• 文献检索
  • 文档翻译
  • 深度研究
  • 学术资讯
  • Suppr Zotero 插件Zotero 插件
  • 邀请有礼
  • 套餐&价格
  • 历史记录
应用&插件
Suppr Zotero 插件Zotero 插件浏览器插件Mac 客户端Windows 客户端微信小程序
定价
高级版会员购买积分包购买API积分包
服务
文献检索文档翻译深度研究API 文档MCP 服务
关于我们
关于 Suppr公司介绍联系我们用户协议隐私条款
关注我们

Suppr 超能文献

核心技术专利:CN118964589B侵权必究
粤ICP备2023148730 号-1Suppr @ 2026

文献检索

告别复杂PubMed语法,用中文像聊天一样搜索,搜遍4000万医学文献。AI智能推荐,让科研检索更轻松。

立即免费搜索

文件翻译

保留排版,准确专业,支持PDF/Word/PPT等文件格式,支持 12+语言互译。

免费翻译文档

深度研究

AI帮你快速写综述,25分钟生成高质量综述,智能提取关键信息,辅助科研写作。

立即免费体验

双峰驼不同腺胃区黏膜定植微生物的分布特征及其与局部黏膜免疫的关系。

Distribution characteristics of gastric mucosal colonizing microorganisms in different glandular regions of Bactrian camels and their relationship with local mucosal immunity.

机构信息

College of Veterinary Medicine, Gansu Agricultural University, Lanzhou, P.R.China.

出版信息

PLoS One. 2024 May 30;19(5):e0300316. doi: 10.1371/journal.pone.0300316. eCollection 2024.

DOI:10.1371/journal.pone.0300316
PMID:38814894
原文链接:https://pmc.ncbi.nlm.nih.gov/articles/PMC11139325/
Abstract

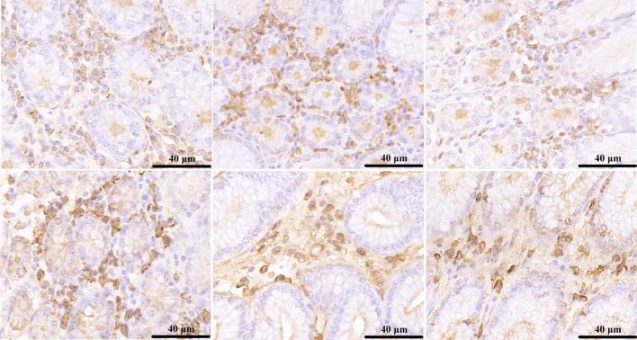
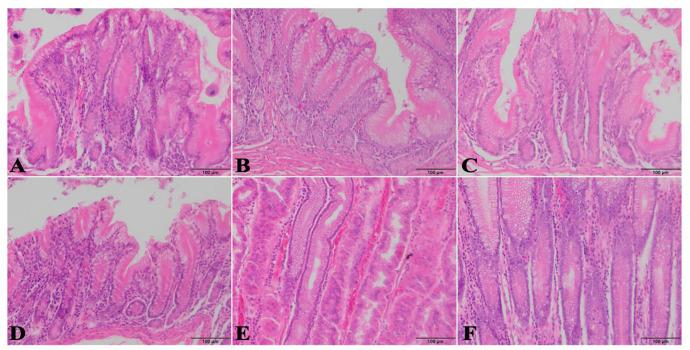
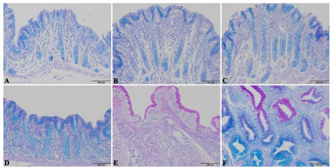
Bactrian camels inhabiting desert and semi-desert regions of China are valuable animal models for studying adaptation to desert environments and heat stress. In this study, 16S rRNA technology was employed to investigate the distribution characteristics and differences of mucosal microorganisms in the anterior gland area, posterior gland area, third gland area, cardia gland area, gastric fundic gland area and pyloric gland area of 5-peak adult healthy Bactrian camels. We aimed to explore the possible reasons for the observed microbial distribution from the aspects of histological structure and mucosal immunity. Bacteroides and Fibrobacteria accounted for 59.54% and 3.22% in the gland area, respectively, and 52.37% and 1.49% in the wrinkled stomach gland area, respectively. The gland area showed higher abundance of Bacteroides and Fibrobacteria than the wrinkled stomach gland area. Additionally, the anterior gland area, posterior gland area, third gland area, and cardia gland area of Bactrian camels mainly secreted acidic mucus, while the gastric fundic gland area mainly secreted neutral mucus and the pyloric region mainly secreted a mixture of acidic and neutral mucus. The results of immunohistochemistry techniques demonstrated that the number of IgA+ cells in the anterior glandular area, posterior glandular area, third glandular area, and cardia gland area was significantly higher than that in the fundic and pyloric gland area (p < 0.05), and the difference in IgA+ between the fundic and pyloric gland area was not significant (p > 0.05). The study revealed a large number of bacteria that can digest and degrade cellulose on the mucosa of the gastric gland area of Bactrian camels. The distribution of IgA+ cells, the structure of the mucosal tissue in the glandular region, and the composition of the mucus secreted on its surface may have a crucial influence on microbial fixation and differential distribution.

摘要

双峰驼生活在中国的荒漠和半荒漠地区,是研究适应荒漠环境和热应激的有价值的动物模型。本研究采用 16S rRNA 技术,研究了 5 峰成年健康双峰驼前腺区、后腺区、第三腺区、贲门腺区、胃底腺区和幽门腺区黏膜微生物的分布特征和差异,从组织学结构和黏膜免疫的角度探讨了观察到的微生物分布的可能原因。拟杆菌和纤维杆菌在腺区的比例分别为 59.54%和 3.22%,在皱胃腺区的比例分别为 52.37%和 1.49%。腺区拟杆菌和纤维杆菌的丰度高于皱胃腺区。此外,双峰驼的前腺区、后腺区、第三腺区和贲门腺区主要分泌酸性黏液,而胃底腺区主要分泌中性黏液,幽门区主要分泌酸性和中性混合黏液。免疫组织化学技术的结果表明,前腺区、后腺区、第三腺区和贲门腺区的 IgA+细胞数量明显高于胃底和幽门区(p < 0.05),而胃底和幽门区之间的 IgA+差异不显著(p > 0.05)。研究发现大量可消化和降解胃腺区黏膜纤维素的细菌。IgA+细胞的分布、腺区黏膜组织的结构以及其表面分泌的黏液组成可能对微生物的固定和差异分布有重要影响。

https://cdn.ncbi.nlm.nih.gov/pmc/blobs/0f65/11139325/f3c9600f946c/pone.0300316.g012.jpg
https://cdn.ncbi.nlm.nih.gov/pmc/blobs/0f65/11139325/d90c3240a879/pone.0300316.g001.jpg
https://cdn.ncbi.nlm.nih.gov/pmc/blobs/0f65/11139325/bd4838a35180/pone.0300316.g002.jpg
https://cdn.ncbi.nlm.nih.gov/pmc/blobs/0f65/11139325/f4f91bc6be51/pone.0300316.g003.jpg
https://cdn.ncbi.nlm.nih.gov/pmc/blobs/0f65/11139325/7c5bc0b881d3/pone.0300316.g004.jpg
https://cdn.ncbi.nlm.nih.gov/pmc/blobs/0f65/11139325/6c76851d45e2/pone.0300316.g005.jpg
https://cdn.ncbi.nlm.nih.gov/pmc/blobs/0f65/11139325/7a455867816c/pone.0300316.g006.jpg
https://cdn.ncbi.nlm.nih.gov/pmc/blobs/0f65/11139325/79062699afeb/pone.0300316.g007.jpg
https://cdn.ncbi.nlm.nih.gov/pmc/blobs/0f65/11139325/c385cf5637ff/pone.0300316.g008.jpg
https://cdn.ncbi.nlm.nih.gov/pmc/blobs/0f65/11139325/05f44421fdf6/pone.0300316.g009.jpg
https://cdn.ncbi.nlm.nih.gov/pmc/blobs/0f65/11139325/11aae1a1305f/pone.0300316.g010.jpg
https://cdn.ncbi.nlm.nih.gov/pmc/blobs/0f65/11139325/e2e3deb8e76b/pone.0300316.g011.jpg
https://cdn.ncbi.nlm.nih.gov/pmc/blobs/0f65/11139325/f3c9600f946c/pone.0300316.g012.jpg
https://cdn.ncbi.nlm.nih.gov/pmc/blobs/0f65/11139325/d90c3240a879/pone.0300316.g001.jpg
https://cdn.ncbi.nlm.nih.gov/pmc/blobs/0f65/11139325/bd4838a35180/pone.0300316.g002.jpg
https://cdn.ncbi.nlm.nih.gov/pmc/blobs/0f65/11139325/f4f91bc6be51/pone.0300316.g003.jpg
https://cdn.ncbi.nlm.nih.gov/pmc/blobs/0f65/11139325/7c5bc0b881d3/pone.0300316.g004.jpg
https://cdn.ncbi.nlm.nih.gov/pmc/blobs/0f65/11139325/6c76851d45e2/pone.0300316.g005.jpg
https://cdn.ncbi.nlm.nih.gov/pmc/blobs/0f65/11139325/7a455867816c/pone.0300316.g006.jpg
https://cdn.ncbi.nlm.nih.gov/pmc/blobs/0f65/11139325/79062699afeb/pone.0300316.g007.jpg
https://cdn.ncbi.nlm.nih.gov/pmc/blobs/0f65/11139325/c385cf5637ff/pone.0300316.g008.jpg
https://cdn.ncbi.nlm.nih.gov/pmc/blobs/0f65/11139325/05f44421fdf6/pone.0300316.g009.jpg
https://cdn.ncbi.nlm.nih.gov/pmc/blobs/0f65/11139325/11aae1a1305f/pone.0300316.g010.jpg
https://cdn.ncbi.nlm.nih.gov/pmc/blobs/0f65/11139325/e2e3deb8e76b/pone.0300316.g011.jpg
https://cdn.ncbi.nlm.nih.gov/pmc/blobs/0f65/11139325/f3c9600f946c/pone.0300316.g012.jpg

相似文献

1
Distribution characteristics of gastric mucosal colonizing microorganisms in different glandular regions of Bactrian camels and their relationship with local mucosal immunity.双峰驼不同腺胃区黏膜定植微生物的分布特征及其与局部黏膜免疫的关系。
PLoS One. 2024 May 30;19(5):e0300316. doi: 10.1371/journal.pone.0300316. eCollection 2024.
2
Age-dependent distribution of IgA and IgG antibody-secreting cells in the pharyngeal tonsil of the Bactrian camel.年龄相关性在双峰驼咽扁桃体中 IgA 和 IgG 抗体分泌细胞的分布
Vet J. 2024 Jun;305:106131. doi: 10.1016/j.tvjl.2024.106131. Epub 2024 May 17.
3
The histological characteristics of the aggregated lymphoid nodules area in abomasum of Bactrian camels (Camelus bactrianus) of different ages.不同年龄双峰驼(骆驼属双峰驼)皱胃中聚集淋巴小结区域的组织学特征。
Vet Immunol Immunopathol. 2012 Jun 30;147(3-4):147-53. doi: 10.1016/j.vetimm.2012.04.007. Epub 2012 Apr 11.
4
Impact of aging on distribution of IgA and IgG cells in aggregated lymphoid nodules area in abomasum of Bactrian camels (Camelus bactrianus).老龄对双峰驼皱胃固有层淋巴集结中 IgA 和 IgG 细胞分布的影响。
Exp Gerontol. 2017 Dec 15;100:36-44. doi: 10.1016/j.exger.2017.09.022. Epub 2017 Oct 6.
5
Localization of neonatal Fc receptor for IgG in aggregated lymphoid nodules area in abomasum of Bactrian camels (Camelus bactrianus) of different ages.不同年龄双峰驼(Camelus bactrianus)皱胃集合淋巴滤泡区 IgG 受体 Fc 的定位。
BMC Vet Res. 2016 Oct 20;12(1):237. doi: 10.1186/s12917-016-0847-9.
6
The distribution of SIgA and IgG antibody-secreting cells in the large intestine of Bactrian camels (Camelus bactrianus).双峰驼(Camelus bactrianus)大肠中分泌SIgA和IgG抗体细胞的分布
Folia Morphol (Warsz). 2022;81(4):963-970. doi: 10.5603/FM.a2022.0054. Epub 2022 Jun 13.
7
The effects of genital myiasis on the diversity of the vaginal microbiota in female Bactrian camels.生殖器蝇蛆病对雌性双峰驼阴道微生物群落多样性的影响。
BMC Vet Res. 2022 Mar 5;18(1):87. doi: 10.1186/s12917-022-03189-5.
8
Developmental characteristics of aggregated lymphoid nodules area in the abomasum of fetal Bactrian camels (Camelus bactrianus).胎儿双峰驼(Camelus bactrianus)皱胃中集合淋巴小结区的发育特征。
BMC Vet Res. 2024 Apr 25;20(1):157. doi: 10.1186/s12917-024-04000-3.
9
Comparative analysis of fecal microbial communities in cattle and Bactrian camels.牛和双峰驼粪便微生物群落的比较分析。
PLoS One. 2017 Mar 16;12(3):e0173062. doi: 10.1371/journal.pone.0173062. eCollection 2017.
10
Morphological characterization of gland cells of the glandular sac area in the complex stomach of the Bactrian camel (Camelus bactrianus).双峰驼(Camelus bactrianus)复合胃腺囊区腺细胞的形态学特征
Anat Histol Embryol. 1999 Jul;28(3):183-91. doi: 10.1046/j.1439-0264.1999.00185.x.

本文引用的文献

1
Mechanisms and regulation of defensins in host defense.防御素在宿主防御中的作用机制和调控。
Signal Transduct Target Ther. 2023 Aug 14;8(1):300. doi: 10.1038/s41392-023-01553-x.
2
Long-term outcomes of fornix reconstruction and cicatricial entropion repair in ocular mucous membrane pemphigoid and drug-related secondary pemphigoid.眼黏膜类天疱疮和药物相关性类天疱疮患者穹窿重建和瘢痕性睑内翻修复的长期疗效。
Can J Ophthalmol. 2024 Jun;59(3):e200-e205. doi: 10.1016/j.jcjo.2023.03.009. Epub 2023 Apr 4.
3
Microecosystem of yak rumen on the Qinghai-Tibetan Plateau is stable and is unaffected by soil or grass microbiota.
青藏高原牦牛瘤胃的微生态系统是稳定的,不受土壤或牧草微生物群的影响。
Environ Microbiol. 2022 Dec;24(12):5760-5773. doi: 10.1111/1462-2920.16236. Epub 2022 Oct 17.
4
Gut microbiome and prostate cancer.肠道微生物组与前列腺癌。
Int J Urol. 2022 Aug;29(8):793-798. doi: 10.1111/iju.14894. Epub 2022 Apr 6.
5
The Gut Microbiota in Inflammatory Bowel Disease.肠道微生物群与炎症性肠病。
Front Cell Infect Microbiol. 2022 Feb 22;12:733992. doi: 10.3389/fcimb.2022.733992. eCollection 2022.
6
Shifts in xylanases and the microbial community associated with xylan biodegradation during treatment with rumen fluid.木聚糖酶和与木聚糖生物降解相关的微生物群落随着瘤胃液处理的进行而发生变化。
Microb Biotechnol. 2022 Jun;15(6):1729-1743. doi: 10.1111/1751-7915.13988. Epub 2021 Dec 28.
7
Probiotics Regulate Gut Microbiota: An Effective Method to Improve Immunity.益生菌调节肠道菌群:改善免疫的有效方法。
Molecules. 2021 Oct 8;26(19):6076. doi: 10.3390/molecules26196076.
8
Innate Lymphoid Cells in Intestinal Homeostasis and Inflammatory Bowel Disease.固有淋巴细胞在肠道稳态和炎症性肠病中的作用。
Int J Mol Sci. 2021 Jul 16;22(14):7618. doi: 10.3390/ijms22147618.
9
The rumen microbiome: balancing food security and environmental impacts.瘤胃微生物组:平衡粮食安全与环境影响。
Nat Rev Microbiol. 2021 Sep;19(9):553-566. doi: 10.1038/s41579-021-00543-6. Epub 2021 May 12.
10
Anti-Inflammatory and Immunomodulatory Effects of Probiotics in Gut Inflammation: A Door to the Body.益生菌在肠道炎症中的抗炎和免疫调节作用:通往身体的一扇门。
Front Immunol. 2021 Feb 26;12:578386. doi: 10.3389/fimmu.2021.578386. eCollection 2021.