Department of Emergency Medicine, Fundación Valle del Lili, Cali, Colombia.
Faculty of Health Sciences, Universidad Icesi, Cali, Colombia.
Am J Case Rep. 2024 May 24;25:e943506. doi: 10.12659/AJCR.943506.
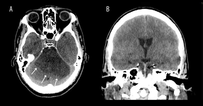
BACKGROUND Brugada syndrome is characterized by specific electrocardiographic changes predisposing individuals to ventricular arrhythmias and sudden cardiac death. Cases of coexisting Brugada syndrome and ischemic stroke are seldom documented, and an underlying pathophysiological link is yet unknown. This article presents a case in which a patient exhibited both Brugada syndrome patterns and an ischemic stroke, prompting a comprehensive literature review to explore the potential association between Brugada syndrome and ischemic stroke. CASE REPORT A 49-year-old man, previously healthy, was admitted to the hospital after being discovered unconscious at his workplace. Physical exam showed low oxygen saturation, fever, and abnormal neurological findings. Head computed tomography revealed a significant posterior circulation ischemic stroke. An electrocardiogram revealed Brugada syndrome type II initially, progressing to type III pattern. Despite efforts, the patient's condition rapidly deteriorated, leading to death within 24 hours. As far as we're aware, Brugada patterns following a posterior circulation ischemic stroke have only been documented in 1 other instance, in which the patient was also diagnosed with atrial fibrillation. CONCLUSIONS Both our literature review and the presented case indicate that Brugada patterns may coexist with and even be associated with ischemic stroke. More extensive research is required to shed light on this potential association. The question of whether Brugada syndrome is a precursor to or a result of ischemic stroke remains unanswered. We propose that patients with ischemic stroke should undergo an evaluation for electrocardiographic signs indicative of Brugada syndrome, particularly if no clear causes, like cardioembolism, are evident.
Brugada 综合征的特征是存在特定的心电图改变,使个体易发生室性心律失常和心源性猝死。同时患有 Brugada 综合征和缺血性脑卒中的病例很少见,其潜在的病理生理联系尚不清楚。本文报告了一例同时存在 Brugada 综合征和缺血性脑卒中的患者,对其进行了全面的文献复习,以探讨 Brugada 综合征与缺血性脑卒中之间的潜在关联。
一名 49 岁男性,平素健康,在工作时被发现意识丧失后被送入医院。体格检查显示低氧饱和度、发热和异常的神经学发现。头颅 CT 显示后循环大的缺血性脑卒中。心电图最初显示 Brugada 综合征 II 型,进展为 III 型模式。尽管进行了治疗,患者的病情迅速恶化,在 24 小时内死亡。据我们所知,Brugada 综合征的心电图改变继发于后循环缺血性脑卒中的情况仅在另 1 例患者中被记录到,该患者还被诊断为心房颤动。
我们的文献复习和本例报告均表明,Brugada 综合征的心电图改变可能与缺血性脑卒中同时存在,甚至存在关联。需要进一步开展广泛的研究来阐明这种潜在的关联。Brugada 综合征是缺血性脑卒中的前兆还是结果,目前仍未得出结论。我们建议对缺血性脑卒中患者进行心电图检查以评估 Brugada 综合征的迹象,特别是如果没有明确的病因(如心源性栓塞)时。