• 文献检索
  • 文档翻译
  • 深度研究
  • 学术资讯
  • Suppr Zotero 插件Zotero 插件
  • 邀请有礼
  • 套餐&价格
  • 历史记录
应用&插件
Suppr Zotero 插件Zotero 插件浏览器插件Mac 客户端Windows 客户端微信小程序
定价
高级版会员购买积分包购买API积分包
服务
文献检索文档翻译深度研究API 文档MCP 服务
关于我们
关于 Suppr公司介绍联系我们用户协议隐私条款
关注我们

Suppr 超能文献

核心技术专利:CN118964589B侵权必究
粤ICP备2023148730 号-1Suppr @ 2026

文献检索

告别复杂PubMed语法,用中文像聊天一样搜索,搜遍4000万医学文献。AI智能推荐,让科研检索更轻松。

立即免费搜索

文件翻译

保留排版,准确专业,支持PDF/Word/PPT等文件格式,支持 12+语言互译。

免费翻译文档

深度研究

AI帮你快速写综述,25分钟生成高质量综述,智能提取关键信息,辅助科研写作。

立即免费体验

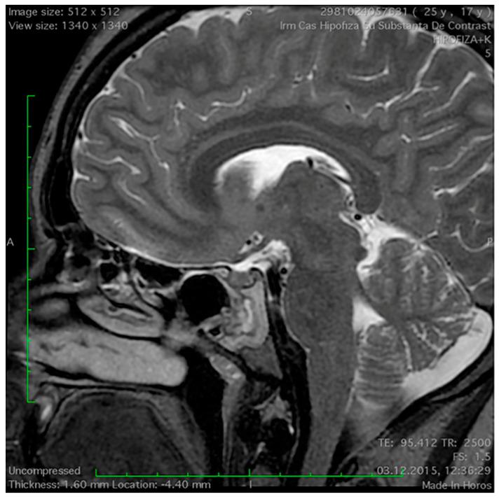
蝶窦在无功能垂体腺瘤患者中的磁共振成像特征。

Magnetic Resonance Imaging Features of the Sphenoid Sinus in Patients with Non-Functioning Pituitary Adenoma.

机构信息

Discipline of Oro-Maxillo-Facial Surgery and Implantology, Faculty of Dental Medicine, Iuliu Hatieganu University of Medicine and Pharmacy, 400029 Cluj-Napoca, Romania.

Department of Maxillo-Facial-Surgery, Cluj County Emergency Clinical Hospital, 400029 Cluj-Napoca, Romania.

出版信息

Medicina (Kaunas). 2024 Apr 25;60(5):708. doi: 10.3390/medicina60050708.

DOI:10.3390/medicina60050708
PMID:38792891
原文链接:https://pmc.ncbi.nlm.nih.gov/articles/PMC11122816/
Abstract

: A magnetic resonance imaging (MRI) scan is part of the diagnostic protocol in pituitary adenoma patients. The goal of the present study is to present and analyse the MRI appearances of the sphenoid sinus (SS) in patients with non-functioning pituitary adenoma (NFPA). : This is a retrospective case-control study conducted between January 2015 and December 2023 in a tertiary referral hospital. Forty NFPA patients were included in the study group, while the control group consisted of 30 age- and gender-matched cases. : The sellar type of SS pneumatization was the most frequently encountered pattern among both groups. The presence of the lateral recess of the SS, mucosal cysts, and sphenoethmoidal cells was similar in both patient groups. The proportion of patients with SS mucosal thickness greater than 3 mm was 42.5% in NFPA group and 3% in the control group, and this difference was statistically significant ( < 0.001). The space between the two optic nerves was significantly larger in the NFPA group as compared to the control group ( < 0.001). : Our study was able to establish a statistically significant association between the presence of NFPA and both the thickening of the SS mucosa and increased space between optic nerves.

摘要

磁共振成像(MRI)扫描是垂体腺瘤患者诊断方案的一部分。本研究的目的是展示和分析无功能垂体腺瘤(NFPA)患者蝶窦(SS)的 MRI 表现。

这是一项回顾性病例对照研究,于 2015 年 1 月至 2023 年 12 月在一家三级转诊医院进行。研究组纳入了 40 例 NFPA 患者,对照组包括 30 例年龄和性别匹配的病例。

两组中最常见的蝶窦气化类型是鞍型。两组患者的蝶窦外侧隐窝、黏膜囊肿和蝶筛窦细胞均相似。NFPA 组中 SS 黏膜厚度大于 3 毫米的患者比例为 42.5%,而对照组为 3%,差异具有统计学意义(<0.001)。与对照组相比,NFPA 组视神经之间的空间明显更大(<0.001)。

我们的研究能够确定 NFPA 的存在与 SS 黏膜增厚和视神经之间空间增大之间存在统计学显著关联。

https://cdn.ncbi.nlm.nih.gov/pmc/blobs/38f6/11122816/ba981a218e1c/medicina-60-00708-g003.jpg
https://cdn.ncbi.nlm.nih.gov/pmc/blobs/38f6/11122816/ca65cbf69952/medicina-60-00708-g001.jpg
https://cdn.ncbi.nlm.nih.gov/pmc/blobs/38f6/11122816/25c06f066fab/medicina-60-00708-g002.jpg
https://cdn.ncbi.nlm.nih.gov/pmc/blobs/38f6/11122816/ba981a218e1c/medicina-60-00708-g003.jpg
https://cdn.ncbi.nlm.nih.gov/pmc/blobs/38f6/11122816/ca65cbf69952/medicina-60-00708-g001.jpg
https://cdn.ncbi.nlm.nih.gov/pmc/blobs/38f6/11122816/25c06f066fab/medicina-60-00708-g002.jpg
https://cdn.ncbi.nlm.nih.gov/pmc/blobs/38f6/11122816/ba981a218e1c/medicina-60-00708-g003.jpg

相似文献

1
Magnetic Resonance Imaging Features of the Sphenoid Sinus in Patients with Non-Functioning Pituitary Adenoma.蝶窦在无功能垂体腺瘤患者中的磁共振成像特征。
Medicina (Kaunas). 2024 Apr 25;60(5):708. doi: 10.3390/medicina60050708.
2
Sphenoid sinus mucosal thickening in patients with non-functioning pituitary adenoma.蝶窦黏膜增厚与无功能垂体腺瘤。
Int J Clin Pract. 2021 Oct;75(10):e14604. doi: 10.1111/ijcp.14604. Epub 2021 Jul 14.
3
Sphenoid sinus mucosal thickening in the acute phase of pituitary apoplexy.垂体卒中急性期的蝶窦黏膜增厚。
Pituitary. 2017 Aug;20(4):441-449. doi: 10.1007/s11102-017-0804-z.
4
Significant improvement of intractable headache after transsphenoidal surgery in patients with pituitary adenomas; preoperative neuroradiological evaluation and intraoperative intrasellar pressure measurement.垂体腺瘤患者经蝶窦手术后顽固性头痛有显著改善;术前神经放射学评估及术中鞍内压力测量
Pituitary. 2016 Apr;19(2):175-82. doi: 10.1007/s11102-015-0696-8.
5
Pituitary apoplexy in the magnetic resonance imaging era: clinical significance of sphenoid sinus mucosal thickening.磁共振成像时代的垂体卒中:蝶窦黏膜增厚的临床意义
J Neurosurg. 2006 Jun;104(6):892-8. doi: 10.3171/jns.2006.104.6.892.
6
Classification and volumetric study of the sphenoid sinus on MDCT images.基于 MDCT 图像的蝶窦分类及容积研究。
Eur Arch Otorhinolaryngol. 2019 Oct;276(10):2887-2894. doi: 10.1007/s00405-019-05549-8. Epub 2019 Jul 13.
7
Imaging Evaluation of the Location and Fenestration of Sellar Floor During Endonasal Transsphenoidal Surgery in Patients with Pituitary Adenomas.垂体腺瘤患者经鼻蝶窦手术中蝶鞍底位置及开窗的影像学评估
World Neurosurg. 2018 Aug;116:e232-e238. doi: 10.1016/j.wneu.2018.04.178. Epub 2018 May 3.
8
Correlation Between Anatomic Variations of Sphenoid Sinuses and Pituitary Adenoma.蝶窦解剖变异与垂体瘤的相关性。
J Craniofac Surg. 2021;32(5):1685-1688. doi: 10.1097/SCS.0000000000007293.
9
Critical analysis of anatomical landmarks within the sphenoid sinus for transsphenoidal surgery.经蝶窦手术中蝶窦内解剖标志的批判性分析。
Eur Arch Otorhinolaryngol. 2016 Nov;273(11):3929-3936. doi: 10.1007/s00405-016-4052-z. Epub 2016 Apr 21.
10
Large pituitary adenoma of the sphenoid sinus and the nasopharynx: report of a case with ultrastructural evaluations.蝶窦和鼻咽部的大型垂体腺瘤:1例超微结构评估报告
Surg Neurol. 1994 Oct;42(4):330-4. doi: 10.1016/0090-3019(94)90404-9.

本文引用的文献

1
Risk Factors for Isolated Sphenoid Sinusitis after Endoscopic Endonasal Transsphenoidal Pituitary Surgery.内镜鼻内经蝶窦垂体手术后孤立性蝶窦炎的危险因素
Diagnostics (Basel). 2024 Apr 2;14(7):758. doi: 10.3390/diagnostics14070758.
2
Clinical anatomy of the paranasal sinuses and its terminology.鼻窦临床解剖及其术语。
Anat Sci Int. 2024 Sep;99(4):454-460. doi: 10.1007/s12565-023-00745-3. Epub 2023 Oct 9.
3
Surgical anatomic findings of sphenoid sinus in 1009 Iranian patients with pituitary adenoma undergoing endoscopic transsphenoidal surgery.
1009 例经鼻蝶窦入路内镜下垂体瘤切除术患者的蝶窦手术解剖学发现。
Eur Arch Otorhinolaryngol. 2023 Jun;280(6):2985-2991. doi: 10.1007/s00405-022-07818-5. Epub 2023 Jan 27.
4
Sphenoid sinus mucosal thickening in patients with non-functioning pituitary adenoma.蝶窦黏膜增厚与无功能垂体腺瘤。
Int J Clin Pract. 2021 Oct;75(10):e14604. doi: 10.1111/ijcp.14604. Epub 2021 Jul 14.
5
Chronic Rhinosinusitis: MALDI-TOF Mass Spectrometry Microbiological Diagnosis and Electron Microscopy Analysis; Experience of the 2nd Otorhinolaryngology Clinic of Cluj-Napoca, Romania.慢性鼻-鼻窦炎:基质辅助激光解吸电离飞行时间质谱微生物学诊断与电子显微镜分析;罗马尼亚克卢日-纳波卡市第二耳鼻喉科诊所的经验
J Clin Med. 2020 Dec 8;9(12):3973. doi: 10.3390/jcm9123973.
6
Season, Age and Sex-Related Differences in Incidental Magnetic Resonance Imaging Findings of Paranasal Sinuses in Adults.成人鼻窦偶然磁共振成像结果的季节、年龄和性别相关差异
Turk Arch Otorhinolaryngol. 2019 Jun;57(2):61-67. doi: 10.5152/tao.2019.4142. Epub 2019 Jun 1.
7
Association between the seasonal changes and mucous retention cyst of maxillary antrum in cone beam computed tomography images in a sample population of Isfahan, Iran.伊朗伊斯法罕一个样本群体中锥束计算机断层扫描图像上颌窦季节性变化与黏液潴留囊肿的关联
Indian J Dent Res. 2018 Jul-Aug;29(4):410-413. doi: 10.4103/ijdr.IJDR_11_17.
8
An Analysis of Anatomic Variations of the Sphenoid Sinus and Its Relationship to the Internal Carotid Artery.蝶窦的解剖变异及其与颈内动脉关系的分析
Int Arch Otorhinolaryngol. 2018 Apr;22(2):161-166. doi: 10.1055/s-0037-1607336. Epub 2017 Oct 25.
9
Epidemiology, clinical presentation and diagnosis of non-functioning pituitary adenomas.无功能性垂体腺瘤的流行病学、临床表现和诊断。
Pituitary. 2018 Apr;21(2):111-118. doi: 10.1007/s11102-018-0869-3.
10
Clinical significance of thickened sphenoid sinus mucosa in Rathke's cleft cyst.蝶窦黏膜增厚在拉克氏裂囊肿中的临床意义
Surg Neurol Int. 2017 Nov 1;8:263. doi: 10.4103/sni.sni_283_17. eCollection 2017.