Suppr超能文献

“伟大的模仿者”现形:一例罕见的胃肠道梅毒病例

The Great Mimicker Gets Caught: A Rare Case of Syphilis in the Gastrointestinal Tract.

作者信息

Cantu Lopez Carlos, Herrera-Gonzalez Sarahi, Shamoon Dema, Dacosta Theodore Jr, Bains Yatinder

机构信息

Internal Medicine, Saint Michael's Medical Center, Newark, USA.

Gastroenterology and Hepatology, Saint Michael's Medical Center, Newark, USA.

出版信息

Cureus. 2024 Apr 28;16(4):e59222. doi: 10.7759/cureus.59222. eCollection 2024 Apr.

Abstract

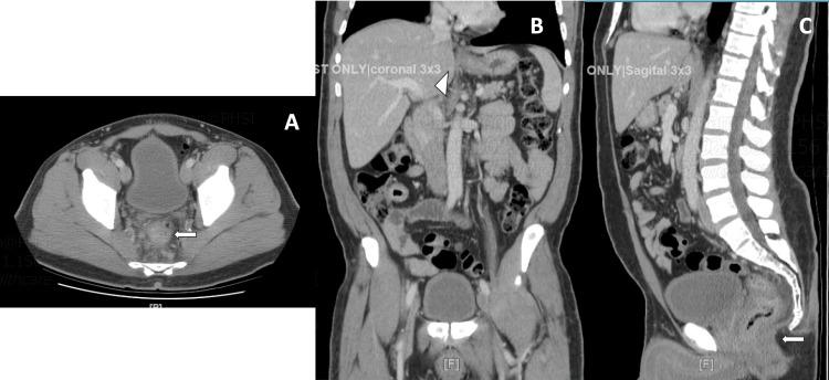
Syphilis is a sexually transmitted disease that impacts multiple organ systems and can mimic various diseases and is an extremely rare cause of proctitis in men who have sex with men and transgender females. We present a case of a 49-year-old transgender female with a medical history significant for diabetes mellitus and hyperlipidemia who presented to the emergency department with dull abdominal pain in the left upper and lower quadrants for two days. She had non-bloody, nonbilious emesis, 10-pound weight loss over 1 month, and constipation for 2 weeks. Laboratory results showed a cholestatic pattern. Computed tomography of the abdomen showed rectal wall thickening, multiple enlarged perirectal adenopathy, and mild inflammatory infiltration around the rectum suggesting superimposed proctitis. On colonoscopy, a possible rectal mass or severe proctitis with near complete obstruction was seen with initial pathology concerning for lymphoma or a rare type of colitis. The patient was empirically started on ceftriaxone and doxycycline leading to improvement in inflammation. Special stains requested were positive for Treponema pallidum confirming the diagnosis of syphilitic proctitis and highly suggestive syphilitic hepatitis. Few cases of syphilitic proctitis imitating rectal malignancy and syphilitic hepatitis have been reported. Syphilis requires exclusion as well as confirmation of spirochetes for high-risk populations with special staining. It is important to diagnose syphilis in special populations that are at high risk of contraction.

摘要

梅毒是一种性传播疾病,可影响多个器官系统,能模仿多种疾病,是男男性行为者和变性女性中直肠炎极为罕见的病因。我们报告一例49岁变性女性病例,其有糖尿病和高脂血症病史,因左上腹和左下腹钝痛两天就诊于急诊科。她有非血性、非胆汁性呕吐,1个月内体重减轻10磅,便秘2周。实验室检查结果显示胆汁淤积模式。腹部计算机断层扫描显示直肠壁增厚、多个直肠周围淋巴结肿大以及直肠周围轻度炎症浸润,提示合并直肠炎。结肠镜检查时,可见一个可能的直肠肿物或严重直肠炎伴近乎完全梗阻,初步病理检查怀疑为淋巴瘤或一种罕见类型的结肠炎。患者经验性使用头孢曲松和多西环素治疗后炎症有所改善。所要求的特殊染色显示苍白螺旋体阳性,确诊为梅毒性直肠炎,并高度提示梅毒性肝炎。很少有梅毒性直肠炎模仿直肠恶性肿瘤及梅毒性肝炎的病例报道。对于高危人群需通过特殊染色排除并确认螺旋体以诊断梅毒。在有高感染风险的特殊人群中诊断梅毒很重要。

https://cdn.ncbi.nlm.nih.gov/pmc/blobs/ada0/11132664/1a44021bd7c1/cureus-0016-00000059222-i01.jpg

文献AI研究员

20分钟写一篇综述,助力文献阅读效率提升50倍。

立即体验

用中文搜PubMed

大模型驱动的PubMed中文搜索引擎

马上搜索

文档翻译

学术文献翻译模型,支持多种主流文档格式。

立即体验