Suppr超能文献

脂肪脊髓脊膜膨出和尺骨纵向发育不全综合征中的软骨作为VACTERL联合征,与SHH/GLI3及Wnt信号通路相关:病例报告

Cartilage within lipomyelomeningocele and ulnar longitudinal deficiency syndrome as VACTERL association, alliance in SHH/GLI3, and Wnt pathway: illustrative case.

作者信息

Shimekit Mikael Aseged, Yesuf Ermias Fikru, Teferi Simon Mulugeta, Lemma Mahlet Getachew

机构信息

1Department of Surgery, Division of Neurosurgery, Asrat Woldeyes Health Science Campus, Debre Berhan University, Debre Berhan, Ethiopia.

2Department of Pathology, Asrat Woldeyes Health Science Campus, Debre Berhan University, Debre Berhan, Ethiopia; and.

出版信息

J Neurosurg Case Lessons. 2024 Apr 29;7(18). doi: 10.3171/CASE24177.

Abstract

BACKGROUND

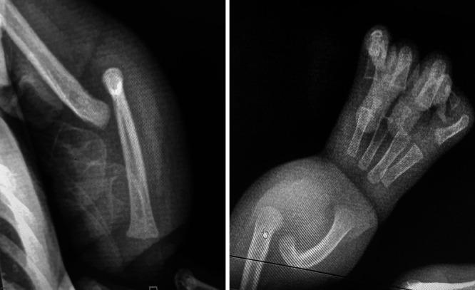
Lipomyelomeningocele associated with an ulnar club hand in the spectrum of VACTERL association ([costo-]vertebral abnormalities; anal atresia; cardiac defects; tracheal-esophageal abnomalities, including atresia, stenosis, and fistula; renal and radial abnormalities; limb abnormalities; single umbilical artery) is a very rare and infrequently reported phenomenon. Within the fat mass of the lipoma, it is not common to find a well-defined cartilaginous mass with no attachments to the surrounding tissue.

OBSERVATIONS

The authors present the case of a 3-month-old male with low-back swelling that was off-center to the left, accompanied by a left short forearm displaying outward bowing. Echocardiography showed an atrial septal defect. This rare VACTERL association comprises lipomyelomeningocele, atrial septal defect, and ulnar longitudinal deficiency syndrome. During surgical intervention for the lipoma, a well-defined cartilaginous mass was discovered within the adipose tissue.

LESSONS

The manifestation of VACTERL association can be partially explained by the Shh/Gli and Wnt pathway defects. It is prudent to screen children with neural tube defects to be aware of any associated syndromes. This case is very rare, and the literature has contained no prior report on the VACTERL association of lipomyelomeningocele, atrial septal defect, and ulnar longitudinal deficiency.

摘要

背景

脂肪脊髓脊膜膨出合并尺侧多指(趾)畸形属于VACTERL综合征([肋骨-]脊柱异常;肛门闭锁;心脏缺陷;气管食管异常,包括闭锁、狭窄和瘘管;肾脏和桡骨异常;肢体异常;单脐动脉),是一种非常罕见且报道较少的现象。在脂肪瘤的脂肪组织内,发现一个边界清晰、与周围组织无附着的软骨块并不常见。

观察结果

作者报告了一例3个月大男性病例,其下背部左侧有偏中心肿胀,伴有左侧前臂短小并向外弯曲。超声心动图显示房间隔缺损。这种罕见的VACTERL综合征包括脂肪脊髓脊膜膨出、房间隔缺损和尺骨纵向发育不全综合征。在对脂肪瘤进行手术干预时,在脂肪组织内发现了一个边界清晰的软骨块。

经验教训

VACTERL综合征的表现可部分由Shh/Gli和Wnt信号通路缺陷来解释。对患有神经管缺陷的儿童进行筛查,以了解是否存在任何相关综合征是明智的。该病例非常罕见,文献中此前尚无关于脂肪脊髓脊膜膨出、房间隔缺损和尺骨纵向发育不全的VACTERL综合征的报道。

https://cdn.ncbi.nlm.nih.gov/pmc/blobs/383a/11058404/89f9cf9230a2/CASE24177f1.jpg

文献AI研究员

20分钟写一篇综述,助力文献阅读效率提升50倍。

立即体验

用中文搜PubMed

大模型驱动的PubMed中文搜索引擎

马上搜索

文档翻译

学术文献翻译模型,支持多种主流文档格式。

立即体验