Cai Nathan, Constantinescu David S, Trapana Justin, Black Brian
Department of Education, The University of Miami Leonard M. Miller School of Medicine, Miami, Florida, United States.
Department of Orthopaedic Surgery, University of Miami Hospital, Miami, Florida, United States.
J Orthop Case Rep. 2024 May;14(5):126-129. doi: 10.13107/jocr.2024.v14.i05.4458.
Neonatal compartment syndrome is a rare phenomenon with a limited number of cases reported in the literature with varying etiologies. Current literature categorizes etiologies as either intrinsic or extrinsic. To the best of our knowledge, difficult delivery and delivery through vacuum are the only two iatrogenic etiologies that have been reported in the literature. Thus, this may be the first reported case of neonatal compartment syndrome secondary to a failed peripherally inserted central catheter (PICC) insertion.
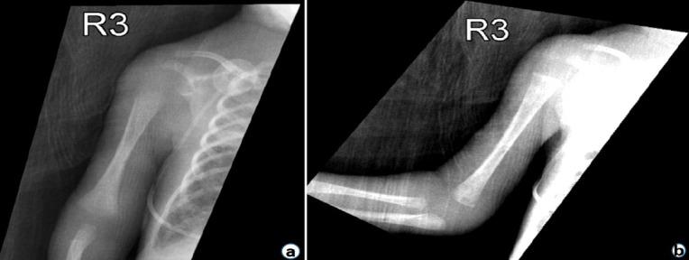
We present a case of a pre-mature neonate with diffuse discoloration, paralysis, and loss of palpable pulses of the right upper extremity after a failed PICC insertion. The clinical features led to a diagnosis of compartment syndrome. Interventions were not carried out due to the pre-maturity and instability of the patient. The patient passed away at 38 days of age due to refractory hypotension and patent ductus arteriosus.
We present a case of neonatal compartment syndrome caused by a previously unreported etiology, highlighting the current dearth of knowledge. Clinicians should be aware of the unique clinical presentation of neonatal compartment syndrome and maintain high suspicion even without an obvious etiology.
新生儿骨筋膜室综合征是一种罕见现象,文献报道的病例数量有限,病因各异。当前文献将病因分为内在性或外在性。据我们所知,难产和真空助产是文献中仅有的两种医源性病因。因此,这可能是首例因外周静脉穿刺中心静脉导管(PICC)置管失败继发新生儿骨筋膜室综合征的病例报告。
我们报告一例早产新生儿,PICC置管失败后出现右上肢弥漫性变色、麻痹且触诊脉搏消失。临床特征提示骨筋膜室综合征诊断。由于患儿早产且病情不稳定,未采取干预措施。患儿于38日龄时因难治性低血压和动脉导管未闭死亡。
我们报告了一例由先前未报道的病因引起的新生儿骨筋膜室综合征病例,凸显了目前知识的匮乏。临床医生应了解新生儿骨筋膜室综合征独特的临床表现,即使没有明显病因也应保持高度怀疑。