Suppr超能文献

肺泡微石症合并胃黏膜钙化:一例报告

Pulmonary alveolar microlithiasis combined with gastric mucosal calcification: a case report.

作者信息

Li Wen-Zhuo, Liu Shuo, Luo Ji-Li, Xia Jing

机构信息

Yunnan Cancer Hospital, Kunming, China.

The First Affiliated Hospital of Kunming Medical University, Kunming, Yunnan, China.

出版信息

Front Med (Lausanne). 2024 May 9;11:1357260. doi: 10.3389/fmed.2024.1357260. eCollection 2024.

Abstract

BACKGROUND

Pulmonary alveolar microlithiasis (PAM) is a rare disease whose clinical and imaging manifestations are non-specific, characterized by the deposition of microliths, which primarily consist of calcium and phosphorus, within the alveoli. In the cases of PAM, patients combined with calcification of other organs such as gastric mucosal calcification are less common.

CASE PRESENTATION

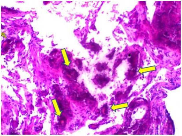
A 59-year-old woman was admitted to our hospital due to cough producing white, foamy sputum, accompanied by dyspnea and fever for 20 days. The CT scan showed diffuse ground-glass opacities and calcification of the gastric mucosa. Lung tissue biopsy revealed the presence of calcification and granulomatous foreign bodies in the interstitium and alveolar cavity. In the later stages, she developed painful skin petechiae. For this patient, the diagnosis of PAM, gastric mucosal calcification, and purpura fulminans was made. However, the genetic test results hinted that the patient and her son had a heterozygous mutation in the gene, but her daughter's genetic test results were normal. Although the patient received anti-infection treatment, steroids, and oxygen therapy, her condition did not improve.

CONCLUSION

We reported a rare case of PAM combined with calcification of other organs and purpura fulminans. Treatment of steroids did not show any benefit. The causative mechanism and effective treatment of this disease remain unclear. More treatments need to be explored.

摘要

背景

肺泡微石症(PAM)是一种罕见疾病,其临床和影像学表现不具有特异性,特征是微石(主要由钙和磷组成)在肺泡内沉积。在肺泡微石症病例中,患者合并其他器官钙化(如胃黏膜钙化)的情况较少见。

病例介绍

一名59岁女性因咳嗽、咳白色泡沫痰、伴有呼吸困难和发热20天入院。CT扫描显示弥漫性磨玻璃影和胃黏膜钙化。肺组织活检显示间质和肺泡腔内存在钙化和肉芽肿性异物。后期,她出现疼痛性皮肤瘀点。该患者被诊断为肺泡微石症、胃黏膜钙化和暴发性紫癜。然而,基因检测结果提示该患者及其儿子在该基因上存在杂合突变,但她女儿的基因检测结果正常。尽管该患者接受了抗感染治疗、使用了类固醇并进行了氧疗,但其病情并未改善。

结论

我们报告了一例罕见的肺泡微石症合并其他器官钙化和暴发性紫癜的病例。类固醇治疗未显示出任何益处。该疾病的致病机制和有效治疗方法仍不清楚。需要探索更多的治疗方法。

https://cdn.ncbi.nlm.nih.gov/pmc/blobs/e0a6/11114444/b179ed4e2185/fmed-11-1357260-g0001.jpg

文献AI研究员

20分钟写一篇综述,助力文献阅读效率提升50倍。

立即体验

用中文搜PubMed

大模型驱动的PubMed中文搜索引擎

马上搜索

文档翻译

学术文献翻译模型,支持多种主流文档格式。

立即体验