• 文献检索
  • 文档翻译
  • 深度研究
  • 学术资讯
  • Suppr Zotero 插件Zotero 插件
  • 邀请有礼
  • 套餐&价格
  • 历史记录
应用&插件
Suppr Zotero 插件Zotero 插件浏览器插件Mac 客户端Windows 客户端微信小程序
定价
高级版会员购买积分包购买API积分包
服务
文献检索文档翻译深度研究API 文档MCP 服务
关于我们
关于 Suppr公司介绍联系我们用户协议隐私条款
关注我们

Suppr 超能文献

核心技术专利:CN118964589B侵权必究
粤ICP备2023148730 号-1Suppr @ 2026

文献检索

告别复杂PubMed语法,用中文像聊天一样搜索,搜遍4000万医学文献。AI智能推荐,让科研检索更轻松。

立即免费搜索

文件翻译

保留排版,准确专业,支持PDF/Word/PPT等文件格式,支持 12+语言互译。

免费翻译文档

深度研究

AI帮你快速写综述,25分钟生成高质量综述,智能提取关键信息,辅助科研写作。

立即免费体验

双侧颈内动脉闭塞,一种在年轻成年人中罕见的临床病症。

Bilateral Internal Carotid Artery Occlusion, an Unusual Clinical Entity in a Young Adult.

作者信息

Karki Monika, Devarakonda Pradeep Kumar, Dhulipalla Lohitha, Pattipati Meghana, Ayala-Rodriguez Cesar

机构信息

Internal Medicine, The Brooklyn Hospital Center, Brooklyn, USA.

Cardiology, The Brooklyn Hospital Center - Mount Sinai Heart, Brooklyn, USA.

出版信息

Cureus. 2021 Jun 27;13(6):e15971. doi: 10.7759/cureus.15971. eCollection 2021 Jun.

DOI:10.7759/cureus.15971
PMID:34336463
原文链接:https://pmc.ncbi.nlm.nih.gov/articles/PMC8315787/
Abstract

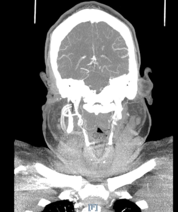
Bilateral internal carotid artery occlusion (BICAO) is a rare disease leading to serious cerebrovascular disease and complications including recurrent ischemic stroke or death. There are very few cases reported on BICAO, especially among young adults. The clinical presentation can range from asymptomatic to fatal ischemic stroke depending upon the presence of adequate collateral blood flow. Here we report a case of BICAO in a 31-year-old female who presented with intermittent left-sided hemiparesis for one day and was subsequently found to have complete occlusion of the bilateral intracranial internal carotid arteries on CT angiography (CTA). Magnetic resonance imaging (MRI) brain showed sub-acute right middle cerebral artery (MCA), acute left middle cerebral artery, and anterior cerebral artery infarcts (ACA). Being outside the window for thrombolysis, she was successfully treated with balloon angioplasty of the left internal carotid artery (ICA) and started on dual antiplatelet therapy. The case illustrates the importance of evaluating for cerebrovascular disease when someone presents with stroke-like symptoms even in the young adult population, as prompt treatment can be lifesaving.

摘要

双侧颈内动脉闭塞(BICAO)是一种罕见疾病,可导致严重的脑血管疾病及包括复发性缺血性卒中或死亡在内的并发症。关于BICAO的病例报道极少,尤其是在年轻成年人中。临床表现因是否存在充足的侧支血流而异,从无症状到致命性缺血性卒中不等。在此,我们报告一例31岁女性的BICAO病例,该患者出现间歇性左侧偏瘫1天,随后在CT血管造影(CTA)检查中发现双侧颅内颈内动脉完全闭塞。脑部磁共振成像(MRI)显示右大脑中动脉(MCA)亚急性梗死、左大脑中动脉急性梗死以及大脑前动脉(ACA)梗死。由于已过溶栓时间窗,她接受了左侧颈内动脉(ICA)球囊血管成形术治疗并成功治愈,随后开始双联抗血小板治疗。该病例表明,即使在年轻成年人群中,当有人出现类似卒中症状时,评估脑血管疾病非常重要,因为及时治疗可挽救生命。

https://cdn.ncbi.nlm.nih.gov/pmc/blobs/b50f/8315787/d41f5e015b9d/cureus-0013-00000015971-i05.jpg
https://cdn.ncbi.nlm.nih.gov/pmc/blobs/b50f/8315787/97add52d819c/cureus-0013-00000015971-i01.jpg
https://cdn.ncbi.nlm.nih.gov/pmc/blobs/b50f/8315787/49d3ca06e020/cureus-0013-00000015971-i02.jpg
https://cdn.ncbi.nlm.nih.gov/pmc/blobs/b50f/8315787/b111831e2f32/cureus-0013-00000015971-i03.jpg
https://cdn.ncbi.nlm.nih.gov/pmc/blobs/b50f/8315787/8cce8d57ba4b/cureus-0013-00000015971-i04.jpg
https://cdn.ncbi.nlm.nih.gov/pmc/blobs/b50f/8315787/d41f5e015b9d/cureus-0013-00000015971-i05.jpg
https://cdn.ncbi.nlm.nih.gov/pmc/blobs/b50f/8315787/97add52d819c/cureus-0013-00000015971-i01.jpg
https://cdn.ncbi.nlm.nih.gov/pmc/blobs/b50f/8315787/49d3ca06e020/cureus-0013-00000015971-i02.jpg
https://cdn.ncbi.nlm.nih.gov/pmc/blobs/b50f/8315787/b111831e2f32/cureus-0013-00000015971-i03.jpg
https://cdn.ncbi.nlm.nih.gov/pmc/blobs/b50f/8315787/8cce8d57ba4b/cureus-0013-00000015971-i04.jpg
https://cdn.ncbi.nlm.nih.gov/pmc/blobs/b50f/8315787/d41f5e015b9d/cureus-0013-00000015971-i05.jpg

相似文献

1
Bilateral Internal Carotid Artery Occlusion, an Unusual Clinical Entity in a Young Adult.双侧颈内动脉闭塞,一种在年轻成年人中罕见的临床病症。
Cureus. 2021 Jun 27;13(6):e15971. doi: 10.7759/cureus.15971. eCollection 2021 Jun.
2
Life-threatening bilateral internal carotid artery and unilateral vertebral artery total occlusion presenting with dizziness: a case report.以头晕为表现的危及生命的双侧颈内动脉和单侧椎动脉完全闭塞:一例病例报告
Ann Med Surg (Lond). 2024 Jul 5;86(9):5523-5528. doi: 10.1097/MS9.0000000000002346. eCollection 2024 Sep.
3
Bilateral cerebral infarction in diabetic ketoacidosis and bilateral internal carotid artery occlusion: A case report and review of literature.糖尿病酮症酸中毒合并双侧颈内动脉闭塞致双侧脑梗死:1例病例报告及文献复习
World J Clin Cases. 2021 May 26;9(15):3787-3795. doi: 10.12998/wjcc.v9.i15.3787.
4
Emergent intracranial surgical embolectomy in conjunction with carotid endarterectomy for acute internal carotid artery terminus embolic occlusion and tandem occlusion of the cervical carotid artery due to plaque rupture.因斑块破裂导致急性颈内动脉末端栓塞性闭塞及颈段颈动脉串联闭塞而行急诊颅内手术取栓术联合颈动脉内膜切除术。
J Neurosurg. 2015 Apr;122(4):939-47. doi: 10.3171/2014.11.JNS132855. Epub 2015 Jan 9.
5
Bilateral Cerebral Hyperperfusion Syndrome Following Carotid Artery Stenting in Stroke - A Case Report.颈动脉支架置入术后脑卒中双侧大脑过度灌注综合征:1 例报告。
J Stroke Cerebrovasc Dis. 2021 Mar;30(3):105546. doi: 10.1016/j.jstrokecerebrovasdis.2020.105546. Epub 2020 Dec 15.
6
Sustained bilateral hemodynamic benefit of contralateral carotid endarterectomy in patients with symptomatic internal carotid artery occlusion.有症状的颈内动脉闭塞患者对侧颈动脉内膜切除术的持续双侧血流动力学益处。
Stroke. 2001 Mar;32(3):728-34. doi: 10.1161/01.str.32.3.728.
7
External carotid artery stenting and superficial temporal artery to middle cerebral artery anastomosis for internal carotid artery occlusion with external carotid artery severe stenosis: case report.颈外动脉支架置入术联合颞浅动脉-大脑中动脉吻合术治疗颈内动脉闭塞伴颈外动脉严重狭窄:病例报告
Neurol Med Chir (Tokyo). 2012;52(12):906-9. doi: 10.2176/nmc.52.906.
8
Rationale for graft selection in patients with complex internal carotid artery aneurysms treated with extracranial to intracranial high-flow bypass and therapeutic internal carotid artery occlusion.对于接受颅外-颅内高流量搭桥术和治疗性颈内动脉闭塞术治疗的复杂颈内动脉动脉瘤患者,选择移植物的理由。
J Neurosurg. 2018 Jun;128(6):1753-1761. doi: 10.3171/2016.11.JNS161986. Epub 2017 Jun 2.
9
Spontaneous intracranial internal carotid artery dissection treated by intra-arterial thrombolysis and superficial temporal artery-middle cerebral artery anastomosis in the acute stage--case report--.急性期经动脉内溶栓和颞浅动脉-大脑中动脉吻合术治疗自发性颅内颈内动脉夹层——病例报告——
Neurol Med Chir (Tokyo). 2005 Mar;45(3):148-51. doi: 10.2176/nmc.45.148.
10
Endovascular "Boost": External Carotid Angioplasty to Augment Flow Before Superficial Temporal-Middle Cerebral Artery Bypass.血管内“增强”:颈外动脉血管成形术以增加浅颞-大脑中动脉搭桥术之前的血流。
World Neurosurg. 2019 Oct;130:474-478. doi: 10.1016/j.wneu.2019.06.065. Epub 2019 Jun 19.

引用本文的文献

1
Clinical Outcomes and Stroke Recurrence in Moyamoya Disease Post-Revascularization: A Retrospective Analysis.烟雾病血运重建术后的临床结局和卒中复发:一项回顾性分析
J Pharm Bioallied Sci. 2024 Dec;16(Suppl 5):S4628-S4633. doi: 10.4103/jpbs.jpbs_1085_24. Epub 2025 Jan 30.
2
The Value of Non-Invasive Optimal Vessel Analysis Quantitative Magnetic Resonance Angiography for Studying Flow and Collateral Patterns in Patients with Bilateral Carotid Steno-Occlusive Disease.无创性最佳血管分析定量磁共振血管造影在研究双侧颈动脉狭窄闭塞性疾病患者血流和侧支循环模式中的价值
Brain Sci. 2025 Feb 19;15(2):211. doi: 10.3390/brainsci15020211.
3

本文引用的文献

1
Multimodality Imaging of Carotid Stenosis.颈动脉狭窄的多模态成像
Int J Angiol. 2015 Sep;24(3):179-84. doi: 10.1055/s-0035-1556056. Epub 2015 Jul 15.
2
Moyamoya Syndrome: A Window of Moyamoya Disease.烟雾综合征:烟雾病的一扇窗口。
J Korean Neurosurg Soc. 2015 Jun;57(6):408-14. doi: 10.3340/jkns.2015.57.6.408. Epub 2015 Jun 30.
3
Management of Patients with Internal Carotid Artery Near-total Occlusion: An Updated Meta-analysis.颈内动脉近完全闭塞患者的管理:一项更新的荟萃分析。
Life-threatening bilateral internal carotid artery and unilateral vertebral artery total occlusion presenting with dizziness: a case report.
以头晕为表现的危及生命的双侧颈内动脉和单侧椎动脉完全闭塞:一例病例报告
Ann Med Surg (Lond). 2024 Jul 5;86(9):5523-5528. doi: 10.1097/MS9.0000000000002346. eCollection 2024 Sep.
4
Endovascular Recanalization and Carotid Stenting: The New Approach to Restore Cerebral Perfusion during Aortic Dissection.血管内再通与颈动脉支架置入术:主动脉夹层期间恢复脑灌注的新方法。
J Clin Med. 2024 May 6;13(9):2716. doi: 10.3390/jcm13092716.
5
An Illustrative Case of Bilateral Internal Carotid Artery Occlusion Concomitant with Aneurysm of the Obstructed ICA Reconstituted via Collaterals: Emphasizing the Role of Rescue Collaterals in Decision-Making.一例双侧颈内动脉闭塞合并经侧支循环重建的闭塞颈内动脉动脉瘤的病例分析:强调挽救性侧支循环在决策中的作用
Asian J Neurosurg. 2023 Mar 31;18(1):174-179. doi: 10.1055/s-0043-1760854. eCollection 2023 Mar.
Ann Vasc Surg. 2015 Nov;29(8):1664-72. doi: 10.1016/j.avsg.2015.05.015. Epub 2015 Jul 10.
4
Aggressive medical treatment with or without stenting in high-risk patients with intracranial artery stenosis (SAMMPRIS): the final results of a randomised trial.高风险颅内动脉狭窄患者(SAMMPRIS)强化药物治疗联合或不联合支架置入的疗效:一项随机试验的最终结果。
Lancet. 2014 Jan 25;383(9914):333-41. doi: 10.1016/S0140-6736(13)62038-3. Epub 2013 Oct 26.
5
Stroke epidemiology: advancing our understanding of disease mechanism and therapy.中风流行病学:深入了解疾病机制和治疗方法。
Neurotherapeutics. 2011 Jul;8(3):319-29. doi: 10.1007/s13311-011-0053-1.
6
Complete occlusion of extracranial internal carotid artery: clinical features, pathophysiology, diagnosis and management.颅外颈内动脉完全闭塞:临床特征、病理生理学、诊断与治疗
Postgrad Med J. 2007 Feb;83(976):95-9. doi: 10.1136/pgmj.2006.048041.
7
Bilateral internal carotid artery occlusion: natural history and surgical alternatives.双侧颈内动脉闭塞:自然病史及手术替代方案
Cardiovasc Surg. 1998 Dec;6(6):579-83. doi: 10.1016/s0967-2109(98)00072-6.
8
Surgical management of the patient with bilateral internal carotid artery occlusion.双侧颈内动脉闭塞患者的外科治疗
J Vasc Surg. 1987 May;5(5):715-8. doi: 10.1067/mva.1987.avs0050715.