Suppr超能文献

[一名6岁儿童IgG4相关性甲状腺疾病的临床病例]

[The clinical case of IgG4-related thyroid disease in a 6-year-old child].

作者信息

Kolodkina A A, Zubkova N A, Urusova L S, Bondarenko S P, Brovin D N, Anikiev A V, Bezlepkina O B

机构信息

Endocrinology Research Center.

出版信息

Probl Endokrinol (Mosk). 2023 Oct 18;70(2):94-102. doi: 10.14341/probl13379.

Abstract

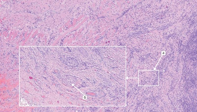
IgG4-related disease is a rare chronic pathology manifested by lymphoplasmacytic infiltration of one or more organs, the formation of storiform fibrosis, tissue edema, and an increase of IgG4 in the blood. This disease was singled out as an independent nosological unit only in 2001. The incidence is less than 1 in 100,000 people per year. Almost any organ can be affected in IgG4-related disease. The association of Riedel's thyroiditis with IgG4 was established in 2010. Riedel's thyroiditis is an extremely rare inflammatory disease of the thyroid gland, which diagnosis is complicated by an atypical course and the absence of characteristic symptoms. Less than 300 clinical cases of the disease have been described in the world, only two from them were in children. This article presents a clinical case of a 6-year-old boy with Riedel's thyroiditis.

摘要

IgG4相关性疾病是一种罕见的慢性病理状态,表现为一个或多个器官的淋巴浆细胞浸润、席纹状纤维化形成、组织水肿以及血液中IgG4升高。这种疾病直到2001年才被确认为一个独立的病种。其发病率每年低于十万分之一。IgG4相关性疾病几乎可累及任何器官。2010年证实了里德尔甲状腺炎与IgG4的关联。里德尔甲状腺炎是一种极其罕见的甲状腺炎症性疾病,其诊断因病程不典型且缺乏特征性症状而变得复杂。全球报道的该疾病临床病例不足300例,其中仅有两例为儿童病例。本文介绍了一名患有里德尔甲状腺炎的6岁男孩的临床病例。

https://cdn.ncbi.nlm.nih.gov/pmc/blobs/6a78/11145568/49f2873e6525/problendo-70-13379-g001.jpg

文献AI研究员

20分钟写一篇综述,助力文献阅读效率提升50倍。

立即体验

用中文搜PubMed

大模型驱动的PubMed中文搜索引擎

马上搜索

文档翻译

学术文献翻译模型,支持多种主流文档格式。

立即体验