Suppr超能文献

睑颧部硬皮病样细胞上皮瘤

Sclerodermiform Cell Epithelioma of the Palpebromalar Region.

作者信息

Gerin Manon, Tooulou Monika, Zielonka Elisabeth

机构信息

From the Department of Plastic and Reconstructive Surgery, CHU Charleroi, Lodelinsart, Belgium.

出版信息

Plast Reconstr Surg Glob Open. 2024 May 3;12(5):e5796. doi: 10.1097/GOX.0000000000005796. eCollection 2024 May.

Abstract

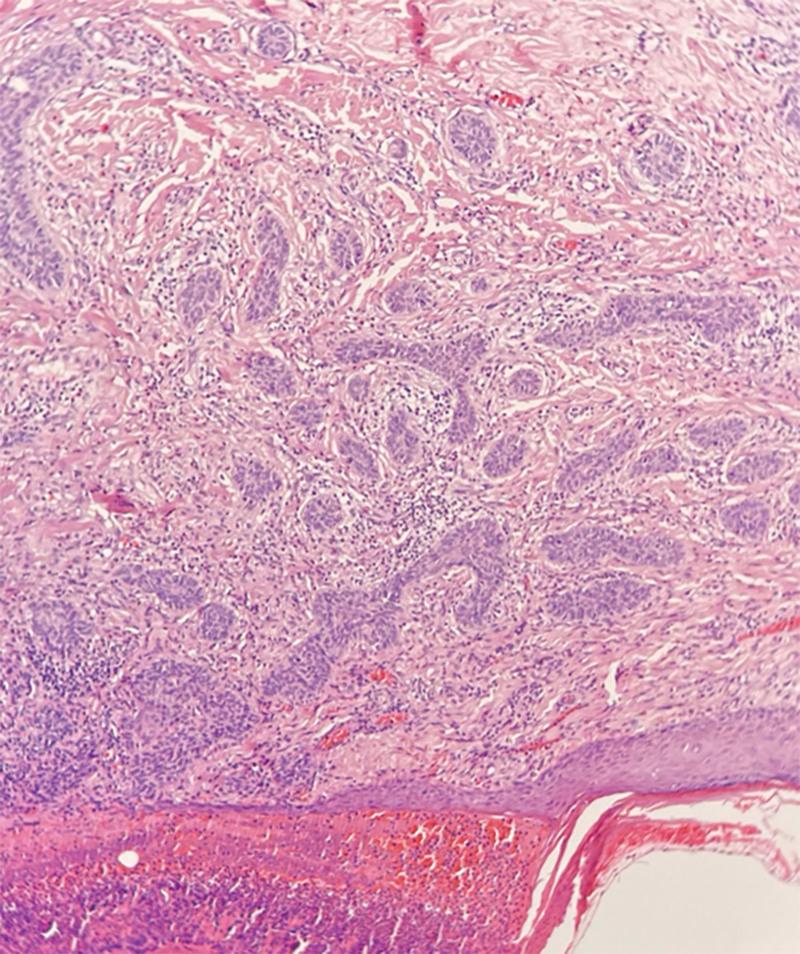
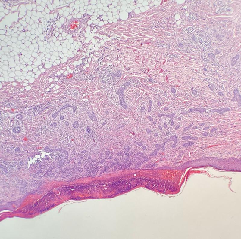
This report describes a recurrent sclerodermiform basal cell epithelioma of the malar region next to the inferior eyelid in a 57-year-old woman. Three interventions were necessary to obtain a clear margin of resection. The area of resection was closed with a local cutaneous flap. We report a rare basal cell carcinoma subtype underestimated in its aggressiveness with often inadequate medical and surgical management. This tumor, generally localized in the face, often requires aggressive surgery, and aesthetic results can be poor. The patients require close long-term follow-up even when margins are clear. General practitioners, dermatologists, and surgeons should be aware of sclerodermiform basal cell carcinoma, which is a malignant, aggressive, and recurrent tumor.

摘要

本报告描述了一名57岁女性下眼睑旁颧部复发性硬皮病样基底细胞上皮瘤。为获得清晰的切除边缘,需要进行三次手术干预。切除区域采用局部皮瓣闭合。我们报告了一种罕见的基底细胞癌亚型,其侵袭性被低估,医疗和手术管理往往不足。这种肿瘤通常位于面部,常需要积极的手术治疗,且美学效果可能较差。即使切缘清晰,患者也需要长期密切随访。全科医生、皮肤科医生和外科医生应了解硬皮病样基底细胞癌,这是一种恶性、侵袭性和复发性肿瘤。

https://cdn.ncbi.nlm.nih.gov/pmc/blobs/f12b/11068131/c1d034a71540/gox-12-e5796-g001.jpg

文献AI研究员

20分钟写一篇综述,助力文献阅读效率提升50倍。

立即体验

用中文搜PubMed

大模型驱动的PubMed中文搜索引擎

马上搜索

文档翻译

学术文献翻译模型,支持多种主流文档格式。

立即体验