Minkowitz Barbara, Mendelow Eytan, Ristic Jennifer, Gagliardo Christina, Spingarn Colleen
Department of Orthopedics, Morristown Medical Center, 261 James Street, Suite 3C, Morristown, New Jersey.
Department of Pediatric Infectious Disease, Morristown Medical Center, 100 Madison Avenue, Morristown, New Jersey, Director, Division of Pediatric Infectious Diseases, Goryeb Children's Hospital, Atlantic Health System Clinical Assistant Professor of Pediatrics, Sidney Kimmel Medical College of Thomas Jefferson University, Philadelphia, Pennsylvania.
J Orthop Case Rep. 2024 Apr;14(4):29-34. doi: 10.13107/jocr.2024.v14.i04.4348.
Brodie's abscess is one type of subacute osteomyelitis that can be difficult to diagnose because characteristic signs and symptoms can be subtle and non-specific. Up to 90% of Brodie's abscess cases are initially misdiagnosed, with a mean delay of 3 months to the correct diagnosis, with 50% of them misdiagnosed as tumors. Other conditions can also present quite similarly.
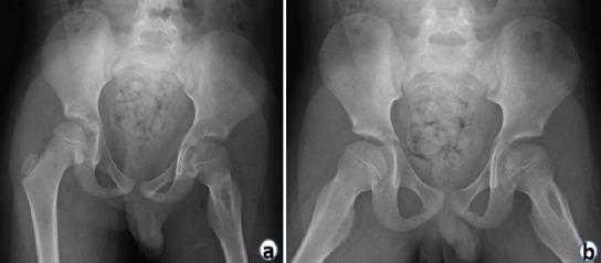
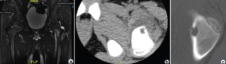
A 7-year-old male presented with complaints of hip pain and inability to bear weight. X-rays revealed Brodie's abscess in the proximal femur which was initially misdiagnosed as toxic synovitis with an incidental unicameral bone cyst (UBC).
Brodie's abscess can be a diagnosis that is easily missed and should be included in the differential diagnosis when a child presents with a limp, inability to bear weight, or when a cortical lucency is seen on X-ray. There are no other cases in the literature of Brodie's abscess presenting like toxic synovitis. This case is relevant to pediatricians and orthopedists, particularly pediatric orthopedists.
布罗迪脓肿是亚急性骨髓炎的一种类型,由于其特征性体征和症状可能较为隐匿且不具特异性,故而难以诊断。高达90%的布罗迪脓肿病例最初会被误诊,平均延迟3个月才能做出正确诊断,其中50%被误诊为肿瘤。其他病症也可能有颇为相似的表现。
一名7岁男性因髋部疼痛及无法负重前来就诊。X线检查显示股骨近端有布罗迪脓肿,最初被误诊为中毒性滑膜炎并伴有偶然发现的单房骨囊肿(UBC)。
布罗迪脓肿可能是一种容易被漏诊的病症,当儿童出现跛行、无法负重或X线显示皮质透亮区时,应将其纳入鉴别诊断。文献中尚无布罗迪脓肿表现类似中毒性滑膜炎的其他病例。该病例对儿科医生和骨科医生,尤其是小儿骨科医生具有参考价值。