Suppr超能文献

部分输卵管切除术后自发性异位输卵管妊娠

Spontaneous Ectopic Tubal Pregnancy After Partial Salpingectomy.

作者信息

Fei Huali, Yin Yixuan, Guo Xiaoyan, Jin Xuejing

机构信息

Department of Reproductive Endocrinology, Hangzhou Women's Hospital, Hangzhou, People's Republic of China.

Department of Prenatal Diagnosis Center, Hangzhou Women's Hospital, Hangzhou, People's Republic of China.

出版信息

Int J Womens Health. 2024 May 23;16:917-922. doi: 10.2147/IJWH.S455616. eCollection 2024.

Abstract

OBJECTIVE

To report a rare case of spontaneous ectopic pregnancy (EP) after partial salpingectomy treated by laparoscopy.

CASE REPORT

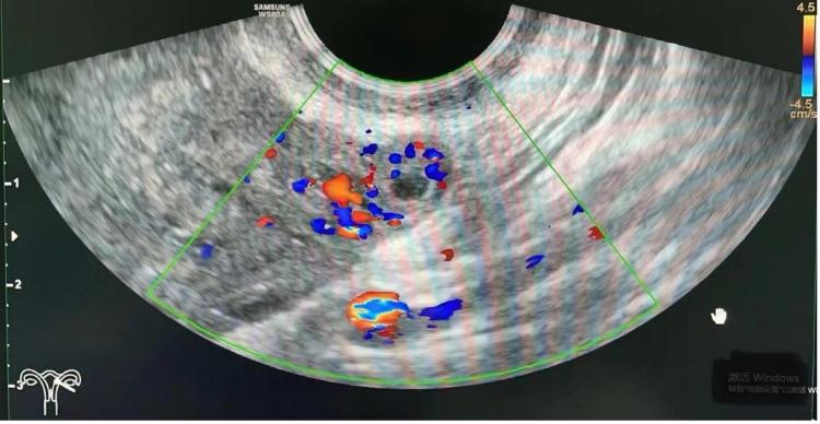
A 30-year-old gravida 1 para 0 woman with a history of left adnexectomy, due to left ovarian torsion 13 years ago, was referred to our hospital. She had experienced lower abdominal pain for 1 day and amenorrhea for 1 week. Transvaginal ultrasonography did not reveal an intrauterine pregnancy, but showed a suspected extrauterine gestational sac on the left adnexal area. The patient was diagnosed with ectopic pregnancy, and laparoscopy was performed. During the operation, we found a gestational sac on the left fallopian tube stump.

CONCLUSION

The most significant risk factors for ectopic pregnancy (EP) are previous procedures and conditions that cause tubal injury. Therefore, it is necessary to be alert to the occurrence of the disease even if there is a history of tubal resection and ensure no part of the fallopian tube is left behind during removal.

摘要

目的

报告1例腹腔镜下部分输卵管切除术后发生的罕见自发性异位妊娠(EP)病例。

病例报告

一名30岁、孕1产0的女性,13年前因左侧卵巢扭转行左侧附件切除术,现转诊至我院。她下腹痛1天,停经1周。经阴道超声检查未发现宫内妊娠,但在左侧附件区显示可疑宫外妊娠囊。患者被诊断为异位妊娠,并接受了腹腔镜检查。手术中,我们在左侧输卵管残端发现一个妊娠囊。

结论

异位妊娠(EP)最重要的危险因素是既往导致输卵管损伤的手术和疾病。因此,即使有输卵管切除史,也有必要警惕该病的发生,并确保在切除输卵管时不留任何部分。

https://cdn.ncbi.nlm.nih.gov/pmc/blobs/2b56/11129747/dcf34b3e0e64/IJWH-16-917-g0001.jpg

文献AI研究员

20分钟写一篇综述,助力文献阅读效率提升50倍。

立即体验

用中文搜PubMed

大模型驱动的PubMed中文搜索引擎

马上搜索

文档翻译

学术文献翻译模型,支持多种主流文档格式。

立即体验