• 文献检索
  • 文档翻译
  • 深度研究
  • 学术资讯
  • Suppr Zotero 插件Zotero 插件
  • 邀请有礼
  • 套餐&价格
  • 历史记录
应用&插件
Suppr Zotero 插件Zotero 插件浏览器插件Mac 客户端Windows 客户端微信小程序
定价
高级版会员购买积分包购买API积分包
服务
文献检索文档翻译深度研究API 文档MCP 服务
关于我们
关于 Suppr公司介绍联系我们用户协议隐私条款
关注我们

Suppr 超能文献

核心技术专利:CN118964589B侵权必究
粤ICP备2023148730 号-1Suppr @ 2026

文献检索

告别复杂PubMed语法,用中文像聊天一样搜索,搜遍4000万医学文献。AI智能推荐,让科研检索更轻松。

立即免费搜索

文件翻译

保留排版,准确专业,支持PDF/Word/PPT等文件格式,支持 12+语言互译。

免费翻译文档

深度研究

AI帮你快速写综述,25分钟生成高质量综述,智能提取关键信息,辅助科研写作。

立即免费体验

多物种、多病原体禽类病毒病暴发事件:调查野鸟-家禽界面病毒传播的可能性。

A multi-species, multi-pathogen avian viral disease outbreak event: Investigating potential for virus transmission at the wild bird - poultry interface.

机构信息

Virology Department, Animal and Plant Health Agency (APHA) Weybridge, Addlestone, UK.

Pathology and Animal Sciences Department, APHA Weybridge, Addlestone, UK.

出版信息

Emerg Microbes Infect. 2024 Dec;13(1):2348521. doi: 10.1080/22221751.2024.2348521. Epub 2024 Jun 10.

DOI:10.1080/22221751.2024.2348521
PMID:38686548
原文链接:https://pmc.ncbi.nlm.nih.gov/articles/PMC11168234/
Abstract

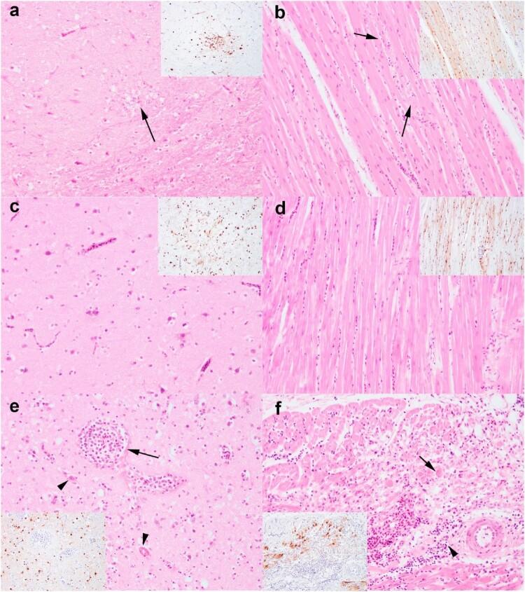
A free-range organic broiler () premises in Staffordshire was infected by high pathogenicity avian influenza virus (HPAIV) H5N8 during the 2020-2021 epizootic in the United Kingdom (UK). Following initial confirmation of the infection in poultry, multiple wild bird species were seen scavenging on chicken carcasses. Detected dead wild birds were subsequently demonstrated to have been infected and succumbed to HPAIV H5N8. Initially, scavenging species, magpie () and raven () were found dead on the premises but over the following days, buzzards () were also found dead within the local area with positive detection of HPAIV in submitted carcasses. The subacute nature of microscopic lesions within a buzzard was consistent with the timeframe of infection. Finally, a considerable number of free-living pheasants () were also found dead in the surrounding area, with carcasses having higher viral antigen loads compared to infected chickens. Limited virus dissemination was observed in the carcasses of the magpie, raven, and buzzard. Further, an avirulent avian paramyxovirus type 1 (APMV-1) was detected within poultry samples as well as in the viscera of a magpie infected with HPAIV. Immunohistochemistry did not reveal colocalization of avian paramyxovirus antigens with lesions, supporting an avirulent APMV-1 infection. Overall, this case highlights scenarios in which bi-directional transmission of avian viral diseases between commercial and wild bird species may occur. It also underlines the importance of bio separation and reduced access when infection pressure from HPAIV is high.

摘要

在 2020-2021 年英国(UK)禽流感疫情期间,斯塔福德郡的一个自由放养有机肉鸡养殖场()感染了高致病性禽流感病毒(HPAIV)H5N8。在最初确认家禽感染后,发现多种野生鸟类在啄食鸡尸。随后检测到死亡的野生鸟类已被感染并死于 HPAIV H5N8。最初,在该养殖场发现死喜鹊()和乌鸦(),但随后几天,在当地发现死秃鹫(),并在提交的尸体中检测到 HPAIV 呈阳性。秃鹫的显微镜下病变呈亚急性,与感染时间一致。最后,在周边地区还发现了大量自由放养的雉鸡()死亡,其尸体的病毒抗原载量高于感染鸡。在喜鹊、乌鸦和秃鹫的尸体中观察到有限的病毒传播。此外,在禽类样本以及感染 HPAIV 的喜鹊内脏中还检测到了无致病性禽腮腺炎病毒 1 型(APMV-1)。免疫组化未显示出禽腮腺炎病毒抗原与病变的共定位,支持无致病性 APMV-1 感染。总体而言,该案例突出了商业和野生鸟类种间禽病双向传播的情况。它还强调了在高致病性禽流感病毒感染压力下,生物隔离和减少接触的重要性。

https://cdn.ncbi.nlm.nih.gov/pmc/blobs/1daa/11168234/da5913bbd52f/TEMI_A_2348521_F0005_OC.jpg
https://cdn.ncbi.nlm.nih.gov/pmc/blobs/1daa/11168234/7257832b1026/TEMI_A_2348521_F0001_OC.jpg
https://cdn.ncbi.nlm.nih.gov/pmc/blobs/1daa/11168234/a3d3fb72b3fb/TEMI_A_2348521_F0002_OC.jpg
https://cdn.ncbi.nlm.nih.gov/pmc/blobs/1daa/11168234/7771d4203928/TEMI_A_2348521_F0003_OC.jpg
https://cdn.ncbi.nlm.nih.gov/pmc/blobs/1daa/11168234/40772406879e/TEMI_A_2348521_F0004_OC.jpg
https://cdn.ncbi.nlm.nih.gov/pmc/blobs/1daa/11168234/da5913bbd52f/TEMI_A_2348521_F0005_OC.jpg
https://cdn.ncbi.nlm.nih.gov/pmc/blobs/1daa/11168234/7257832b1026/TEMI_A_2348521_F0001_OC.jpg
https://cdn.ncbi.nlm.nih.gov/pmc/blobs/1daa/11168234/a3d3fb72b3fb/TEMI_A_2348521_F0002_OC.jpg
https://cdn.ncbi.nlm.nih.gov/pmc/blobs/1daa/11168234/7771d4203928/TEMI_A_2348521_F0003_OC.jpg
https://cdn.ncbi.nlm.nih.gov/pmc/blobs/1daa/11168234/40772406879e/TEMI_A_2348521_F0004_OC.jpg
https://cdn.ncbi.nlm.nih.gov/pmc/blobs/1daa/11168234/da5913bbd52f/TEMI_A_2348521_F0005_OC.jpg

相似文献

1
A multi-species, multi-pathogen avian viral disease outbreak event: Investigating potential for virus transmission at the wild bird - poultry interface.多物种、多病原体禽类病毒病暴发事件:调查野鸟-家禽界面病毒传播的可能性。
Emerg Microbes Infect. 2024 Dec;13(1):2348521. doi: 10.1080/22221751.2024.2348521. Epub 2024 Jun 10.
2
Pathobiology of Clade 2.3.4.4 H5Nx High-Pathogenicity Avian Influenza Virus Infections in Minor Gallinaceous Poultry Supports Early Backyard Flock Introductions in the Western United States in 2014-2015.2.3.4.4分支H5Nx高致病性禽流感病毒感染小型家禽的病理生物学支持2014 - 2015年美国西部早期引入后院鸡群。
J Virol. 2017 Oct 13;91(21). doi: 10.1128/JVI.00960-17. Print 2017 Nov 1.
3
Genetic relationship between poultry and wild bird viruses during the highly pathogenic avian influenza H5N6 epidemic in the Netherlands, 2017-2018.2017-2018 年荷兰高致病性禽流感 H5N6 疫情期间家禽和野鸟病毒之间的遗传关系。
Transbound Emerg Dis. 2019 May;66(3):1370-1378. doi: 10.1111/tbed.13169. Epub 2019 Apr 5.
4
Pathogenicity of H5N8 highly pathogenic avian influenza viruses isolated from a wild bird fecal specimen and a chicken in Japan in 2014.2014年从日本一只野生鸟类粪便标本和一只鸡中分离出的H5N8高致病性禽流感病毒的致病性
Microbiol Immunol. 2016 Apr;60(4):243-52. doi: 10.1111/1348-0421.12369.
5
Genetic Characterization of Highly Pathogenic Avian Influenza A(H5N8) Virus in Pakistani Live Bird Markets Reveals Rapid Diversification of Clade 2.3.4.4b Viruses.巴基斯坦活禽市场高致病性禽流感 A(H5N8)病毒的遗传特征揭示了 2.3.4.4b 病毒系的快速多样化。
Viruses. 2021 Aug 18;13(8):1633. doi: 10.3390/v13081633.
6
The genetics of highly pathogenic avian influenza viruses of subtype H5 in Germany, 2006-2020.德国 2006-2020 年高致病性 H5 亚型禽流感病毒的遗传学研究。
Transbound Emerg Dis. 2021 May;68(3):1136-1150. doi: 10.1111/tbed.13843. Epub 2020 Sep 29.
7
Investigating the Genetic Diversity of H5 Avian Influenza Viruses in the United Kingdom from 2020-2022.调查 2020-2022 年英国 H5 禽流感病毒的遗传多样性。
Microbiol Spectr. 2023 Aug 17;11(4):e0477622. doi: 10.1128/spectrum.04776-22. Epub 2023 Jun 26.
8
Domestic ducks play a major role in the maintenance and spread of H5N8 highly pathogenic avian influenza viruses in South Korea.国内鸭子在韩国 H5N8 高致病性禽流感病毒的维持和传播中发挥了重要作用。
Transbound Emerg Dis. 2020 Mar;67(2):844-851. doi: 10.1111/tbed.13406. Epub 2019 Nov 10.
9
Multiple Introductions of Reassorted Highly Pathogenic Avian Influenza H5Nx Viruses Clade 2.3.4.4b Causing Outbreaks in Wild Birds and Poultry in The Netherlands, 2020-2021.2020-2021 年,荷兰野鸟和家禽中爆发的 2.3.4.4b 分支重组高致病性禽流感 H5Nx 病毒的多次传入。
Microbiol Spectr. 2022 Apr 27;10(2):e0249921. doi: 10.1128/spectrum.02499-21. Epub 2022 Mar 14.
10
Pathogenicity of H5N8 High Pathogenicity Avian Influenza Virus in Chickens and Ducks from South Korea in 2020-2021.2020-2021 年韩国 H5N8 高致病性禽流感病毒对鸡和鸭的致病性。
Viruses. 2021 Sep 23;13(10):1903. doi: 10.3390/v13101903.

引用本文的文献

1
Detection of clade 2.3.4.4b H5N1 high pathogenicity avian influenza virus in a sheep in Great Britain, 2025.2025年在英国一只绵羊体内检测到2.3.4.4b分支H5N1高致病性禽流感病毒
Emerg Microbes Infect. 2025 Dec;14(1):2547730. doi: 10.1080/22221751.2025.2547730. Epub 2025 Sep 15.
2
Detection of a Novel Gull-like Clade of Newcastle Disease Virus and H3N8 Avian Influenza Virus in the Arctic Region of Russia (Taimyr Peninsula).在俄罗斯北极地区(泰梅尔半岛)检测到新型新城疫病毒和H3N8禽流感病毒的鸥样分支。
Viruses. 2025 Jul 7;17(7):955. doi: 10.3390/v17070955.
3
Viral tropism is a cornerstone in the spread and spillover of avian influenza viruses.

本文引用的文献

1
In vivo challenge studies on vaccinated chickens indicate a virus genotype mismatched vaccine still offers significant protection against NDV.体内攻毒试验表明,即使疫苗与流行病毒基因型不匹配,仍能为鸡提供显著的新城疫保护力。
Vaccine. 2024 Jan 25;42(3):653-661. doi: 10.1016/j.vaccine.2023.12.037. Epub 2023 Dec 24.
2
Highly pathogenic avian influenza virus H5N1 infection in skua and gulls in the United Kingdom, 2022.2022 年英国贼鸥和海鸥感染高致病性禽流感病毒 H5N1。
Vet Pathol. 2024 May;61(3):421-431. doi: 10.1177/03009858231217224. Epub 2023 Dec 23.
3
Different Outcomes of Chicken Infection with UK-Origin H5N1-2020 and H5N8-2020 High-Pathogenicity Avian Influenza Viruses (Clade 2.3.4.4b).
病毒嗜性是禽流感病毒传播和溢出的基石。
mBio. 2025 Jul 14:e0169025. doi: 10.1128/mbio.01690-25.
4
Diagnostic Assays for Avian Influenza Virus Surveillance and Monitoring in Poultry.用于家禽禽流感病毒监测的诊断检测方法
Viruses. 2025 Feb 6;17(2):228. doi: 10.3390/v17020228.
5
A Cyclic Peptide Based on Pheasant Cathelicidin Inhibits Influenza A H1N1 Virus Infection.一种基于雉鸡cathelicidin的环肽可抑制甲型H1N1流感病毒感染。
Antibiotics (Basel). 2024 Jun 28;13(7):606. doi: 10.3390/antibiotics13070606.
英国起源的 H5N1-2020 和 H5N8-2020 高致病性禽流感病毒(2.3.4.4b 分支)感染鸡的不同结局。
Viruses. 2023 Sep 12;15(9):1909. doi: 10.3390/v15091909.
4
Understanding the disease and economic impact of avirulent avian paramyxovirus type 1 (APMV-1) infection in Great Britain.了解英国无致病性禽副黏病毒 1 型(APMV-1)感染的疾病和经济影响。
Epidemiol Infect. 2023 Aug 25;151:e163. doi: 10.1017/S0950268823001255.
5
Investigating the Genetic Diversity of H5 Avian Influenza Viruses in the United Kingdom from 2020-2022.调查 2020-2022 年英国 H5 禽流感病毒的遗传多样性。
Microbiol Spectr. 2023 Aug 17;11(4):e0477622. doi: 10.1128/spectrum.04776-22. Epub 2023 Jun 26.
6
Clade 2.3.4.4b H5N1 high pathogenicity avian influenza virus (HPAIV) from the 2021/22 epizootic is highly duck adapted and poorly adapted to chickens.来自2021/22年动物疫情的2.3.4.4b进化枝H5N1高致病性禽流感病毒(HPAIV)对鸭的适应性很强,对鸡的适应性很差。
J Gen Virol. 2023 May;104(5). doi: 10.1099/jgv.0.001852.
7
High pathogenicity avian influenza: targeted active surveillance of wild birds to enable early detection of emerging disease threats.高致病性禽流感:对野生鸟类进行有针对性的主动监测,以实现对新发疾病威胁的早期检测。
Epidemiol Infect. 2022 Dec 11;151:e15. doi: 10.1017/S0950268822001856.
8
Pathogenesis and infection dynamics of high pathogenicity avian influenza virus (HPAIV) H5N6 (clade 2.3.4.4b) in pheasants and onward transmission to chickens.高致病性禽流感病毒(HPAIV)H5N6(2.3.4.4b分支)在雉鸡中的发病机制和感染动态以及向鸡的后续传播
Virology. 2022 Dec;577:138-148. doi: 10.1016/j.virol.2022.10.009. Epub 2022 Oct 29.
9
JMM Profile: Avian paramyxovirus type-1 and Newcastle disease: a highly infectious vaccine-preventable viral disease of poultry with low zoonotic potential.JMM 档案:禽副黏病毒 1 型和新城疫:一种具有高度传染性的疫苗可预防的禽类病毒性疾病,其人畜共患潜力较低。
J Med Microbiol. 2022 Aug;71(8). doi: 10.1099/jmm.0.001489.
10
Pathology and virology of natural highly pathogenic avian influenza H5N8 infection in wild Common buzzards (Buteo buteo).野生普通鵟(Buteo buteo)中自然高致病性禽流感 H5N8 感染的病理学和病毒学研究。
Sci Rep. 2022 Jan 18;12(1):920. doi: 10.1038/s41598-022-04896-7.