Suppr超能文献

一种值得神经外科医生关注的疾病:原发性中枢神经系统移植后淋巴组织增生性疾病。

A disease warranting attention from neurosurgeons: primary central nervous system post-transplant lymphoproliferative disorder.

作者信息

Jin Lei, Lu Di, Yan Feng, Han Jinkun, Wei Penghu, Zhou Yiqiang, Wang Yaming, Shan Yongzhi, Zhao Guoguang

机构信息

Department of Neurosurgery, Xuanwu Hospital, Capital Medical University, Beijing, China.

Clinical Research Center for Epilepsy, Capital Medical University, Beijing, China.

出版信息

Front Neurol. 2024 May 15;15:1392691. doi: 10.3389/fneur.2024.1392691. eCollection 2024.

Abstract

BACKGROUND

Primary central nervous system post-transplant lymphoproliferative disorder (PCNS-PTLD) is a rare condition, posing diagnostic and treatment challenges, with histological biopsy essential for diagnosis. Standardized treatment protocols are lacking. This disease requires urgent attention due to the increasing number of organ transplant surgeries and the use of immunosuppressive agents.

METHODS

From 2020 to 2023, our center diagnosed five patients with PCNS-PTLD. We reviewed their clinical records and conducted a comprehensive analysis of 22 literatures on PCNS-PTLD cases following renal transplantation or allogeneic hematopoietic stem cell transplantation (HSCT).

RESULTS

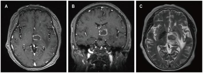
Four patients had previously received a kidney transplant, one had undergone allogeneic HSCT. The median time from the last transplant surgery to the diagnosis of PCNS-PTLD differs between kidney transplant (21.5 years) and allogeneic HSCT (9 months). Common symptoms included motor weakness ( = 4), headache ( = 2), confusion ( = 2), and nausea ( = 2), with ring-enhancing ( = 5), typically solitary ( = 3) and supratentorial ( = 3) lesions on imaging. Diagnosis involved robot-assisted stereotactic brain biopsy ( = 4) or craniotomy ( = 1), all showing Epstein-Barr virus and CD20 positivity. Most cases ( = 4) were monomorphic diffuse large B-cell lymphoma. Treatment included rituximab ( = 3), surgical resection ( = 2), zanubrutinib ( = 1), whole-brain radiation ( = 1), and methotrexate ( = 1). At the last follow-up, the median duration of follow-up for all patients was 19 months. During this time, 3 patients had died and 2 patients were still alive.

CONCLUSION

In patients with a history of kidney transplantation or allogeneic HSCT who are on long-term immunosuppressive therapy, any neurological symptoms, particularly the presence of supratentorial ring-enhancing masses in the brain on imaging, whether solitary or multiple, should raise high suspicion for this disease, warranting a timely brain biopsy. Additionally, we found that besides reducing immunosuppressants, zanubrutinib may be a potential, safe, and effective treatment for this condition. Moreover, post-surgical administration of rituximab in conjunction with whole-brain radiotherapy also appears to be a potentially safe and effective approach.

摘要

背景

原发性中枢神经系统移植后淋巴组织增生性疾病(PCNS-PTLD)是一种罕见疾病,带来诊断和治疗挑战,组织学活检对诊断至关重要。目前缺乏标准化治疗方案。由于器官移植手术数量增加以及免疫抑制剂的使用,这种疾病需要紧急关注。

方法

2020年至2023年,我们中心诊断出5例PCNS-PTLD患者。我们回顾了他们的临床记录,并对22篇关于肾移植或异基因造血干细胞移植(HSCT)后PCNS-PTLD病例的文献进行了综合分析。

结果

4例患者曾接受肾移植,1例接受异基因HSCT。从最后一次移植手术到诊断为PCNS-PTLD的中位时间在肾移植(21.5年)和异基因HSCT(9个月)之间有所不同。常见症状包括运动无力(n = 4)、头痛(n = 2)、意识模糊(n = 2)和恶心(n = 2),影像学检查显示有环形强化(n = 5),通常为单发(n = 3)且位于幕上(n = 3)病变。诊断采用机器人辅助立体定向脑活检(n = 4)或开颅手术(n = 1),所有结果均显示爱泼斯坦-巴尔病毒和CD20阳性。大多数病例(n = 4)为单形性弥漫性大B细胞淋巴瘤。治疗方法包括利妥昔单抗(n = 3)、手术切除(n = 2)、泽布替尼(n = 1)、全脑放疗(n = 1)和甲氨蝶呤(n = 1)。在最后一次随访时,所有患者的中位随访时间为19个月。在此期间,3例患者死亡,2例患者仍存活。

结论

对于有肾移植或异基因HSCT病史且长期接受免疫抑制治疗的患者,任何神经系统症状,特别是影像学检查显示脑内幕上有环形强化肿块,无论单发或多发,都应高度怀疑此病,需及时进行脑活检。此外,我们发现除了减少免疫抑制剂外,泽布替尼可能是治疗这种疾病的一种潜在、安全且有效的方法。此外,术后给予利妥昔单抗联合全脑放疗似乎也是一种潜在安全有效的方法。

https://cdn.ncbi.nlm.nih.gov/pmc/blobs/5d0d/11133574/009eddbcf972/fneur-15-1392691-g0001.jpg

文献AI研究员

20分钟写一篇综述,助力文献阅读效率提升50倍。

立即体验

用中文搜PubMed

大模型驱动的PubMed中文搜索引擎

马上搜索

文档翻译

学术文献翻译模型,支持多种主流文档格式。

立即体验