSD.

摘要
https://cdn.ncbi.nlm.nih.gov/pmc/blobs/cebf/11037106/b1d528839d9c/ytae170il2.jpg

文献AI研究员

20分钟写一篇综述,助力文献阅读效率提升50倍。

立即体验

用中文搜PubMed

大模型驱动的PubMed中文搜索引擎

马上搜索

文档翻译

学术文献翻译模型,支持多种主流文档格式。

立即体验