• 文献检索
  • 文档翻译
  • 深度研究
  • 学术资讯
  • Suppr Zotero 插件Zotero 插件
  • 邀请有礼
  • 套餐&价格
  • 历史记录
应用&插件
Suppr Zotero 插件Zotero 插件浏览器插件Mac 客户端Windows 客户端微信小程序
定价
高级版会员购买积分包购买API积分包
服务
文献检索文档翻译深度研究API 文档MCP 服务
关于我们
关于 Suppr公司介绍联系我们用户协议隐私条款
关注我们

Suppr 超能文献

核心技术专利:CN118964589B侵权必究
粤ICP备2023148730 号-1Suppr @ 2026

文献检索

告别复杂PubMed语法,用中文像聊天一样搜索,搜遍4000万医学文献。AI智能推荐,让科研检索更轻松。

立即免费搜索

文件翻译

保留排版,准确专业,支持PDF/Word/PPT等文件格式,支持 12+语言互译。

免费翻译文档

深度研究

AI帮你快速写综述,25分钟生成高质量综述,智能提取关键信息,辅助科研写作。

立即免费体验

阴茎阴囊水肿作为急性胰腺炎的罕见并发症:一例报告。

Penoscrotal Edema as a Rare Complication of Acute Pancreatitis: A Case Report.

机构信息

Department of Gastroenterology and Hepatology, University Hospital Split, Spinciceva 1, 21000 Split, Croatia.

Department of Health Studies, University of Split, 21000 Split, Croatia.

出版信息

Medicina (Kaunas). 2024 May 16;60(5):820. doi: 10.3390/medicina60050820.

DOI:10.3390/medicina60050820
PMID:38793003
原文链接:https://pmc.ncbi.nlm.nih.gov/articles/PMC11122820/
Abstract

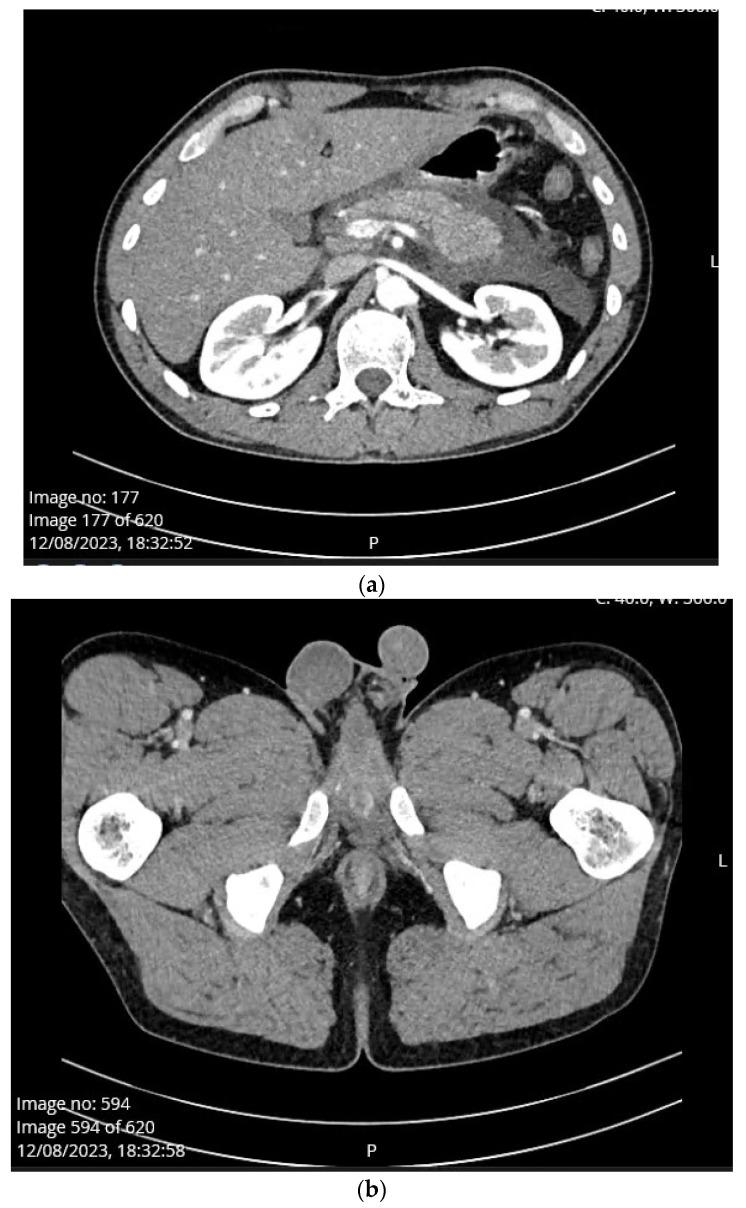
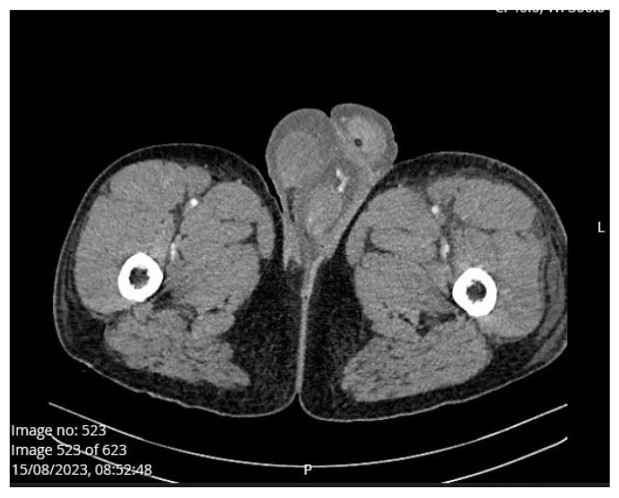
: Scrotal swelling or hydrocele is a rare complication of acute pancreatitis described in the literature. We present a case of penoscrotal swelling caused by the first attack of acute interstitial edematous alcohol-induced pancreatitis in a young male patient. : A 22-year-old man was admitted to the emergency unit due to diarrhea and vomiting since morning which was followed by severe abdominal pain. Urgent abdominal multislice CT scan showed steatosis, pancreatic swelling and acute peripancreatic fluid collection (interstitial edematous pancreatitis). Also, scan showed fluid between small bowel loops and along the anterior renal fascia, while there was minimal amount of fluid in the Douglas space. There was no sign of penoscrotal swelling. On the second day of admission, the patient developed left scrotal swelling and mild pain without erythema. On the fourth day, a control CT scan showed progression to moderately severe pancreatitis (CT severity index 4). Dilated scrotal veins of the pampiniform venous plexus with an increased caliber of the testicular veins were present on both sides, from the scrotum to the level of the inguinal canal. Penoscrotal swelling was significantly reduced on discharge. : Penoscrotal swelling is a rare complication or manifestation of acute inflammation of the pancreas. It is important to identify scrotal swelling caused by pancreatitis because in severe cases it can be related to possible infertility in the future.

摘要

阴囊肿胀或鞘膜积液是文献中描述的急性胰腺炎的罕见并发症。我们报告了一例青年男性首次发作急性间质性水肿性酒精性胰腺炎引起的阴囊肿胀病例。

一名 22 岁男性因腹泻和呕吐于当天上午入院,随后出现严重腹痛。紧急腹部多层 CT 扫描显示脂肪变性、胰腺肿胀和急性胰周液体积聚(间质性水肿性胰腺炎)。此外,扫描显示小肠环之间和前肾筋膜处有液体,而道格拉斯间隙内液体量较少。没有阴囊肿胀的迹象。入院第二天,患者出现左侧阴囊肿胀和轻度疼痛,但无红斑。入院第四天,对照 CT 扫描显示胰腺炎进展为中度重症(CT 严重指数 4)。双侧阴囊内精索蔓状静脉丛扩张,睾丸静脉增粗,从阴囊延伸至腹股沟管水平。出院时阴囊肿胀明显减轻。

阴囊肿胀是胰腺急性炎症的罕见并发症或表现。重要的是要识别由胰腺炎引起的阴囊肿胀,因为在严重情况下,它可能与未来可能的不育有关。

https://cdn.ncbi.nlm.nih.gov/pmc/blobs/cade/11122820/02d6055b5536/medicina-60-00820-g003.jpg
https://cdn.ncbi.nlm.nih.gov/pmc/blobs/cade/11122820/3f342300ff38/medicina-60-00820-g001.jpg
https://cdn.ncbi.nlm.nih.gov/pmc/blobs/cade/11122820/8c9c4a608ce1/medicina-60-00820-g002.jpg
https://cdn.ncbi.nlm.nih.gov/pmc/blobs/cade/11122820/02d6055b5536/medicina-60-00820-g003.jpg
https://cdn.ncbi.nlm.nih.gov/pmc/blobs/cade/11122820/3f342300ff38/medicina-60-00820-g001.jpg
https://cdn.ncbi.nlm.nih.gov/pmc/blobs/cade/11122820/8c9c4a608ce1/medicina-60-00820-g002.jpg
https://cdn.ncbi.nlm.nih.gov/pmc/blobs/cade/11122820/02d6055b5536/medicina-60-00820-g003.jpg

相似文献

1
Penoscrotal Edema as a Rare Complication of Acute Pancreatitis: A Case Report.阴茎阴囊水肿作为急性胰腺炎的罕见并发症:一例报告。
Medicina (Kaunas). 2024 May 16;60(5):820. doi: 10.3390/medicina60050820.
2
Hydrocele in recurrent acute pancreatitis caused by testicular venous obstruction: A case report of a rare complication (CARE-compliant).睾丸静脉阻塞所致复发性急性胰腺炎中的鞘膜积液:一例罕见并发症的病例报告(符合CARE标准)
Medicine (Baltimore). 2020 May;99(18):e19738. doi: 10.1097/MD.0000000000019738.
3
Scrotal Swelling as a Complication of Hydrochlorothiazide Induced Acute Pancreatitis.阴囊肿胀作为氢氯噻嗪诱发急性胰腺炎的一种并发症
Case Rep Gastrointest Med. 2015;2015:265273. doi: 10.1155/2015/265273. Epub 2015 Jun 24.
4
Scrotal Hydrocele in Acute Pancreatitis.阴囊积水症在急性胰腺炎中的表现。
Urology. 2019 Oct;132:e5-e7. doi: 10.1016/j.urology.2019.06.012. Epub 2019 Jun 21.
5
Scrotal swelling caused by acute necrotizing pancreatitis: CT diagnosis.急性坏死性胰腺炎所致阴囊肿胀:CT诊断
Abdom Imaging. 2011 Apr;36(2):218-21. doi: 10.1007/s00261-010-9638-0.
6
Methomyl-induced severe acute pancreatitis: possible etiological association.灭多威诱发的重症急性胰腺炎:可能的病因关联
JOP. 2005 Mar 10;6(2):166-71.
7
Unilateral Scrotal Swelling After Acute Pancreatitis of Pancreas Transplant Graft.胰腺移植术后急性胰腺炎导致的单侧阴囊肿胀
Gastroenterology. 2020 Feb;158(3):e6-e7. doi: 10.1053/j.gastro.2019.09.014. Epub 2019 Sep 24.
8
Intrascrotal Collection in an Acute Pancreatitis: A Case Report and Review of the Literature.急性胰腺炎患者阴囊内积液:一例报告并文献复习
Case Rep Urol. 2016;2016:7534781. doi: 10.1155/2016/7534781. Epub 2016 Nov 1.
9
Adult Acute Scrotal Edema - When Radiologists Can Help to Avoid Unnecessary Surgical Treatment.成人急性阴囊水肿——放射科医生如何助力避免不必要的手术治疗
J Radiol Case Rep. 2017 Aug 31;11(8):24-30. doi: 10.3941/jrcr.v11i8.3165. eCollection 2017 Aug.
10
Scrotal Abscess: A Rare Presentation of Complicated Necrotizing Pancreatitis.阴囊脓肿:复杂性坏死性胰腺炎的罕见表现。
Arch Iran Med. 2017 Feb;20(2):124-127.

本文引用的文献

1
Predictors of Post-ERCP Pancreatitis (P.E.P.) in Choledochal Lithiasis Extraction.胆总管结石取出术中内镜逆行胰胆管造影术后胰腺炎(P.E.P.)的预测因素
J Pers Med. 2023 Sep 5;13(9):1356. doi: 10.3390/jpm13091356.
2
Hypoalbuminemia affects one third of acute pancreatitis patients and is independently associated with severity and mortality.低蛋白血症影响了三分之一的急性胰腺炎患者,且与严重程度和死亡率独立相关。
Sci Rep. 2021 Dec 17;11(1):24158. doi: 10.1038/s41598-021-03449-8.
3
Hydrocele in recurrent acute pancreatitis caused by testicular venous obstruction: A case report of a rare complication (CARE-compliant).
睾丸静脉阻塞所致复发性急性胰腺炎中的鞘膜积液:一例罕见并发症的病例报告(符合CARE标准)
Medicine (Baltimore). 2020 May;99(18):e19738. doi: 10.1097/MD.0000000000019738.
4
Severe acute pancreatitis with inflammation extending to the scrotum.重症急性胰腺炎伴炎症蔓延至阴囊。
Clin Case Rep. 2019 Nov 6;7(12):2592-2593. doi: 10.1002/ccr3.2529. eCollection 2019 Dec.
5
Scrotal abscess as the first symptom of fatal necrotizing pancreatitis.阴囊脓肿作为致死性坏死性胰腺炎的首发症状。
Saudi Med J. 2019 Nov;40(11):1167-1170. doi: 10.15537/smj.2019.11.24488.
6
Unilateral Scrotal Swelling After Acute Pancreatitis of Pancreas Transplant Graft.胰腺移植术后急性胰腺炎导致的单侧阴囊肿胀
Gastroenterology. 2020 Feb;158(3):e6-e7. doi: 10.1053/j.gastro.2019.09.014. Epub 2019 Sep 24.
7
Scrotal Hydrocele in Acute Pancreatitis.阴囊积水症在急性胰腺炎中的表现。
Urology. 2019 Oct;132:e5-e7. doi: 10.1016/j.urology.2019.06.012. Epub 2019 Jun 21.
8
Intrascrotal Collection in an Acute Pancreatitis: A Case Report and Review of the Literature.急性胰腺炎患者阴囊内积液:一例报告并文献复习
Case Rep Urol. 2016;2016:7534781. doi: 10.1155/2016/7534781. Epub 2016 Nov 1.
9
Scrotal swelling and normal lipase, a rare presentation of acute pancreatitis.阴囊肿胀且脂肪酶正常,急性胰腺炎的一种罕见表现。
Am J Emerg Med. 2016 Apr;34(4):763.e5-6. doi: 10.1016/j.ajem.2015.08.046. Epub 2015 Aug 30.
10
Left scrotal swelling caused by severe acute pancreatitis in a 38-year-old Chinese male.一名38岁中国男性因严重急性胰腺炎导致左侧阴囊肿胀。
Int J Clin Exp Med. 2015 May 15;8(5):8194-6. eCollection 2015.