• 文献检索
  • 文档翻译
  • 深度研究
  • 学术资讯
  • Suppr Zotero 插件Zotero 插件
  • 邀请有礼
  • 套餐&价格
  • 历史记录
应用&插件
Suppr Zotero 插件Zotero 插件浏览器插件Mac 客户端Windows 客户端微信小程序
定价
高级版会员购买积分包购买API积分包
服务
文献检索文档翻译深度研究API 文档MCP 服务
关于我们
关于 Suppr公司介绍联系我们用户协议隐私条款
关注我们

Suppr 超能文献

核心技术专利:CN118964589B侵权必究
粤ICP备2023148730 号-1Suppr @ 2026

文献检索

告别复杂PubMed语法,用中文像聊天一样搜索,搜遍4000万医学文献。AI智能推荐,让科研检索更轻松。

立即免费搜索

文件翻译

保留排版,准确专业,支持PDF/Word/PPT等文件格式,支持 12+语言互译。

免费翻译文档

深度研究

AI帮你快速写综述,25分钟生成高质量综述,智能提取关键信息,辅助科研写作。

立即免费体验

医源性子宫穿孔导致的阴道出血——病例报告

Vaginal Bleeding Due to Iatrogenic Uterine Perforation - A Case Report.

作者信息

Costumbrado John, Snyder Leah, Ghassemzadeh Sassan, Ng Daniel

机构信息

University of California, Riverside, School of Medicine, Riverside, CA.

Riverside Community Hospital, Department of Emergency Medicine, Riverside, CA.

出版信息

J Educ Teach Emerg Med. 2024 Apr 30;9(2):V6-V9. doi: 10.21980/J83643. eCollection 2024 Apr.

DOI:10.21980/J83643
PMID:38707940
原文链接:https://pmc.ncbi.nlm.nih.gov/articles/PMC11068317/
Abstract

UNLABELLED

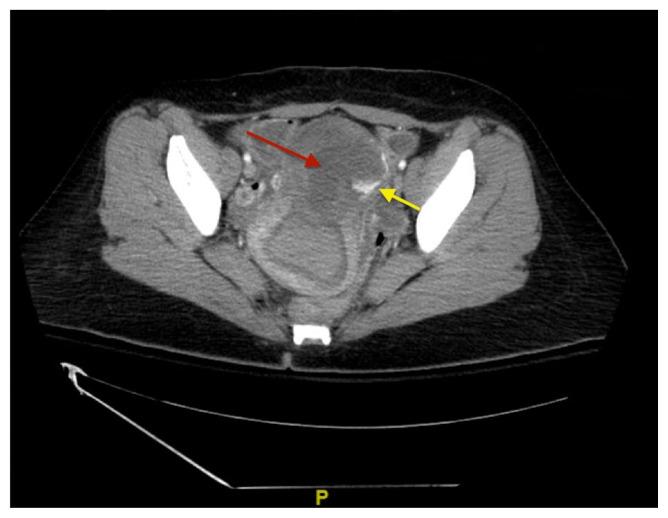
Uterine perforation is a rare but potentially life-threatening complication of gynecologic procedures. Serious complications include hemorrhage, infection, and injury to surrounding organ systems (eg, gastrointestinal, urological, vascular, etc.). Risk factors include advanced maternal age, prior gynecologic surgeries, and other anatomical features that impact the difficulty of accessing the uterine cavity. In this case report, we discuss a patient who presented to the emergency department (ED) with diffuse abdominal pain and vaginal bleeding that occurred after an elective dilation and curettage (D&C) for a termination of pregnancy. The diagnosis was suspected clinically and confirmed by imaging including ultrasound (US) and computed tomography (CT) of the abdomen and pelvis. The patient was managed operatively with a multidisciplinary approach including Gynecology, General Surgery, and Urology. The patient was stabilized and eventually discharged. Uterine perforation should be included in the differential for patients with a history of recent gynecologic instrumentation presenting with abdominal pain and vaginal bleeding. The stabilization of these patients requires aggressive volume resuscitation, controlling the source of bleeding, and emergent surgical consultation.

TOPICS

Gynecology, vaginal bleeding, ultrasound, computed tomography.

摘要

未标注

子宫穿孔是妇科手术中一种罕见但可能危及生命的并发症。严重并发症包括出血、感染以及对周围器官系统(如胃肠道、泌尿系统、血管等)的损伤。危险因素包括产妇年龄较大、既往妇科手术史以及其他影响进入子宫腔难度的解剖特征。在本病例报告中,我们讨论了一名患者,该患者因选择性刮宫术(D&C)终止妊娠后出现弥漫性腹痛和阴道出血而就诊于急诊科(ED)。临床怀疑诊断并通过包括腹部和盆腔超声(US)及计算机断层扫描(CT)在内的影像学检查得以证实。该患者通过包括妇科、普通外科和泌尿外科的多学科方法进行手术治疗。患者病情稳定,最终出院。对于近期有妇科器械操作史且出现腹痛和阴道出血的患者,鉴别诊断应包括子宫穿孔。这些患者的病情稳定需要积极的容量复苏、控制出血来源并紧急进行外科会诊。

主题

妇科、阴道出血、超声、计算机断层扫描。

https://cdn.ncbi.nlm.nih.gov/pmc/blobs/ecc4/11068317/5c302fc24120/jetem-9-2-v6f2.jpg
https://cdn.ncbi.nlm.nih.gov/pmc/blobs/ecc4/11068317/203b4f2ccd5d/jetem-9-2-v6f1.jpg
https://cdn.ncbi.nlm.nih.gov/pmc/blobs/ecc4/11068317/5c302fc24120/jetem-9-2-v6f2.jpg
https://cdn.ncbi.nlm.nih.gov/pmc/blobs/ecc4/11068317/203b4f2ccd5d/jetem-9-2-v6f1.jpg
https://cdn.ncbi.nlm.nih.gov/pmc/blobs/ecc4/11068317/5c302fc24120/jetem-9-2-v6f2.jpg

相似文献

1
Vaginal Bleeding Due to Iatrogenic Uterine Perforation - A Case Report.医源性子宫穿孔导致的阴道出血——病例报告
J Educ Teach Emerg Med. 2024 Apr 30;9(2):V6-V9. doi: 10.21980/J83643. eCollection 2024 Apr.
2
Uterine Artery Pseudoaneurysm: A Life-Threatening Cause of Vaginal Bleeding in the Emergency Department.子宫动脉假性动脉瘤:急诊科危及生命的阴道出血原因
J Emerg Med. 2019 Mar;56(3):327-331. doi: 10.1016/j.jemermed.2018.12.016. Epub 2019 Jan 23.
3
Guidelines for the Management of a Pregnant Trauma Patient.妊娠创伤患者管理指南
J Obstet Gynaecol Can. 2015 Jun;37(6):553-74. doi: 10.1016/s1701-2163(15)30232-2.
4
Uterine Arteriovenous Malformation (AVM) - a Potentially Life-Threatening Cause of Post-Partum Vaginal Bleeding.子宫动静脉畸形(AVM)——产后阴道出血的潜在致命原因。
Am J Case Rep. 2022 Dec 14;23:e938559. doi: 10.12659/AJCR.938559.
5
[Ultrasonography in acute pelvic pain].[急性盆腔疼痛的超声检查]
Acta Med Croatica. 2002;56(4-5):171-80.
6
Iatrogenic uterine perforation with abdominal extrusion of fetal parts: a rare radiological diagnosis.医源性子宫穿孔伴胎儿部分组织挤出腹腔:一种罕见的影像学诊断。
J Radiol Case Rep. 2013 Jan;7(1):41-7. doi: 10.3941/jrcr.v7i1.1332. Epub 2013 Jan 1.
7
Omental incarceration secondary to uterine perforation after dilatation curettage: Conservative approach in sub-saharan Africa.刮宫术后子宫穿孔继发网膜嵌顿:撒哈拉以南非洲地区的保守治疗方法
Clin Case Rep. 2024 Oct 17;12(10):e9480. doi: 10.1002/ccr3.9480. eCollection 2024 Oct.
8
Diagnosis and management of complications following pelvic organ prolapse surgery using a synthetic mesh: French national guidelines for clinical practice.盆腔器官脱垂手术后使用合成网片治疗并发症的诊断和管理:法国临床实践国家指南。
Eur J Obstet Gynecol Reprod Biol. 2024 Mar;294:170-179. doi: 10.1016/j.ejogrb.2024.01.015. Epub 2024 Jan 17.
9
A severed IP ligament as a cause for trans-vaginal uterine bleeding post termination of pregnancy: a case report.一例因妊娠终止后经阴道子宫出血的病例报告:IP韧带断裂为病因
Pan Afr Med J. 2017 Jun 7;27:95. doi: 10.11604/pamj.2017.27.95.12435. eCollection 2017.
10
Uterine perforation with omentum incarceration after dilatation and evacuation/curettage: magnetic resonance imaging findings.子宫穿孔伴网膜嵌顿行扩宫刮宫术后:磁共振成像表现。
Arch Gynecol Obstet. 2012 Mar;285(3):887-90. doi: 10.1007/s00404-011-2127-z. Epub 2011 Nov 3.

引用本文的文献

1
Incidental Diagnosis of Uterine Perforation During Lower Segment Caesarean Section: A Rare Obstetric Complication.下段剖宫产术中子宫穿孔的意外诊断:一种罕见的产科并发症。
Cureus. 2025 May 16;17(5):e84223. doi: 10.7759/cureus.84223. eCollection 2025 May.

本文引用的文献

1
Uterine Perforation as a Complication of the Intrauterine Procedures Causing Omentum Incarceration: A Review.子宫穿孔作为宫内操作导致大网膜嵌顿的一种并发症:综述
Diagnostics (Basel). 2023 Jan 16;13(2):331. doi: 10.3390/diagnostics13020331.
2
Imaging evaluation of uterine perforation and rupture.子宫穿孔和破裂的影像学评估。
Abdom Radiol (NY). 2021 Oct;46(10):4946-4966. doi: 10.1007/s00261-021-03171-z. Epub 2021 Jun 15.
3
Sonographic detection of pneumoperitoneum.超声检测气腹
BJR Case Rep. 2017 May 4;3(4):20160146. doi: 10.1259/bjrcr.20160146. eCollection 2017.
4
Uterine perforation as a complication of surgical abortion causing small bowel obstruction: a review.子宫穿孔作为外科流产术的并发症导致小肠梗阻:一篇综述。
Arch Gynecol Obstet. 2013 Aug;288(2):311-23. doi: 10.1007/s00404-013-2749-4. Epub 2013 Feb 12.
5
Management of postabortion hemorrhage: release date November 2012 SFP Guideline #20131.流产后出血的管理:发布日期 2012 年 11 月 SFP 指南 #20131。
Contraception. 2013 Mar;87(3):331-42. doi: 10.1016/j.contraception.2012.10.024. Epub 2012 Dec 4.
6
The intraoperative complication rate of nonobstetric dilation and curettage.非产科刮宫术的术中并发症发生率。
Obstet Gynecol. 2009 Jun;113(6):1268-1271. doi: 10.1097/AOG.0b013e3181a66f91.
7
Cervical dilation before first-trimester surgical abortion (<14 weeks' gestation). SFP Guideline 20071.孕早期手术流产(妊娠<14周)前的宫颈扩张。《性与生殖健康临床实践指南2007》1 。
Contraception. 2007 Aug;76(2):139-56. doi: 10.1016/j.contraception.2007.05.001. Epub 2007 Jul 10.
8
Rupture of the primigravid uterus: a review of the literature.初产妇子宫破裂:文献综述
Obstet Gynecol Surv. 2007 May;62(5):327-34; quiz 353-4. doi: 10.1097/01.ogx.0000261643.11301.56.
9
Uterine perforation and small bowel incarceration: sonographic and surgical findings.子宫穿孔与小肠嵌顿:超声及手术 findings。 (这里“findings”直译为“发现”,结合语境可能是指发现的情况、表现等,可根据实际情况灵活调整表述使其更通顺自然,比如“子宫穿孔与小肠嵌顿:超声及手术所见” )
Emerg Radiol. 2006 Oct;13(1):43-5. doi: 10.1007/s10140-006-0499-3. Epub 2006 Aug 16.
10
Maternal and perinatal complications with uterine rupture in 142,075 patients who attempted vaginal birth after cesarean delivery: A review of the literature.142,075例剖宫产术后尝试经阴道分娩患者发生子宫破裂的母儿并发症:文献综述
Am J Obstet Gynecol. 2003 Aug;189(2):408-17. doi: 10.1067/s0002-9378(03)00675-6.