Suppr超能文献

联合白蛋白原位杂交和C反应蛋白免疫组化分析用于肝内胆管癌的诊断:迈向分子分类范式

Combined analysis of albumin in situ hybridisation and C reactive protein immunohistochemistry for the diagnosis of intrahepatic cholangiocarcinoma: towards a molecular classification paradigm.

作者信息

Albrecht Thomas, Rossberg Annik, Rose Fabian, Breuhahn Kai, Baumann Eva-Marie, Tóth Marcell, Brinkmann Fritz, Charbel Alphonse, Vogel Monika Nadja, Köhler Bruno, Mehrabi Arianeb, Büchler Markus Wolfgang, Singer Stephan, Solass Wiebke, Straub Beate, Schirmacher Peter, Roessler Stephanie, Goeppert Benjamin

机构信息

Institute of Pathology, Heidelberg University Hospital, Heidelberg University, Heidelberg, Germany

Liver Cancer Center Heidelberg (LCCH), Heidelberg, Germany.

出版信息

J Clin Pathol. 2025 Apr 17;78(5):307-316. doi: 10.1136/jcp-2024-209429.

Abstract

AIMS

Intrahepatic cholangiocarcinoma (iCCA) is a diagnosis of exclusion that can pose a challenge to the pathologist despite thorough clinical workup. Although several immunohistochemical markers have been proposed for iCCA, none of them reached clinical practice. We here assessed the combined usage of two promising diagnostic approaches, albumin in situ hybridisation (Alb-ISH) and C reactive protein (CRP) immunohistochemistry, for distinguishing iCCA from other adenocarcinoma primaries.

METHODS

We conducted Alb-ISH and CRP immunohistochemistry in a large European iCCA cohort (n=153) and compared the results with a spectrum of other glandular adenocarcinomas of different origin (n=885). In addition, we correlated expression patterns with clinicopathological information and mutation data.

RESULTS

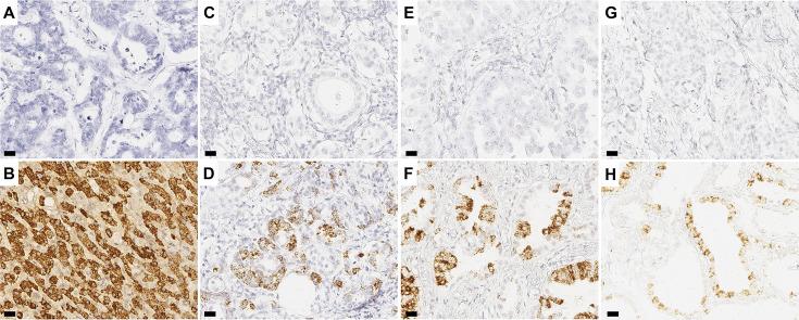
Alb-ISH was highly specific for iCCA (specificity 98.8%) with almost complete negativity in perihilar CCA and only rare positives among other adenocarcinomas (sensitivity 69.5%). CRP identified the vast majority of iCCA cases (sensitivity 84.1%) at a lower specificity of 86.4%. Strikingly, the combination of CRP and Alb-ISH boosted the diagnostic sensitivity to 88.0% while retaining a considerable specificity of 86.1%. Alb-ISH significantly correlated with CRP expression, specific tumour morphologies and small or large duct iCCA subtypes. Neither Alb-ISH nor CRP was associated with iCCA patient survival. 16 of 17 recurrent mutations in either IDH1, IDH2 and FGFR2 affected Alb-ISH positive cases, while the only KRAS mutation corresponded to an Alb-ISH negative case.

CONCLUSIONS

In conclusion, we propose a sequential diagnostic approach for iCCA, integrating CRP immunohistochemistry and Alb-ISH. This may improve the accuracy of CCA classification and pave the way towards a molecular-guided CCA classification.

摘要

目的

肝内胆管癌(iCCA)是一种排除性诊断,尽管进行了全面的临床检查,仍可能给病理学家带来挑战。虽然已经提出了几种用于iCCA的免疫组化标志物,但它们都尚未应用于临床实践。我们在此评估了两种有前景的诊断方法——白蛋白原位杂交(Alb-ISH)和C反应蛋白(CRP)免疫组化联合使用,以区分iCCA与其他原发性腺癌。

方法

我们在一个大型欧洲iCCA队列(n=153)中进行了Alb-ISH和CRP免疫组化,并将结果与一系列不同来源的其他腺腺癌(n=885)进行比较。此外,我们将表达模式与临床病理信息和突变数据相关联。

结果

Alb-ISH对iCCA具有高度特异性(特异性98.8%),肝门周围胆管癌几乎完全阴性,其他腺癌中仅有罕见阳性(敏感性69.5%)。CRP识别出绝大多数iCCA病例(敏感性84.1%),特异性较低,为86.4%。引人注目的是,CRP和Alb-ISH联合使用将诊断敏感性提高到88.0%,同时保持了相当高的特异性86.1%。Alb-ISH与CRP表达、特定肿瘤形态以及小胆管或大胆管iCCA亚型显著相关。Alb-ISH和CRP均与iCCA患者生存率无关。IDH1、IDH2和FGFR2这17个复发性突变中有16个影响Alb-ISH阳性病例,而唯一的KRAS突变对应一个Alb-ISH阴性病例。

结论

总之,我们提出了一种用于iCCA的序贯诊断方法,将CRP免疫组化和Alb-ISH相结合。这可能提高胆管癌分类的准确性,并为分子导向的胆管癌分类铺平道路。

https://cdn.ncbi.nlm.nih.gov/pmc/blobs/54f4/12015024/20a7ceb22eda/jcp-78-5-g001.jpg

文献AI研究员

20分钟写一篇综述,助力文献阅读效率提升50倍。

立即体验

用中文搜PubMed

大模型驱动的PubMed中文搜索引擎

马上搜索

文档翻译

学术文献翻译模型,支持多种主流文档格式。

立即体验