Suppr超能文献

线粒体脑肌病伴乳酸血症和卒中样发作综合征中的新生血管性青光眼。

Neovascular Glaucoma in MELAS syndrome.

作者信息

Khanna Saira, Smith Bradley T

机构信息

The Retina Institute, 2201 S. Brentwood Blvd, St. Louis, MO, 63144, USA.

出版信息

Am J Ophthalmol Case Rep. 2024 Apr 26;34:102064. doi: 10.1016/j.ajoc.2024.102064. eCollection 2024 Jun.

Abstract

PURPOSE

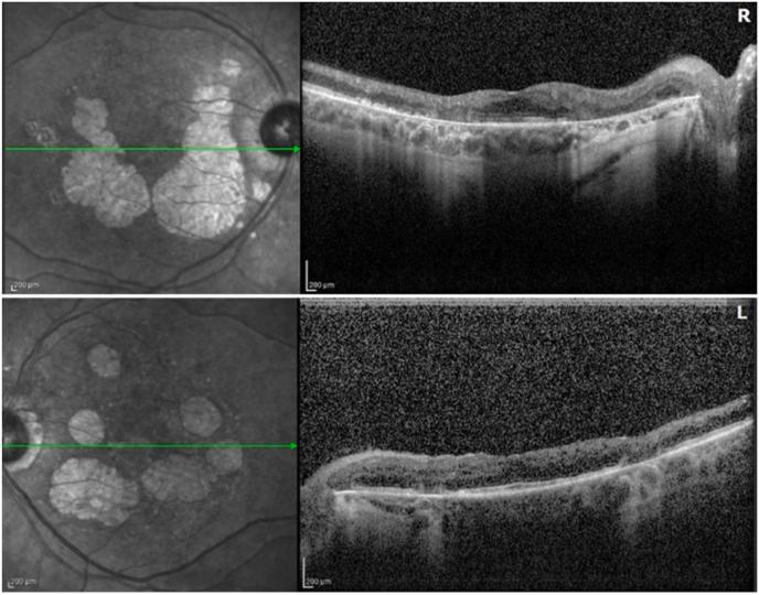
To describe examination and findings in a case of mitochondrial encephalomyopathy, lactic acidosis, and stroke-like episodes (MELAS) with particular focus on the ocular sequelae from diabetes.

OBSERVATIONS

Neovascular glaucoma is not a common manifestation of MELAS.

CONCLUSIONS AND IMPORTANCE

We present a rare case of neovascular glaucoma in a patient with MELAS with a history of diabetes, hearing loss, and macular dystrophy. MELAS should be suspected in patients with this constellation of symptoms.

摘要

目的

描述一例线粒体脑肌病伴乳酸酸中毒及卒中样发作(MELAS)的检查及发现,特别关注糖尿病引起的眼部后遗症。

观察结果

新生血管性青光眼并非MELAS的常见表现。

结论及重要性

我们报告了一例患有MELAS且有糖尿病、听力丧失和黄斑营养不良病史的患者发生新生血管性青光眼的罕见病例。出现这一系列症状的患者应怀疑患有MELAS。

https://cdn.ncbi.nlm.nih.gov/pmc/blobs/7e31/11067001/2c9eb24bc721/gr1.jpg

文献AI研究员

20分钟写一篇综述,助力文献阅读效率提升50倍。

立即体验

用中文搜PubMed

大模型驱动的PubMed中文搜索引擎

马上搜索

文档翻译

学术文献翻译模型,支持多种主流文档格式。

立即体验