Imam Abdulrahman Bin Faisal University, Dammam, Saudi Arabia.
Pathology Services, Johns Hopkins Aramco Healthcare, Dhahran, Saudi Arabia.
J Med Life. 2024 Feb;17(2):239-241. doi: 10.25122/jml-2023-0337.
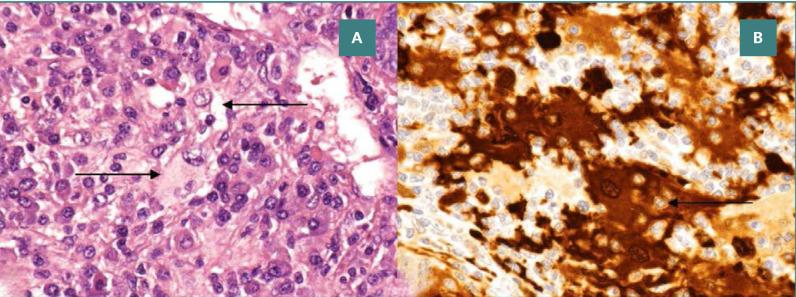
Rosai-Dorfman disease (RDD) is a rare non-Langerhans cell histiocytosis disorder characterized by the proliferation of histiocytes within the lymph nodes. Extranodal involvement can occur; however, only 10% of extranodal RDD involve the skin. We present a unique case of a 66-year-old woman with cutaneous RDD followed by the development of multiple myeloma (MM). To our knowledge, this is only the second reported case where RDD preceded a diagnosis of MM, with the first documented instance occurring in 2018. The patient presented to the dermatology clinic with a 5-year history of painless, solitary lesion over the right cheek. Local examination revealed a single 6 mm x 7 mm well-circumscribed pearly telangiectatic lesion resembling basal cell carcinoma over the right nasolabial fold and cheek. The lesion was excised with a 3 mm circumferential margin. Histopathology showed a mixed lymphohistiocytic cell infiltrate with emperipolesis and immunohistochemical staining patterns consistent with RDD. Two years later, the patient presented with hip pain and was diagnosed with MM. She was treated with lenalidomide, bortezomib, and dexamethasone, and was later maintained on lenalidomide. Our case adds to the limited evidence suggesting a potential association between RDD and MM. Further research in this field is required to promptly identify and manage patients with such a presentation in the future.
罗道尔夫-多夫曼病(RDD)是一种罕见的非朗格汉斯细胞组织细胞增生症,其特征是淋巴结内组织细胞的增殖。可发生结外累及;然而,只有 10%的结外 RDD 累及皮肤。我们报告了一例独特的皮肤 RDD 随后发展为多发性骨髓瘤(MM)的病例。据我们所知,这是仅有的第二例 RDD 先于 MM 诊断的病例,第一例记录于 2018 年。患者因右脸颊无痛性单发病变就诊皮肤科诊所,病史 5 年。局部检查显示单个 6mmx7mm 边界清楚的珍珠状毛细血管扩张性病变,类似于右鼻唇沟和脸颊的基底细胞癌。病变以 3mm 环形边缘切除。组织病理学显示混合性淋巴组织细胞浸润,伴有 emperipolesis 和免疫组织化学染色模式与 RDD 一致。两年后,患者出现髋部疼痛,被诊断为 MM。她接受了来那度胺、硼替佐米和地塞米松治疗,后来维持来那度胺治疗。我们的病例增加了有限的证据,表明 RDD 和 MM 之间存在潜在关联。未来需要在该领域进行进一步研究,以便及时识别和管理此类表现的患者。