Department of Hematology and Medical Oncology, Winship Cancer Institute of Emory University, Atlanta, GA, USA.
Kodikaz Therapeutic Solutions, Inc, New York, NY, USA.
Nucleic Acids Res. 2024 Jul 22;52(13):7539-7555. doi: 10.1093/nar/gkae427.
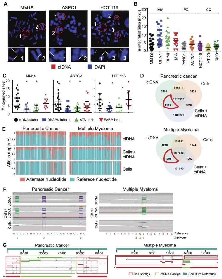
The exchange of genes between cells is known to play an important physiological and pathological role in many organisms. We show that circulating tumor DNA (ctDNA) facilitates cell-specific gene transfer between human cancer cells and explain part of the mechanisms behind this phenomenon. As ctDNA migrates into the nucleus, genetic information is transferred. Cell targeting and ctDNA integration require ERVL, SINE or LINE DNA sequences. Chemically manufactured AluSp and MER11C sequences replicated multiple myeloma (MM) ctDNA cell targeting and integration. Additionally, we found that ctDNA may alter the treatment response of MM and pancreatic cancer models. This study shows that retrotransposon DNA sequences promote cancer gene transfer. However, because cell-free DNA has been detected in physiological and other pathological conditions, our findings have a broader impact than just cancer. Furthermore, the discovery that transposon DNA sequences mediate tissue-specific targeting will open up a new avenue for the delivery of genes and therapies.
细胞间基因交换已知在许多生物中发挥着重要的生理和病理作用。我们表明,循环肿瘤 DNA(ctDNA)促进了人类癌细胞之间的细胞特异性基因转移,并解释了这种现象背后的部分机制。随着 ctDNA 进入细胞核,遗传信息被转移。细胞靶向和 ctDNA 整合需要 ERVL、SINE 或 LINE DNA 序列。化学合成的 AluSp 和 MER11C 序列复制了多发性骨髓瘤(MM)ctDNA 细胞靶向和整合。此外,我们发现 ctDNA 可能改变 MM 和胰腺癌模型的治疗反应。本研究表明,逆转录转座子 DNA 序列促进了癌症基因转移。然而,由于在生理和其他病理条件下已经检测到了无细胞 DNA,因此我们的发现的影响范围不仅仅局限于癌症。此外,发现转座子 DNA 序列介导组织特异性靶向将为基因和治疗药物的传递开辟新途径。