Suppr超能文献

血管内再通与颈动脉支架置入术:主动脉夹层期间恢复脑灌注的新方法。

Endovascular Recanalization and Carotid Stenting: The New Approach to Restore Cerebral Perfusion during Aortic Dissection.

作者信息

Agarkov Maxim, Kozlov Kirill, Senkina Ekaterina, Gornov Sergey, Linkova Natalia, Kechaeva Elena, Medvedev Dmitrii, Krasichkov Alexander, Dyatlova Anastasiia, Polyakova Victoria

机构信息

Interventional Radiology Gusev Central District Hospital, 56, Moskovskaya Str., Gusev, 238051 Kaliningrad Oblast, Russia.

Military Medical Academy of Ministry of Defense of the Russian Federation, 6, Akademica Lebedeva Str., 194044 St. Petersburg, Russia.

出版信息

J Clin Med. 2024 May 6;13(9):2716. doi: 10.3390/jcm13092716.

Abstract

UNLABELLED

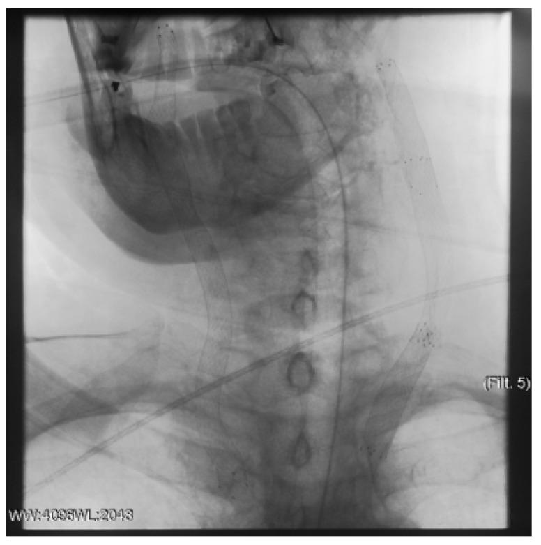
A type A aortic dissection (TAAD) is a dangerous condition requiring emergency surgery. Due to the similarity of the symptoms of cerebral malperfusion in TAAD and the signs of ischemic stroke, a differential diagnosis of these diseases is not always available. Patients with TAAD after cerebral malperfusion can have a neurological deficit. Thrombolysis is performed in this case. It can worsen the patient's condition and increase the risk of mortality and disability. The aim of the study is to evaluate the new approach to restoring cerebral perfusion during aortic dissection. This approach includes endovascular recanalization and carotid stenting.

METHODS

Two clinical cases of TAAD complicated by cerebral malperfusion are described. The first patient is 73 years old and was admitted as planned to perform transcatheter aortic valve implantation (TAVI) for grade III aortic stenosis. The patient underwent transcatheter aortic valve implantation (TAVI) on the second day after admission. The second patient is 60 years old and was hospitalized by an ambulance with strong hypertension and ischemia. The surgical correction of aortic dissection was postponed until the neurological status assessment in both patients.

RESULTS

The surgery to correct the aorta dissection was deemed inappropriate. The carotid arteries have been reanalyzed, and cerebral perfusion has been restored in a short time in both patients.

CONCLUSION

Acute bilateral internal carotid occlusion is a potentially fatal TAAD outcome. Emergency endovascular recanalization and carotid stenting may be considered one of the few ways to restore cerebral perfusion.

摘要

未标注

A型主动脉夹层(TAAD)是一种需要紧急手术的危险病症。由于TAAD中脑灌注不良的症状与缺血性中风的体征相似,这些疾病的鉴别诊断并非总是可行。脑灌注不良后的TAAD患者可能会出现神经功能缺损。在这种情况下会进行溶栓治疗。这可能会使患者病情恶化,并增加死亡和残疾风险。本研究的目的是评估主动脉夹层期间恢复脑灌注的新方法。该方法包括血管内再通和颈动脉支架置入术。

方法

描述了2例并发脑灌注不良的TAAD临床病例。首例患者73岁,按计划入院接受经导管主动脉瓣植入术(TAVI)治疗III级主动脉狭窄。患者在入院后第二天接受了经导管主动脉瓣植入术(TAVI)。第二例患者60岁,因严重高血压和缺血由救护车送往医院。在对两名患者进行神经状态评估之前,均推迟了主动脉夹层的手术矫正。

结果

矫正主动脉夹层的手术被认为不合适。对颈动脉进行了重新分析,两名患者均在短时间内恢复了脑灌注。

结论

急性双侧颈内动脉闭塞是TAAD的一个潜在致命结局。紧急血管内再通和颈动脉支架置入术可能被视为恢复脑灌注的少数方法之一。

https://cdn.ncbi.nlm.nih.gov/pmc/blobs/4c7d/11084725/e2bab45901c8/jcm-13-02716-g001.jpg

文献检索

告别复杂PubMed语法,用中文像聊天一样搜索,搜遍4000万医学文献。AI智能推荐,让科研检索更轻松。

立即免费搜索

文件翻译

保留排版,准确专业,支持PDF/Word/PPT等文件格式,支持 12+语言互译。

免费翻译文档

深度研究

AI帮你快速写综述,25分钟生成高质量综述,智能提取关键信息,辅助科研写作。

立即免费体验