Suppr超能文献

硬脊膜内髓外脊髓肿瘤的功能预后

Functional outcomes in intradural extramedullary spinal tumors.

作者信息

Randhawa Anmol Singh, Srivastava Anurag, Agrawal Shiteez, Verma Jitendra Singh, Sharma Bhawani Shankar, Sherpa Tshering Dorjee

机构信息

Department of Neurosurgery, Mahatma Gandhi University of Medical Sciences and Technology, Jaipur, Rajasthan, India.

出版信息

Surg Neurol Int. 2024 Apr 5;15:114. doi: 10.25259/SNI_689_2023. eCollection 2024.

Abstract

BACKGROUND

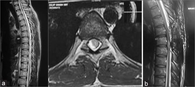
Intradural extramedullary (IDEM) spinal cord tumors account for approximately two-thirds of benign intraspinal neoplasms. These are amenable to gross total excision but can have variable functional outcomes, which plays a key role in assessing their impact on a patient's quality of life. Understanding the functional outcomes associated with these tumors is crucial for healthcare professionals to devise appropriate treatment plans and provide comprehensive care.

METHODS

In this study, we retrospectively reviewed the outcomes of 130 patients with IDEM tumors who underwent surgery in the past six years between January 2017 and December 2022 at a single institution. Patient demographics, symptoms, and tumor characteristics (anatomical and pathological) in all operated spinal IDEM tumors were analyzed. The neurological findings obtained during the preoperative stage and the postoperative follow-up were evaluated according to the Frankel grading. The back pain was assessed using the Denis pain scale (DPS).

RESULTS

The age range, gender distribution, presentation, histopathology, and tumor characteristics were analyzed. The histopathological outcomes of the study were as follows: 56 cases of schwannoma, 37 cases of meningiomas, 16 patients of neurofibroma, six cases of epidermoid cyst, five cases each of ependymoma and dermoid cyst, three cases of arachnoid cyst, two cases of metastasis, and one case of paraganglioma. Pain was the most common symptom (38.5%), followed by weakness in limbs (31.5%), paresthesia/numbness (22.3%), and sphincter disturbance (7.7%). Complete total resection was seen in 93% of cases, with 7% undergoing subtotal excision. The complications encountered were - four cases of surgical site infection and one case each of cerebrospinal fluid leak, pseudomeningocele, and epidural hematoma. In our series, 49.3% of patients had significantly good improvement in functional outcomes as per improvement in Frankel score, and 43% of patients had good functional improvement. Significant functional improvement was noted at immediate postoperative follow-up, 2-week follow-up, and six-month follow-up periods. Reoccurrence was seen in 7 cases (5.4%). The DPS score mean values showed a significant decrease over the follow-up duration as compared to preoperative mean values. Significantly poor outcome was seen in IDEM tumours present anteriorly.

CONCLUSION

The IDEM tumors are usually benign and are readily detected by contrast-enhanced magnetic resonance imaging scans. These have variable functional outcomes in different centers. Assessing this functional outcome is an essential aspect of managing IDEM spinal tumors. It was observed through our study that the ventral location of the tumor, thoracic tumors, and poor preoperative neurological status of the patient correspond with poorer postoperative functional outcomes. Furthermore, a significant decrease in the pain symptoms with improvement of Frankel score was seen postoperatively, thus this being suggestive of a significant improvement of functional outcome after surgery. This study helps to conclude that the morbidity associated with the resection of IDEM tumors is not as significant as originally thought to be.

摘要

背景

硬脊膜内髓外(IDEM)脊髓肿瘤约占脊柱良性肿瘤的三分之二。这些肿瘤适合进行全切除,但功能预后可能各不相同,这在评估其对患者生活质量的影响方面起着关键作用。了解与这些肿瘤相关的功能预后对于医疗保健专业人员制定适当的治疗计划和提供全面护理至关重要。

方法

在本研究中,我们回顾性分析了2017年1月至2022年12月期间在单一机构接受手术的130例IDEM肿瘤患者的预后情况。分析了所有接受手术的脊柱IDEM肿瘤患者的人口统计学、症状和肿瘤特征(解剖学和病理学)。根据Frankel分级评估术前和术后随访期间获得的神经学检查结果。使用Denis疼痛量表(DPS)评估背痛情况。

结果

分析了年龄范围、性别分布、临床表现、组织病理学和肿瘤特征。本研究的组织病理学结果如下:56例神经鞘瘤,37例脑膜瘤,16例神经纤维瘤,6例表皮样囊肿,室管膜瘤和皮样囊肿各5例,3例蛛网膜囊肿,2例转移瘤,1例副神经节瘤。疼痛是最常见的症状(38.5%),其次是肢体无力(31.5%)、感觉异常/麻木(22.3%)和括约肌功能障碍(7.7%)。93%的病例实现了完全切除,7%的病例接受了次全切除。遇到的并发症有——4例手术部位感染,脑脊液漏、假性脑膜膨出和硬膜外血肿各1例。在我们的系列研究中,根据Frankel评分的改善情况,49.3%的患者功能预后有显著改善,43%的患者功能有良好改善。在术后即刻随访、2周随访和6个月随访期间均观察到功能有显著改善。7例(5.4%)出现复发。与术前平均值相比,随访期间DPS评分平均值显著下降。位于前方的IDEM肿瘤预后明显较差。

结论

IDEM肿瘤通常为良性,通过增强磁共振成像扫描很容易检测到。这些肿瘤在不同中心的功能预后各不相同。评估这种功能预后是管理IDEM脊柱肿瘤的一个重要方面。通过我们的研究观察到,肿瘤位于腹侧、胸椎肿瘤以及患者术前神经功能状态较差与术后功能预后较差相关。此外,术后随着Frankel评分的改善疼痛症状显著减轻,因此这表明手术后功能预后有显著改善。本研究有助于得出结论,IDEM肿瘤切除相关的发病率并不像最初认为的那么高。

https://cdn.ncbi.nlm.nih.gov/pmc/blobs/ec9e/11090563/53ff3cc8844e/SNI-15-114-g001.jpg

文献检索

告别复杂PubMed语法,用中文像聊天一样搜索,搜遍4000万医学文献。AI智能推荐,让科研检索更轻松。

立即免费搜索

文件翻译

保留排版,准确专业,支持PDF/Word/PPT等文件格式,支持 12+语言互译。

免费翻译文档

深度研究

AI帮你快速写综述,25分钟生成高质量综述,智能提取关键信息,辅助科研写作。

立即免费体验