Suppr超能文献

通过改善ICR小鼠的脂质代谢、氧化应激和炎症反应,减轻饮食诱导的高脂血症和肝脏氧化损伤。

Ameliorates Diet-Induced Hyperlipidemia and Hepatic Oxidative Damage by Improving Lipid Metabolism, Oxidative Stress, and Inflammation in ICR Mice.

作者信息

Edward Olivet Chiamaka, Jeong Do-Youn, Yang Hee-Jong, Han Anna, Cha Youn-Soo

机构信息

Department of Food Science and Human Nutrition, Jeonbuk National University, Jeonju 54896, Republic of Korea.

Microbial Institute for Fermentation Industry (MIFI), Sunchang 56048, Republic of Korea.

出版信息

Foods. 2024 May 10;13(10):1471. doi: 10.3390/foods13101471.

Abstract

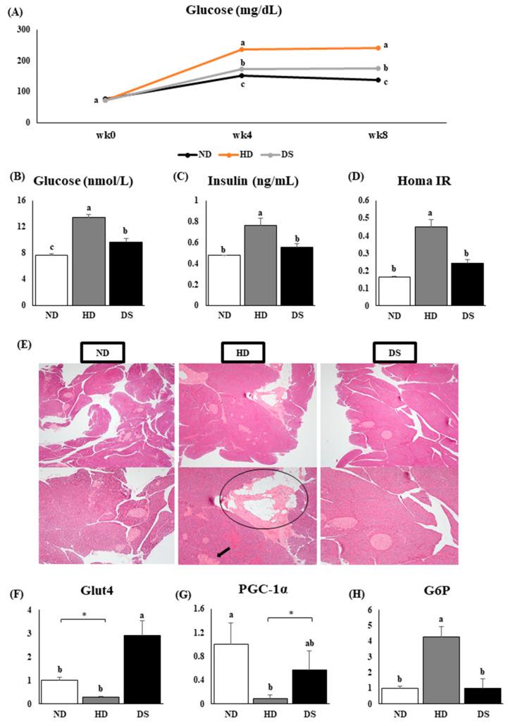
Hyperlipidemia, characterized by elevated cholesterol, lipids, and triglycerides in the bloodstream, is linked to hepatic oxidative damage. , a traditional Korean condiment made from fermented soybeans, is known for its health benefits, yet its anti-hyperlipidemic effects remain understudied. Our study aimed to assess the hypolipidemic and hepatic protective effects of on male ICR mice fed a high-fat cholesterol diet for 8 weeks. Mice were divided into three groups: the normal diet (ND), the high-fat cholesterol diet (HD), and the -supplemented HD diet (DS) group. supplementation significantly regulated total cholesterol, triglycerides, LDL cholesterol, and HDL cholesterol levels compared to the HD group. It also downregulated lipogenic genes, including PPARγ, FAS, and ACC, and positively influenced the cholesterol metabolism-related genes HMGCR and LXR. Moreover, intake increased serum glutathione levels, activated oxidative stress defense genes (NRF2, SOD, GPx1, and CAT), positively modulated inflammation genes (NF-kB and IL6) in hepatic tissue, and reduced malondialdehyde levels. Our findings highlight the effectiveness of traditional in preventing diet-induced hyperlipidemia and protecting against hepatic oxidative damage.

摘要

高脂血症的特征是血液中胆固醇、脂质和甘油三酯升高,与肝脏氧化损伤有关。纳豆是一种由发酵大豆制成的传统韩国调味品,因其对健康有益而闻名,但其抗高脂血症的作用仍未得到充分研究。我们的研究旨在评估纳豆对喂食高脂胆固醇饮食8周的雄性ICR小鼠的降血脂和肝脏保护作用。小鼠分为三组:正常饮食(ND)组、高脂胆固醇饮食(HD)组和补充纳豆的高脂饮食(DS)组。与HD组相比,补充纳豆显著调节了总胆固醇、甘油三酯、低密度脂蛋白胆固醇和高密度脂蛋白胆固醇水平。它还下调了包括PPARγ、FAS和ACC在内的脂肪生成基因,并对胆固醇代谢相关基因HMGCR和LXR产生了积极影响。此外,摄入纳豆增加了血清谷胱甘肽水平,激活了氧化应激防御基因(NRF2、SOD、GPx1和CAT),对肝脏组织中的炎症基因(NF-kB和IL6)产生了积极调节作用,并降低了丙二醛水平。我们的研究结果突出了传统纳豆在预防饮食诱导的高脂血症和防止肝脏氧化损伤方面的有效性。

https://cdn.ncbi.nlm.nih.gov/pmc/blobs/38c8/11120292/a4fcac646b82/foods-13-01471-g001.jpg

文献检索

告别复杂PubMed语法,用中文像聊天一样搜索,搜遍4000万医学文献。AI智能推荐,让科研检索更轻松。

立即免费搜索

文件翻译

保留排版,准确专业,支持PDF/Word/PPT等文件格式,支持 12+语言互译。

免费翻译文档

深度研究

AI帮你快速写综述,25分钟生成高质量综述,智能提取关键信息,辅助科研写作。

立即免费体验