Suppr超能文献

厌氧消化链球菌通过髓源抑制细胞介导抗 PD-1 治疗抵抗并加重小鼠结直肠癌。

Peptostreptococcus anaerobius mediates anti-PD1 therapy resistance and exacerbates colorectal cancer via myeloid-derived suppressor cells in mice.

机构信息

Institute of Digestive Disease and Department of Medicine and Therapeutics, State Key Laboratory of Digestive Disease, Li Ka Shing Institute of Health Sciences, CUHK Shenzhen Research Institute, The Chinese University of Hong Kong, Hong Kong, China.

Department of Biochemical Engineering, School of Chemical Engineering and Technology, Tianjin University, Tianjin, China.

出版信息

Nat Microbiol. 2024 Jun;9(6):1467-1482. doi: 10.1038/s41564-024-01695-w. Epub 2024 May 15.

Abstract

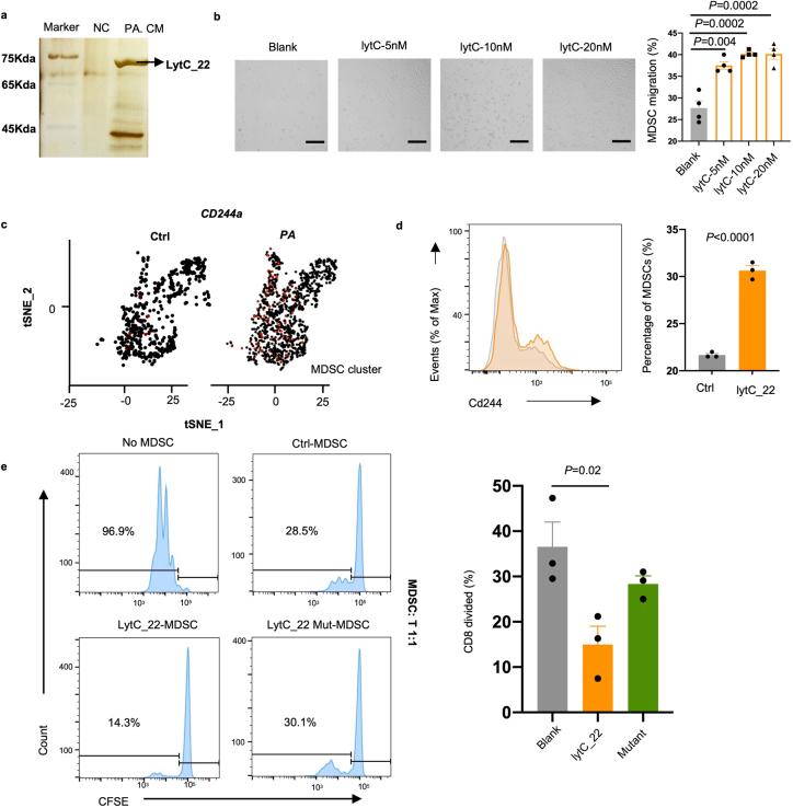
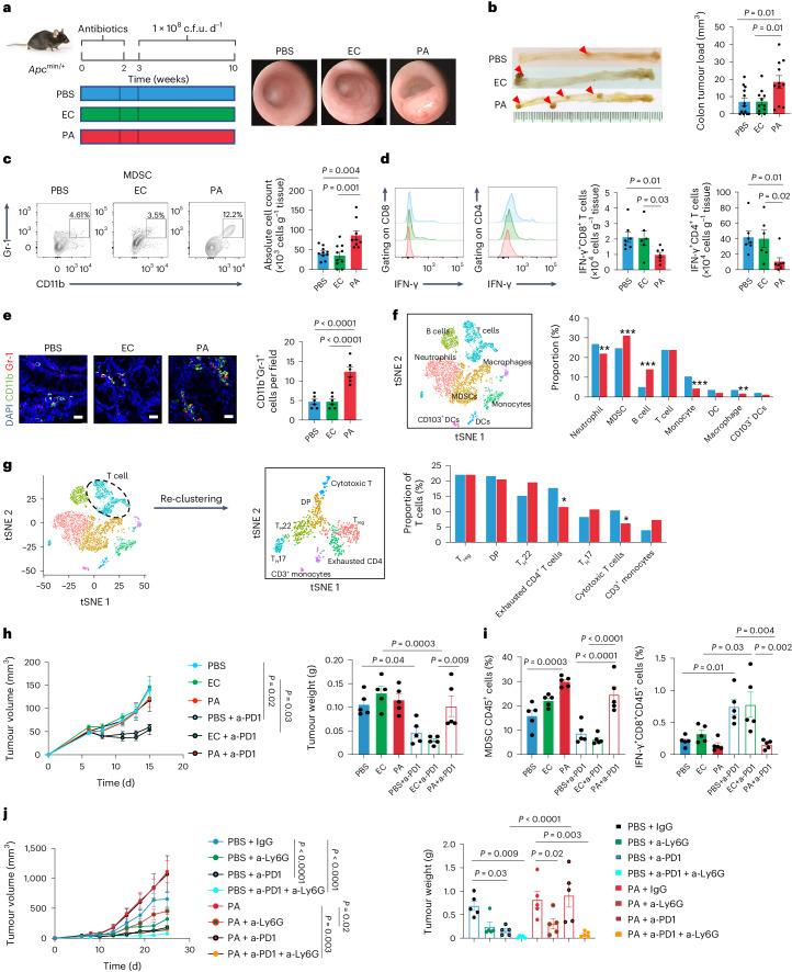
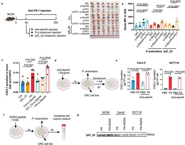
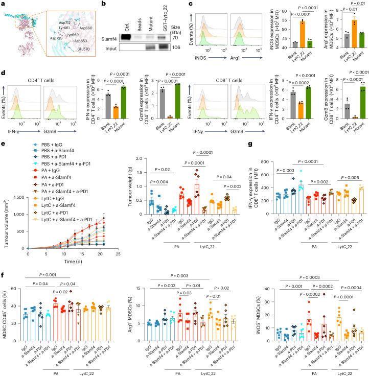
Bacteria such as the oral microbiome member Peptostreptococcus anaerobius can exacerbate colorectal cancer (CRC) development. Little is known regarding whether these immunomodulatory bacteria also affect antitumour immune checkpoint blockade therapy. Here we show that administration of P. anaerobius abolished the efficacy of anti-PD1 therapy in mouse models of CRC. P. anaerobius both induced intratumoral myeloid-derived suppressor cells (MDSCs) and stimulated their immunosuppressive activities to impair effective T cell responses. Mechanistically, P. anaerobius administration activated integrin αβ-NF-κB signalling in CRC cells to induce secretion of CXCL1 and recruit CXCR2 MDSCs into tumours. The bacterium also directly activated immunosuppressive activity of intratumoral MDSCs by secreting lytC_22, a protein that bound to the Slamf4 receptor on MDSCs and promoted ARG1 and iNOS expression. Finally, therapeutic targeting of either integrin αβ or the Slamf4 receptor were revealed as promising strategies to overcome P. anaerobius-mediated resistance to anti-PD1 therapy in CRC.

摘要

口腔微生物组成员厌氧消化链球菌等细菌可加重结直肠癌(CRC)的发展。目前尚不清楚这些免疫调节细菌是否也会影响抗肿瘤免疫检查点阻断治疗。在这里,我们发现厌氧消化链球菌的给药在 CRC 的小鼠模型中消除了抗 PD1 治疗的疗效。厌氧消化链球菌既诱导了肿瘤内髓样来源的抑制细胞(MDSCs),又刺激了它们的免疫抑制活性,从而损害了有效的 T 细胞反应。从机制上讲,厌氧消化链球菌给药激活了 CRC 细胞中的整合素 αβ-NF-κB 信号通路,诱导 CXCL1 的分泌,并招募 CXCR2 MDSCs 进入肿瘤。该细菌还通过分泌 lytC_22 直接激活肿瘤内 MDSCs 的免疫抑制活性,该蛋白与 MDSCs 上的 Slamf4 受体结合,促进 ARG1 和 iNOS 的表达。最后,靶向整合素 αβ 或 Slamf4 受体被证明是克服 CRC 中厌氧消化链球菌介导的抗 PD1 治疗耐药性的有前途的策略。

https://cdn.ncbi.nlm.nih.gov/pmc/blobs/3562/11153135/89e4b16bbb9a/41564_2024_1695_Fig1_HTML.jpg

文献检索

告别复杂PubMed语法,用中文像聊天一样搜索,搜遍4000万医学文献。AI智能推荐,让科研检索更轻松。

立即免费搜索

文件翻译

保留排版,准确专业,支持PDF/Word/PPT等文件格式,支持 12+语言互译。

免费翻译文档

深度研究

AI帮你快速写综述,25分钟生成高质量综述,智能提取关键信息,辅助科研写作。

立即免费体验