Suppr超能文献

重症鼻窦炎合并海绵窦综合征的临床结局

Clinical Outcomes of Severe Rhinosinusitis Complicated with Cavernous Sinus Syndrome.

作者信息

Lin Jin-Yi, Liu Chien-Lin, Dai Zheng-Yan, Li Yu-Ting, Tsou Yung-An, Lin Chia-Der, Tai Chih-Jaan, Shih Liang-Chun

机构信息

Department of Otorhinolaryngology-Head and Neck Surgery, China Medical University Hospital, Taichung 404, Taiwan.

Department of Otorhinolaryngology-Head and Neck Surgery, Asia University Hospital, Taichung 404, Taiwan.

出版信息

J Clin Med. 2024 Apr 21;13(8):2420. doi: 10.3390/jcm13082420.

Abstract

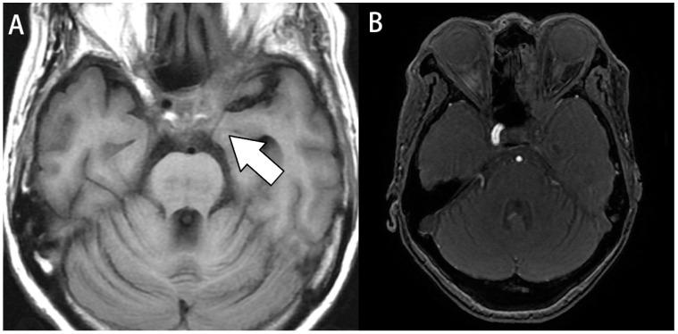
Various diseases involving the cavernous sinus can cause a condition called cavernous sinus syndrome (CSS), which is characterized by ophthalmoplegia or sensory deficits over the face resulting from the compression effect of internal structure. While tumor compression is the most reported cause of CSS, statistical data on CSS caused by infections are limited. Its risk factors, treatment methods, and clinical outcomes are not well-documented. In this retrospective study, we reviewed the data of patients admitted to a tertiary medical center from 2015 to 2022 with a diagnosis of acute and chronic sinusitis and at least one diagnostic code for CSS symptoms. We manually reviewed whether patients were involved in two or more of the following cranial nerves (CN): CN III, CN IV, CN V, or CN VI, or at least one of these nerves with a neuroimaging-confirmed lesion in the cavernous sinus. Nine patients were diagnosed with rhinosinusitis-related CSS. The most common comorbidity was type 2 diabetes, and the most common clinical manifestations were diplopia and blurred vision. The sphenoid sinus was the most affected sinus. One patient expired due to a severe brain abscess infection without surgery. The remaining patients underwent functional endoscopic sinus surgery, and 50% of the pathology reports indicated fungal infections. spp. was the most cultured bacteria, and Amoxycillin/Clavulanate was the most used antibiotic. Only four patients had total recovery during the follow-up one year later. CSS is a rare but serious complication of rhinosinusitis. Patients with diabetes and the elderly may be at a higher risk for this complication. Even after treatment, some patients may still have neurological symptoms.

摘要

各种累及海绵窦的疾病可导致一种称为海绵窦综合征(CSS)的病症,其特征为眼肌麻痹或因内部结构受压而导致面部感觉缺陷。虽然肿瘤压迫是CSS最常见的病因报道,但关于感染所致CSS的统计数据有限。其危险因素、治疗方法及临床结果尚无充分记录。在这项回顾性研究中,我们回顾了2015年至2022年入住一家三级医疗中心、诊断为急慢性鼻窦炎且至少有一个CSS症状诊断编码的患者数据。我们人工检查患者是否累及以下两条或更多颅神经(CN):CN III、CN IV、CN V或CN VI,或这些神经中至少一条在海绵窦有神经影像学证实的病变。9例患者被诊断为鼻窦炎相关性CSS。最常见的合并症是2型糖尿病,最常见的临床表现是复视和视力模糊。蝶窦是受累最严重的鼻窦。1例患者因严重脑脓肿感染未手术而死亡。其余患者接受了功能性内镜鼻窦手术,50%的病理报告显示为真菌感染。spp.是培养最多的细菌,阿莫西林/克拉维酸是最常用的抗生素。在随访一年后,只有4例患者完全康复。CSS是鼻窦炎一种罕见但严重的并发症。糖尿病患者和老年人可能发生这种并发症的风险更高。即使经过治疗,一些患者可能仍有神经症状。

https://cdn.ncbi.nlm.nih.gov/pmc/blobs/a3db/11051099/bce890c9b343/jcm-13-02420-g001.jpg

文献AI研究员

20分钟写一篇综述,助力文献阅读效率提升50倍。

立即体验

用中文搜PubMed

大模型驱动的PubMed中文搜索引擎

马上搜索

文档翻译

学术文献翻译模型,支持多种主流文档格式。

立即体验