Suppr超能文献

犬脾脏血管肉瘤的肿瘤免疫微环境及其临床病理和预后相关性

Tumor Immune Microenvironment and Its Clinicopathological and Prognostic Associations in Canine Splenic Hemangiosarcoma.

作者信息

Brachelente Chiara, Torrigiani Filippo, Porcellato Ilaria, Drigo Michele, Brescia Martina, Treggiari Elisabetta, Ferro Silvia, Zappulli Valentina, Sforna Monica

机构信息

Department of Veterinary Medicine, University of Perugia, Via San Costanzo 4, 06126 Perugia, Italy.

Department of Comparative Biomedicine and Food Science, University of Padua, AGRIPOLIS, Viale dell'Università 16, 35020 Legnaro, Italy.

出版信息

Animals (Basel). 2024 Apr 18;14(8):1224. doi: 10.3390/ani14081224.

Abstract

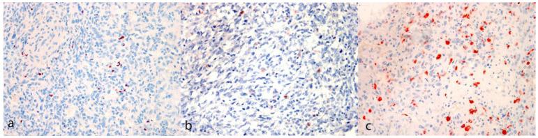
Tumor cells can induce important cellular and molecular modifications in the tissue or host where they grow. The idea that the host and tumor interact with each other has led to the concept of a tumor microenvironment, composed of immune cells, stromal cells, blood vessels, and extracellular matrix, representing a unique environment participating and, in some cases, promoting cancer progression. The study of the tumor immune microenvironment, particularly focusing on the role of tumor-infiltrating lymphocytes (TILs), is highly relevant in oncology due to the prognostic and therapeutic significance of TILs in various tumors and their identification as targets for therapeutic intervention. Canine splenic hemangiosarcoma (HSA) is a common tumor; however, its immune microenvironment remains poorly understood. This retrospective study aimed to characterize the histological and immunohistochemical features of 56 cases of canine splenic HSA, focusing particularly on tumor-infiltrating lymphocytes (TILs). We assessed the correlations between the lymphocytic response, the macroscopic and histological characteristics of the tumor, and the survival data. Our study demonstrated that FoxP3 distribution was associated with tumor-related death and survival, while the CD20 count was associated with metastasis. This study provides an in-depth characterization of the tumor immune microenvironment in canine splenic HSA and describes potential prognostic factors.

摘要

肿瘤细胞可在其生长的组织或宿主体内引发重要的细胞和分子变化。宿主与肿瘤相互作用的观点催生了肿瘤微环境的概念,肿瘤微环境由免疫细胞、基质细胞、血管和细胞外基质组成,代表了一个独特的环境,在某些情况下参与并促进癌症进展。肿瘤免疫微环境的研究,尤其是聚焦于肿瘤浸润淋巴细胞(TILs)的作用,在肿瘤学中具有高度相关性,这是因为TILs在各种肿瘤中具有预后和治疗意义,且它们被确定为治疗干预的靶点。犬脾脏血管肉瘤(HSA)是一种常见肿瘤;然而,其免疫微环境仍知之甚少。这项回顾性研究旨在描述56例犬脾脏HSA的组织学和免疫组化特征,尤其关注肿瘤浸润淋巴细胞(TILs)。我们评估了淋巴细胞反应、肿瘤的宏观和组织学特征与生存数据之间的相关性。我们的研究表明,FoxP3分布与肿瘤相关死亡和生存相关,而CD20计数与转移相关。这项研究对犬脾脏HSA的肿瘤免疫微环境进行了深入描述,并阐述了潜在的预后因素。

https://cdn.ncbi.nlm.nih.gov/pmc/blobs/f227/11047608/43b1710af229/animals-14-01224-g001.jpg

文献AI研究员

20分钟写一篇综述,助力文献阅读效率提升50倍。

立即体验

用中文搜PubMed

大模型驱动的PubMed中文搜索引擎

马上搜索

文档翻译

学术文献翻译模型,支持多种主流文档格式。

立即体验