• 文献检索
  • 文档翻译
  • 深度研究
  • 学术资讯
  • Suppr Zotero 插件Zotero 插件
  • 邀请有礼
  • 套餐&价格
  • 历史记录
应用&插件
Suppr Zotero 插件Zotero 插件浏览器插件Mac 客户端Windows 客户端微信小程序
定价
高级版会员购买积分包购买API积分包
服务
文献检索文档翻译深度研究API 文档MCP 服务
关于我们
关于 Suppr公司介绍联系我们用户协议隐私条款
关注我们

Suppr 超能文献

核心技术专利:CN118964589B侵权必究
粤ICP备2023148730 号-1Suppr @ 2026

文献检索

告别复杂PubMed语法,用中文像聊天一样搜索,搜遍4000万医学文献。AI智能推荐,让科研检索更轻松。

立即免费搜索

文件翻译

保留排版,准确专业,支持PDF/Word/PPT等文件格式,支持 12+语言互译。

免费翻译文档

深度研究

AI帮你快速写综述,25分钟生成高质量综述,智能提取关键信息,辅助科研写作。

立即免费体验

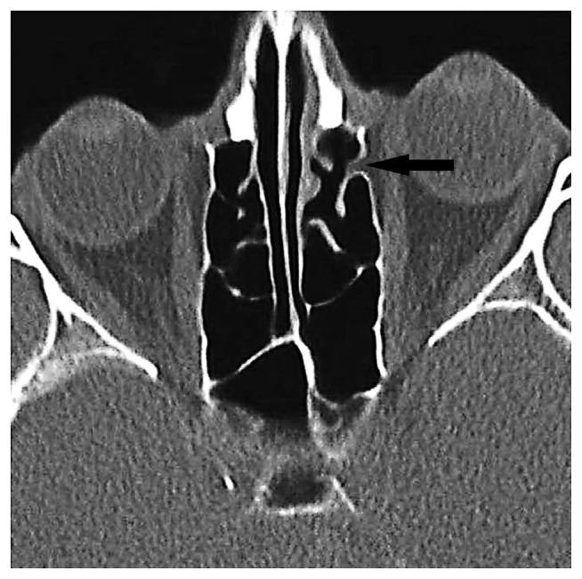
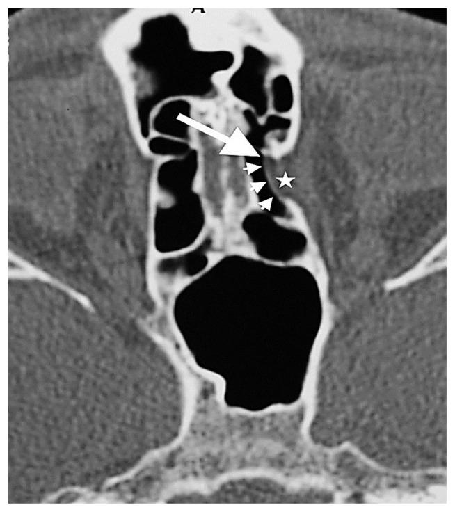
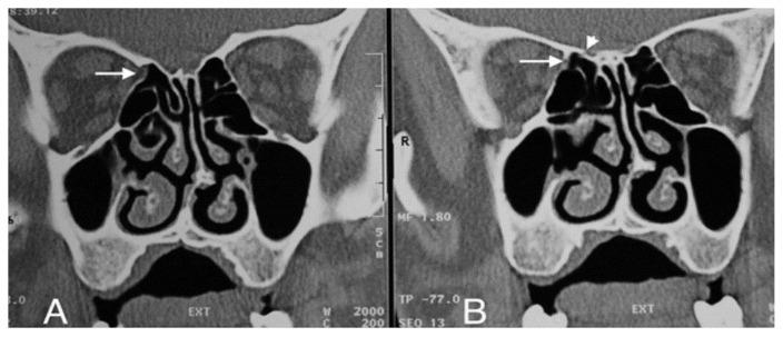
筛孔与眶脂肪疝出之间的关系。

The relationship between ethmoidal foramina and orbital fat herniation.

作者信息

Çankal Fatih, Kaya Mustafa, Tekdemir İbrahim

机构信息

Department of Anatomy, Ankara Medipol University School of Medicine, Ankara, Türkiye.

Department of Radiology, Gazi University School of Medicine, Ankara, Türkiye.

出版信息

Turk J Med Sci. 2021 Dec 9;52(2):370-379. doi: 10.3906/sag-2102-88. eCollection 2022.

DOI:10.3906/sag-2102-88
PMID:38812982
原文链接:https://pmc.ncbi.nlm.nih.gov/articles/PMC10381213/
Abstract

BACKGROUND/AIM: The aims of this study are to determine the incidence and more frequent localizations of orbital fat tissue herniation accompanying dehiscences in the medial orbital wall and to investigate the relationship between orbital fat tissue herniations and the anterior and posterior ethmoidal foramina.

MATERIAL AND METHODS

One thousand two hundred patients who had undergone computed tomography with a preliminary diagnosis of sinusitis and who had no previous facial, orbital, paranasal sinus surgeries or history of trauma were retrospectively analyzed. The localization of the ethmoidal foramina and orbital fat tissue herniations were marked. In patients with orbital fat tissue herniation, the relationship between the localization of orbital fat tissue herniation and the anterior and posterior ethmoidal foramina was investigated.

RESULTS

The incidence of orbital adipose tissue herniation in our study was 7.9%. Of the 98 herniations on the bilateral medial orbital wall, 60 were in zone 3, and the most common herniation site was zone 3. A statistically significant difference was noted between the localization zone of the anterior ethmoidal foramen and the localization zones of orbital fat tissue herniations (Fisher's exact test, p < 0.001).

CONCLUSION

Zone 3 is the weakest area of the medial orbital wall, and zone 3 is the most prone to herniation of fat tissue. The association of orbital fat tissue herniations with the anterior ethmoidal foramen is extremely common. Being cognizant of this finding may help a surgeon better estimate the anatomical view to be met before functional endoscopic sinus surgery as well as to minimize the risk of possible orbital complications, especially anterior ethmoidal artery injury.

摘要

背景/目的:本研究的目的是确定眶内侧壁裂开伴发眶脂肪组织疝出的发生率及更常见的部位,并研究眶脂肪组织疝出与筛前孔和筛后孔之间的关系。

材料与方法

回顾性分析1200例初步诊断为鼻窦炎且既往无面部、眼眶、鼻窦手术史或外伤史的患者的计算机断层扫描结果。标记筛孔和眶脂肪组织疝出的部位。对于有眶脂肪组织疝出的患者,研究眶脂肪组织疝出部位与筛前孔和筛后孔之间的关系。

结果

本研究中眶脂肪组织疝出的发生率为7.9%。在双侧眶内侧壁的98处疝出中,60处位于3区,最常见的疝出部位是3区。筛前孔的定位区与眶脂肪组织疝出的定位区之间存在统计学显著差异(Fisher精确检验,p<0.001)。

结论

3区是眶内侧壁最薄弱的区域,3区最容易发生脂肪组织疝出。眶脂肪组织疝出与筛前孔的关联极为常见。认识到这一发现可能有助于外科医生在功能性鼻内镜鼻窦手术前更好地估计可能遇到的解剖情况,并将可能的眼眶并发症风险降至最低,尤其是筛前动脉损伤。

https://cdn.ncbi.nlm.nih.gov/pmc/blobs/2dc7/10381213/c71f5029fbac/turkjmedsci-52-2-370f16.jpg
https://cdn.ncbi.nlm.nih.gov/pmc/blobs/2dc7/10381213/6c8cf5204353/turkjmedsci-52-2-370f1.jpg
https://cdn.ncbi.nlm.nih.gov/pmc/blobs/2dc7/10381213/ee360fc81cf8/turkjmedsci-52-2-370f2.jpg
https://cdn.ncbi.nlm.nih.gov/pmc/blobs/2dc7/10381213/483285b5054f/turkjmedsci-52-2-370f3.jpg
https://cdn.ncbi.nlm.nih.gov/pmc/blobs/2dc7/10381213/e64ec5d3a68c/turkjmedsci-52-2-370f4.jpg
https://cdn.ncbi.nlm.nih.gov/pmc/blobs/2dc7/10381213/fd1c511c95bb/turkjmedsci-52-2-370f5.jpg
https://cdn.ncbi.nlm.nih.gov/pmc/blobs/2dc7/10381213/7df31fe73baa/turkjmedsci-52-2-370f6.jpg
https://cdn.ncbi.nlm.nih.gov/pmc/blobs/2dc7/10381213/2df46df00281/turkjmedsci-52-2-370f7.jpg
https://cdn.ncbi.nlm.nih.gov/pmc/blobs/2dc7/10381213/3fa04ea80587/turkjmedsci-52-2-370f8.jpg
https://cdn.ncbi.nlm.nih.gov/pmc/blobs/2dc7/10381213/31d243376569/turkjmedsci-52-2-370f9.jpg
https://cdn.ncbi.nlm.nih.gov/pmc/blobs/2dc7/10381213/ad1516d880f4/turkjmedsci-52-2-370f10.jpg
https://cdn.ncbi.nlm.nih.gov/pmc/blobs/2dc7/10381213/97cd31a8c393/turkjmedsci-52-2-370f11.jpg
https://cdn.ncbi.nlm.nih.gov/pmc/blobs/2dc7/10381213/615375692c03/turkjmedsci-52-2-370f12.jpg
https://cdn.ncbi.nlm.nih.gov/pmc/blobs/2dc7/10381213/5c678fc87eac/turkjmedsci-52-2-370f13.jpg
https://cdn.ncbi.nlm.nih.gov/pmc/blobs/2dc7/10381213/7d53e7119606/turkjmedsci-52-2-370f14.jpg
https://cdn.ncbi.nlm.nih.gov/pmc/blobs/2dc7/10381213/3205edafc98f/turkjmedsci-52-2-370f15.jpg
https://cdn.ncbi.nlm.nih.gov/pmc/blobs/2dc7/10381213/c71f5029fbac/turkjmedsci-52-2-370f16.jpg
https://cdn.ncbi.nlm.nih.gov/pmc/blobs/2dc7/10381213/6c8cf5204353/turkjmedsci-52-2-370f1.jpg
https://cdn.ncbi.nlm.nih.gov/pmc/blobs/2dc7/10381213/ee360fc81cf8/turkjmedsci-52-2-370f2.jpg
https://cdn.ncbi.nlm.nih.gov/pmc/blobs/2dc7/10381213/483285b5054f/turkjmedsci-52-2-370f3.jpg
https://cdn.ncbi.nlm.nih.gov/pmc/blobs/2dc7/10381213/e64ec5d3a68c/turkjmedsci-52-2-370f4.jpg
https://cdn.ncbi.nlm.nih.gov/pmc/blobs/2dc7/10381213/fd1c511c95bb/turkjmedsci-52-2-370f5.jpg
https://cdn.ncbi.nlm.nih.gov/pmc/blobs/2dc7/10381213/7df31fe73baa/turkjmedsci-52-2-370f6.jpg
https://cdn.ncbi.nlm.nih.gov/pmc/blobs/2dc7/10381213/2df46df00281/turkjmedsci-52-2-370f7.jpg
https://cdn.ncbi.nlm.nih.gov/pmc/blobs/2dc7/10381213/3fa04ea80587/turkjmedsci-52-2-370f8.jpg
https://cdn.ncbi.nlm.nih.gov/pmc/blobs/2dc7/10381213/31d243376569/turkjmedsci-52-2-370f9.jpg
https://cdn.ncbi.nlm.nih.gov/pmc/blobs/2dc7/10381213/ad1516d880f4/turkjmedsci-52-2-370f10.jpg
https://cdn.ncbi.nlm.nih.gov/pmc/blobs/2dc7/10381213/97cd31a8c393/turkjmedsci-52-2-370f11.jpg
https://cdn.ncbi.nlm.nih.gov/pmc/blobs/2dc7/10381213/615375692c03/turkjmedsci-52-2-370f12.jpg
https://cdn.ncbi.nlm.nih.gov/pmc/blobs/2dc7/10381213/5c678fc87eac/turkjmedsci-52-2-370f13.jpg
https://cdn.ncbi.nlm.nih.gov/pmc/blobs/2dc7/10381213/7d53e7119606/turkjmedsci-52-2-370f14.jpg
https://cdn.ncbi.nlm.nih.gov/pmc/blobs/2dc7/10381213/3205edafc98f/turkjmedsci-52-2-370f15.jpg
https://cdn.ncbi.nlm.nih.gov/pmc/blobs/2dc7/10381213/c71f5029fbac/turkjmedsci-52-2-370f16.jpg

相似文献

1
The relationship between ethmoidal foramina and orbital fat herniation.筛孔与眶脂肪疝出之间的关系。
Turk J Med Sci. 2021 Dec 9;52(2):370-379. doi: 10.3906/sag-2102-88. eCollection 2022.
2
The relationship between ethmoidal foramina and orbital fat herniation.筛骨孔与眶脂疝出的关系。
Turk J Med Sci. 2022 Apr;52(2):522-523. doi: 10.55730/1300-0144.5324. Epub 2022 Apr 14.
3
Morphometric study of the medial orbital wall emphasizing the ethmoidal foramina.眶内侧壁的形态计量学研究,重点关注筛孔。
Surg Radiol Anat. 2015 Sep;37(7):809-13. doi: 10.1007/s00276-014-1410-7. Epub 2015 Jan 7.
4
Bone dehiscences of medial orbital wall on computed tomography and assessment of terminological errors in literature.眶内侧壁骨窗在 CT 上的表现及文献中术语错误评估。
Folia Morphol (Warsz). 2022;81(1):175-182. doi: 10.5603/FM.a2021.0004. Epub 2021 Jan 29.
5
Computer-assisted analysis of anatomical relationships of the ethmoidal foramina and optic canal along the medial orbital wall.沿眶内侧壁对筛孔与视神经管解剖关系的计算机辅助分析。
Eur Arch Otorhinolaryngol. 2015 Nov;272(11):3483-90. doi: 10.1007/s00405-014-3378-7. Epub 2014 Nov 4.
6
Are the Ethmoidal Foramina Through the Frontal Bone, Ethmoid Bone, or Frontoethmoidal Suture?筛骨眶板上的眶上裂是通过额骨、筛骨还是额筛缝?
Kurume Med J. 2024 May 14;69(3.4):195-199. doi: 10.2739/kurumemedj.MS6934012. Epub 2024 Jan 16.
7
Accessory ethmoidal foramina: an anatomical study.筛骨额外气房:一项解剖学研究。
Ophthalmic Plast Reconstr Surg. 2011 Mar-Apr;27(2):125-7. doi: 10.1097/IOP.0b013e318201c8fd.
8
A cadaveric study of ethmoidal foramina variation and its surgical significance in Caucasians.高加索人群筛骨孔变异及其临床意义的尸体研究。
Br J Ophthalmol. 2012 Jan;96(1):118-21. doi: 10.1136/bjo.2010.197319. Epub 2011 Mar 22.
9
An osteologic study of human ethmoidal foramina with special reference to their classification and symmetry.一项关于人类筛孔的骨学研究,特别涉及它们的分类和对称性。
Ital J Anat Embryol. 2016;121(1):66-76.
10
An anatomical study of the positional relationship between the ethmoidal foramina and the frontoethmoidal suture.筛骨孔与额筛缝位置关系的解剖学研究。
Ophthalmic Plast Reconstr Surg. 2011 Nov-Dec;27(6):457-9. doi: 10.1097/IOP.0b013e318222eb82.

本文引用的文献

1
Bone dehiscences of medial orbital wall on computed tomography and assessment of terminological errors in literature.眶内侧壁骨窗在 CT 上的表现及文献中术语错误评估。
Folia Morphol (Warsz). 2022;81(1):175-182. doi: 10.5603/FM.a2021.0004. Epub 2021 Jan 29.
2
Evaluation of the anterior and posterior ethmoidal canal by computed tomography.通过计算机断层扫描评估筛前管和筛后管。
Clin Radiol. 2004 Nov;59(11):1034-40. doi: 10.1016/j.crad.2004.04.016.
3
Paranasal and orbital anatomy revisited: identification of the ethmoid arteries on coronal CT scans.
重新审视鼻旁窦和眼眶解剖结构:在冠状位CT扫描上识别筛动脉。
Crit Rev Comput Tomogr. 2003;44(5):263-78. doi: 10.3109/bctg.44.5.263.278.
4
Ophthalmic complications of endoscopic sinus surgery.鼻内镜鼻窦手术的眼科并发症
Surv Ophthalmol. 2003 Jul-Aug;48(4):389-402. doi: 10.1016/s0039-6257(03)00055-9.
5
Protrusion of orbital content through dehiscence of lamina papyracea mimics ethmoiditis: a case report.
Otolaryngol Head Neck Surg. 2003 Mar;128(3):433-5. doi: 10.1067/mhn.2003.105.
6
Surgical anatomy of the anterior ethmoidal canal in ethmoid roof.筛窦顶壁筛前管的外科解剖学
Laryngoscope. 2001 May;111(5):900-4. doi: 10.1097/00005537-200105000-00027.
7
Computed tomography anatomy of the anterior ethmoid canal.筛前管的计算机断层扫描解剖学
Am J Rhinol. 2001 Mar-Apr;15(2):77-81. doi: 10.2500/105065801781543691.
8
Medial orbital protrusion--a potentially hazardous anomaly during endoscopic sinus surgery.眶内侧突出——一种在内镜鼻窦手术期间具有潜在危险的异常情况。
J Laryngol Otol. 1999 Aug;113(8):754-5. doi: 10.1017/s0022215100145116.
9
Evaluation of some important anatomical variations and dangerous areas of the paranasal sinuses by CT for safer endonasal surgery.通过CT评估鼻旁窦的一些重要解剖变异和危险区域以进行更安全的鼻内手术。
Rhinology. 1998 Dec;36(4):162-7.
10
Interpretation of anatomic variations of computed tomography scans of the sinuses: a surgeon's perspective.鼻窦计算机断层扫描解剖变异的解读:外科医生的视角
Laryngoscope. 1998 Mar;108(3):422-5. doi: 10.1097/00005537-199803000-00020.