Suppr超能文献

利用 HDBR 图谱揭示心脏发育的奥秘。

Cardiac development demystified by use of the HDBR atlas.

机构信息

Biosciences Institute, Newcastle University, Newcastle upon Tyne, UK.

Human Developmental Biology Resource, Biosciences Institute, Newcastle University, Newcastle upon Tyne, UK.

出版信息

J Anat. 2024 Oct;245(4):517-534. doi: 10.1111/joa.14066. Epub 2024 May 23.

Abstract

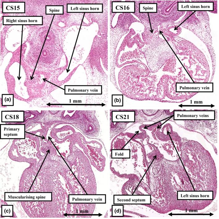
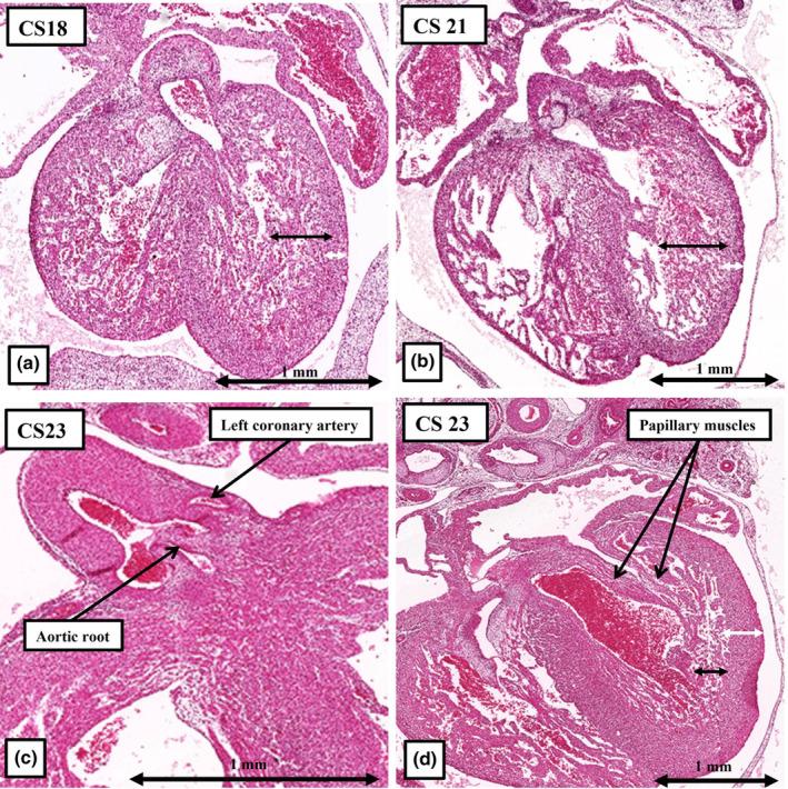
Much has been learned over the last half century regarding the molecular and genetic changes that take place during cardiac development. As yet, however, these advances have not been translated into knowledge regarding the marked changes that take place in the anatomical arrangements of the different cardiac components. As such, therefore, many aspects of cardiac development are still described on the basis of speculation rather than evidence. In this review, we show how controversial aspects of development can readily be arbitrated by the interested spectator by taking advantage of the material now gathered together in the Human Developmental Biology Resource; HDBR. We use the material to demonstrate the changes taking place during the formation of the ventricular loop, the expansion of the atrioventricular canal, the incorporation of the systemic venous sinus, the formation of the pulmonary vein, the process of atrial septation, the remodelling of the pharyngeal arches, the major changes occurring during formation of the outflow tract, the closure of the embryonic interventricular communication, and the formation of the ventricular walls. We suggest that access to the resource makes it possible for the interested observer to arbitrate, for themselves, the ongoing controversies that continue to plague the understanding of cardiac development.

摘要

在过去的半个世纪中,人们已经了解了很多关于心脏发育过程中发生的分子和遗传变化。然而,这些进展尚未转化为关于不同心脏成分解剖排列发生的显著变化的知识。因此,许多心脏发育的方面仍然是基于推测而不是证据来描述的。在这篇综述中,我们展示了如何通过利用现在汇集在人类发育生物学资源(HDBR)中的材料,让感兴趣的观众很容易地解决发育过程中的争议问题。我们使用这些材料来演示心室环形成、房室管扩张、体静脉窦纳入、肺静脉形成、心房分隔过程、咽弓重塑、流出道形成过程中的主要变化、胚胎室间隔沟通的闭合以及心室壁的形成过程中发生的变化。我们建议,访问该资源使感兴趣的观察者能够自行裁决持续困扰心脏发育理解的争议问题。

https://cdn.ncbi.nlm.nih.gov/pmc/blobs/6171/11424819/c2c428e9a1f1/JOA-245-517-g012.jpg

文献AI研究员

20分钟写一篇综述,助力文献阅读效率提升50倍。

立即体验

用中文搜PubMed

大模型驱动的PubMed中文搜索引擎

马上搜索

文档翻译

学术文献翻译模型,支持多种主流文档格式。

立即体验