Pruitt Sandra E, Filipek Jacob, Williford Dustin, Sanders Sara, Slagle Brittany, Young Heather, Snowden Jessica
Internal Medicine, University of Arkansas for Medical Sciences, Little Rock, USA.
General Pediatrics/Hospital Medicine, University of Arkansas for Medical Sciences, Little Rock, USA.
Cureus. 2024 Apr 28;16(4):e59229. doi: 10.7759/cureus.59229. eCollection 2024 Apr.
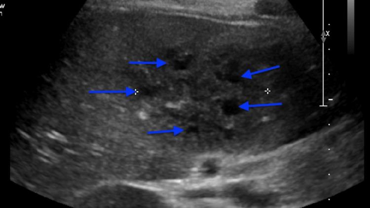
Methicillin-resistant (MRSA) hepatic phlegmon is a rare cause of fever of unknown origin (FUO) in an immunocompetent patient from a high-income country (HIC). MRSA hepatic phlegmon is typically linked to protein malnutrition and chronic gastrointestinal infections in low- to middle-income countries while immunodeficiencies such as chronic granulomatous disease (CGD) are a more common cause in a HIC. Clinical manifestations of hepatic phlegmon can be vague and nonspecific making a complete FUO workup critical during evaluation. We report a case of MRSA hepatic phlegmon in an immunocompetent patient with a nonspecific history and physical exam findings. A 14-year-old male presented with an 11-day history of fever with mild bilateral upper quadrant abdominal pain. The patient also has mild upper quadrant pain with palpation. The patient was diagnosed with a hepatic phlegmon on abdominal ultrasound and computed tomography (CT) of the abdomen. He was started on antibiotics and Interventional Radiology placed drains into the phlegmon and performed vancomycin drain washes. Inflammatory markers were initially elevated and trended down with interventions. The patient did well with treatment and was back to baseline during outpatient follow-up with the Infectious Disease team. This case illustrates the importance of a complete workup in patients with FUO.
耐甲氧西林金黄色葡萄球菌(MRSA)肝脓肿是高收入国家(HIC)免疫功能正常患者不明原因发热(FUO)的罕见病因。在低收入和中等收入国家,MRSA肝脓肿通常与蛋白质营养不良和慢性胃肠道感染有关,而在高收入国家,慢性肉芽肿病(CGD)等免疫缺陷是更常见的病因。肝脓肿的临床表现可能模糊且不具特异性,因此在评估期间进行全面的FUO检查至关重要。我们报告一例免疫功能正常患者的MRSA肝脓肿病例,其病史和体格检查结果均不具特异性。一名14岁男性,有11天发热病史,伴有轻度双侧上腹部疼痛。患者触诊时上腹部也有轻度疼痛。腹部超声和腹部计算机断层扫描(CT)显示患者被诊断为肝脓肿。开始使用抗生素治疗,介入放射科在脓肿处放置引流管,并进行万古霉素冲洗引流。炎症指标最初升高,经干预后呈下降趋势。患者治疗效果良好,在感染病科门诊随访期间恢复至基线状态。该病例说明了对FUO患者进行全面检查的重要性。