Suppr超能文献

比较用于导航股总动脉入路的不同配准和可视化方法——一项使用混合现实的体模模型研究

Comparing Different Registration and Visualization Methods for Navigated Common Femoral Arterial Access-A Phantom Model Study Using Mixed Reality.

作者信息

Hatzl Johannes, Henning Daniel, Böckler Dittmar, Hartmann Niklas, Meisenbacher Katrin, Uhl Christian

机构信息

Department of Vascular and Endovascular Surgery, University Hospital Heidelberg, 69120 Heidelberg, Germany.

Department of Vascular Surgery, University Hospital RWTH Aachen, 52074 Aachen, Germany.

出版信息

J Imaging. 2024 Mar 25;10(4):76. doi: 10.3390/jimaging10040076.

Abstract

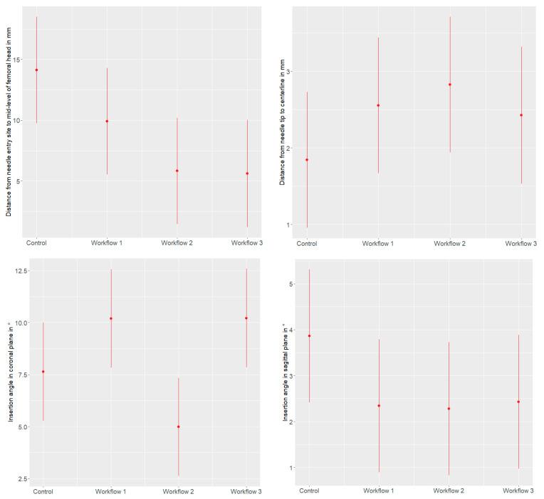
Mixed reality (MxR) enables the projection of virtual three-dimensional objects into the user's field of view via a head-mounted display (HMD). This phantom model study investigated three different workflows for navigated common femoral arterial (CFA) access and compared it to a conventional sonography-guided technique as a control. A total of 160 punctures were performed by 10 operators (5 experts and 5 non-experts). A successful CFA puncture was defined as puncture at the mid-level of the femoral head with the needle tip at the central lumen line in a 0° coronary insertion angle and a 45° sagittal insertion angle. Positional errors were quantified using cone-beam computed tomography following each attempt. Mixed effect modeling revealed that the distance from the needle entry site to the mid-level of the femoral head is significantly shorter for navigated techniques than for the control group. This highlights that three-dimensional visualization could increase the safety of CFA access. However, the navigated workflows are infrastructurally complex with limited usability and are associated with relevant cost. While navigated techniques appear as a potentially beneficial adjunct for safe CFA access, future developments should aim to reduce workflow complexity, avoid optical tracking systems, and offer more pragmatic methods of registration and instrument tracking.

摘要

混合现实(MxR)能够通过头戴式显示器(HMD)将虚拟三维物体投射到用户的视野中。这项体模模型研究调查了三种不同的导航股总动脉(CFA)穿刺工作流程,并将其与传统超声引导技术作为对照进行比较。10名操作者(5名专家和5名非专家)共进行了160次穿刺。成功的CFA穿刺定义为在股骨头中间水平穿刺,针尖位于中心腔线,冠状面插入角度为0°,矢状面插入角度为45°。每次尝试后使用锥形束计算机断层扫描对位置误差进行量化。混合效应模型显示,与对照组相比,导航技术从进针点到股骨头中间水平的距离明显更短。这突出表明三维可视化可以提高CFA穿刺的安全性。然而,导航工作流程在基础设施方面较为复杂,可用性有限,且成本较高。虽然导航技术似乎是安全CFA穿刺的潜在有益辅助手段,但未来的发展应旨在降低工作流程的复杂性,避免光学跟踪系统,并提供更实用的配准和器械跟踪方法。

https://cdn.ncbi.nlm.nih.gov/pmc/blobs/f407/11051344/0abf7bbaee27/jimaging-10-00076-g001.jpg

文献AI研究员

20分钟写一篇综述,助力文献阅读效率提升50倍。

立即体验

用中文搜PubMed

大模型驱动的PubMed中文搜索引擎

马上搜索

文档翻译

学术文献翻译模型,支持多种主流文档格式。

立即体验