Suppr超能文献

臭氧对甲氨蝶呤诱导的小鼠睾丸损伤的保护作用。

The protective effect of Ozone on the mice testicular damage induced by methotrexate.

机构信息

Cellular and Molecular Research Center, Medical Basic Sciences Research Institute, Ahvaz Jundishapur University of Medical Sciences, Ahvaz, Iran.

Department of Anatomical Sciences, Faculty of Medicine, Ahvaz Jundishapur University of Medical Sciences, Ahvaz, Iran.

出版信息

JBRA Assist Reprod. 2024 Aug 26;28(3):464-470. doi: 10.5935/1518-0557.20240041.

Abstract

OBJECTIVE

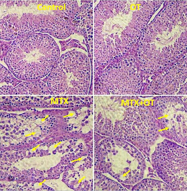
Methotrexate (MTX) is widely administered for the treatment of various cancers. However, MTX induces male reproductive toxicity. In the current study, the effect of ozone therapy (OT) on reducing the toxic effects of MTX in the mouse testicles has been investigated.

METHODS

Twenty-four mice were divided into four groups: control, OT (4 mg/kg ozone), MTX (20 mg/kg), and MTX + OT. Testosterone levels, histological changes, and oxidative stress biomarkers were assessed to evaluate the protective effects of OT.

RESULTS

The results demonstrated that MTX disrupted germinal epithelium, reduced serum testosterone levels, and enhanced oxidative stress in testicular tissue. However, treatment with OT attenuated these adverse effects. OT effectively restored the levels of antioxidant enzymes, such as catalase (CAT), glutathione (GSH), and superoxide dismutase (SOD). OT reduced lipid peroxidation, as indicated by decreased malondialdehyde (MDA) levels. OT preserved normal spermatogenesis, improved morphometric parameters, and reduced histological changes by MTX. Moreover, OT effectively restored testosterone levels.

CONCLUSIONS

OT protects against MTX-induced testicular damage by suppressing oxidative stress.

摘要

目的

甲氨蝶呤(MTX)被广泛用于治疗各种癌症。然而,MTX 会引起男性生殖毒性。本研究旨在探讨臭氧治疗(OT)对减少 MTX 对小鼠睾丸毒性的影响。

方法

将 24 只小鼠分为四组:对照组、OT(4mg/kg 臭氧)组、MTX(20mg/kg)组和 MTX+OT 组。评估臭氧治疗的保护作用,检测睾丸组织中的睾丸酮水平、组织学变化和氧化应激生物标志物。

结果

结果表明,MTX 破坏了生殖上皮,降低了血清睾丸酮水平,并增强了睾丸组织的氧化应激。然而,OT 治疗可减轻这些不良反应。OT 有效恢复了抗氧化酶的水平,如过氧化氢酶(CAT)、谷胱甘肽(GSH)和超氧化物歧化酶(SOD)。OT 降低了丙二醛(MDA)水平,减少了脂质过氧化。OT 通过抑制氧化应激,保护 MTX 诱导的睾丸损伤。OT 还可以改善形态计量参数,减少 MTX 引起的组织学变化,有效恢复睾丸酮水平。

结论

OT 通过抑制氧化应激来保护 MTX 诱导的睾丸损伤。

https://cdn.ncbi.nlm.nih.gov/pmc/blobs/2bb0/11349260/2fa076fdc3d7/jbra-28-03-0464-g01.jpg

文献AI研究员

20分钟写一篇综述,助力文献阅读效率提升50倍。

立即体验

用中文搜PubMed

大模型驱动的PubMed中文搜索引擎

马上搜索

文档翻译

学术文献翻译模型,支持多种主流文档格式。

立即体验