Suppr超能文献

开放性血栓切除术、补片血管成形术及逆行支架置入术治疗孤立性肠系膜上动脉夹层。

Open thrombectomy, patch angioplasty, and retrograde stenting for isolated superior mesenteric artery dissection.

作者信息

Ma Yuchi, Benfor Bright, Timbalia Shrishiv, Zia Mahnoor, Peden Eric K

机构信息

Department of Cardiovascular Surgery, Houston Methodist Hospital, Houston, TX.

School of Medicine, Virginia Commonwealth University, Richmond, VA.

出版信息

J Vasc Surg Cases Innov Tech. 2024 Apr 23;10(4):101512. doi: 10.1016/j.jvscit.2024.101512. eCollection 2024 Aug.

Abstract

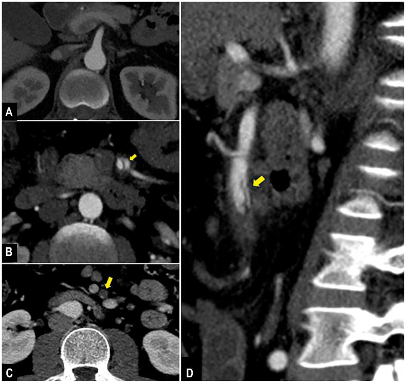
Isolated superior mesenteric artery dissection without aortic involvement is an exceptionally rare event. Nonoperative management remains the first-line therapy. However, surgical interventions can be indicated in the event of bowel ischemia. In the present report, we describe a case of complicated isolated superior mesenteric artery dissection treated with a hybrid approach.

摘要

孤立性肠系膜上动脉夹层且无主动脉受累是一种极其罕见的情况。非手术治疗仍然是一线治疗方法。然而,在出现肠缺血的情况下可能需要进行手术干预。在本报告中,我们描述了一例采用杂交手术方法治疗的复杂性孤立性肠系膜上动脉夹层病例。

https://cdn.ncbi.nlm.nih.gov/pmc/blobs/4178/11133973/190f534a8ac9/gr1.jpg

文献检索

告别复杂PubMed语法,用中文像聊天一样搜索,搜遍4000万医学文献。AI智能推荐,让科研检索更轻松。

立即免费搜索

文件翻译

保留排版,准确专业,支持PDF/Word/PPT等文件格式,支持 12+语言互译。

免费翻译文档

深度研究

AI帮你快速写综述,25分钟生成高质量综述,智能提取关键信息,辅助科研写作。

立即免费体验