Koiwa Sora, Koba Takeshi, Tsunoda Toshiharu, Nakajima Koji, Kokubo Yoshiyasu, Hara Nobuhiro
Department of Orthopaedic Surgery, Asama General Hospital, Nagano, Japan.
Department of Orthopaedic Surgery, Musashino Red Cross Hospital, Tokyo, Japan.
J Hand Surg Glob Online. 2024 Feb 1;6(3):281-288. doi: 10.1016/j.jhsg.2023.12.007. eCollection 2024 May.
This retrospective study aimed to compare the clinical outcomes and complications of conventional tension band wire (TBW), TBW with penetrating technique, and double-bending technique.
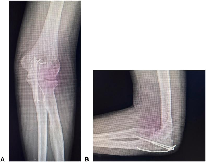
A total of 40 patients (17 men and 23 women; mean age: 64.0 ± 19.0 years) who underwent surgery for displaced olecranon fractures between January 2018 and December 2021 were included and divided into three groups based on the surgical method used (group A, conventional TBW; group B, TBW with penetrating technique; and group C, double-bending technique). Thirteen patients were assigned to group A, 17 to group B, and 10 to group C, including 2 Mayo type IB, 30 Mayo type IIA, and 8 Mayo type IIB fractures. Postoperative outcomes (elbow extension and flexion arc) and complications, such as backing out of the Kirschner wire (K-wire), were retrospectively evaluated.
No significant difference was found in the general characteristics of the patients and fracture type among the three groups. The mean elbow extension arc values were 6.2°, 10.9°, and 0° in groups A, B, and C, respectively; it was significantly better in group C than in group B ( = .001). The rates of backing out of the K-wire were 84.6% (11/13) in group A, 41.2% (7/17) in group B, and 0% (0/10) in group C; the rate was significantly lower in group C than in group A ( < .001).
The double-bending technique may be the best procedure for preventing the backing out of the K-wire and postoperative complications, such as range of motion restriction, for treating olecranon fractures that are treatable by TBW.
TYPE OF STUDY/LEVEL OF EVIDENCE: Therapeutic IV.
本回顾性研究旨在比较传统张力带钢丝(TBW)、穿透技术张力带钢丝和双弯曲技术的临床疗效及并发症。
纳入2018年1月至2021年12月期间因尺骨鹰嘴骨折移位接受手术的40例患者(17例男性和23例女性;平均年龄:64.0±19.0岁),根据所采用的手术方法分为三组(A组,传统TBW;B组,穿透技术张力带钢丝;C组,双弯曲技术)。A组13例患者,B组17例患者,C组10例患者,包括2例梅奥I B型、30例梅奥II A型和8例梅奥II B型骨折。回顾性评估术后结果(肘关节伸展和屈曲弧度)及并发症,如克氏针退出。
三组患者的一般特征和骨折类型无显著差异。A组、B组和C组的平均肘关节伸展弧度值分别为6.2°、10.9°和0°;C组明显优于B组(P = 0.001)。A组克氏针退出率为84.6%(11/13),B组为41.2%(7/17),C组为0%(0/10);C组的发生率明显低于A组(P < 0.001)。
对于可采用TBW治疗的尺骨鹰嘴骨折,双弯曲技术可能是预防克氏针退出及术后并发症(如活动范围受限)的最佳手术方法。
研究类型/证据水平:治疗性IV级。