• 文献检索
  • 文档翻译
  • 深度研究
  • 学术资讯
  • Suppr Zotero 插件Zotero 插件
  • 邀请有礼
  • 套餐&价格
  • 历史记录
应用&插件
Suppr Zotero 插件Zotero 插件浏览器插件Mac 客户端Windows 客户端微信小程序
定价
高级版会员购买积分包购买API积分包
服务
文献检索文档翻译深度研究API 文档MCP 服务
关于我们
关于 Suppr公司介绍联系我们用户协议隐私条款
关注我们

Suppr 超能文献

核心技术专利:CN118964589B侵权必究
粤ICP备2023148730 号-1Suppr @ 2026

文献检索

告别复杂PubMed语法,用中文像聊天一样搜索,搜遍4000万医学文献。AI智能推荐,让科研检索更轻松。

立即免费搜索

文件翻译

保留排版,准确专业,支持PDF/Word/PPT等文件格式,支持 12+语言互译。

免费翻译文档

深度研究

AI帮你快速写综述,25分钟生成高质量综述,智能提取关键信息,辅助科研写作。

立即免费体验

左心室心肌致密化不全表型:原因还是结果?

Left Ventricle Noncompaction Phenotype: Cause or Consequence?

作者信息

Casavecchia Grazia, Gravina Matteo, Mautone Francesco, Pesolo Maurizio, Mangini Francesco, Macarini Luca, Brunetti Natale Daniele

机构信息

Department of Medical and Surgical Sciences, University of Foggia, 71122 Foggia, Italy.

ICU/Cardiology Unit, "Camberlingo" Hospital, Francavilla Fontana, Brindisi, Italy.

出版信息

J Cardiovasc Echogr. 2024 Jan-Mar;34(1):25-28. doi: 10.4103/jcecho.jcecho_30_22. Epub 2024 Apr 26.

DOI:10.4103/jcecho.jcecho_30_22
PMID:38818316
原文链接:https://pmc.ncbi.nlm.nih.gov/articles/PMC11135822/
Abstract

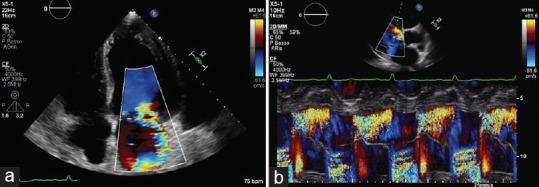
Left ventricular noncompaction (LVNC) is commonly described as a congenital cardiomyopathy characterized by prominent myocardial trabeculae and deep intertrabecular recesses extending in the left ventricular chamber. Clinical presentation can differ considerably from asymptomatic individuals to those presenting with heart failure and other serious complications. Diagnosis is usually made by two-dimensional transthoracic echocardiography or cardiac magnetic resonance. Moreover, even if strain parameters are significantly reduced in patients with LVNC, they are not routinely investigated. Here, we report the case of a previously symptomless patient admitted to the hospital for pulmonary edema. Two-dimensional transthoracic echocardiography showed severe valvular heart disease and left ventricle pronounced trabeculation and remodeling, although speckle tracking echocardiography (STE) demonstrated only mild strain reduction. We, therefore, explore the possibility that STE may be useful to differentiate LVNC cardiomyopathy from LVNC phenotype due to severe remodeling.

摘要

左心室心肌致密化不全(LVNC)通常被描述为一种先天性心肌病,其特征是左心室腔内有突出的心肌小梁和深陷的小梁间隐窝。临床表现从无症状个体到出现心力衰竭和其他严重并发症的个体差异很大。诊断通常通过二维经胸超声心动图或心脏磁共振成像进行。此外,即使LVNC患者的应变参数显著降低,也不会对其进行常规研究。在此,我们报告一例既往无症状的患者因肺水肿入院。二维经胸超声心动图显示严重瓣膜性心脏病以及左心室明显的小梁形成和重塑,尽管斑点追踪超声心动图(STE)仅显示轻度应变降低。因此,我们探讨STE是否有助于区分LVNC心肌病与因严重重塑导致的LVNC表型的可能性。

https://cdn.ncbi.nlm.nih.gov/pmc/blobs/6db3/11135822/aacbc21cc010/JCE-34-25-g003.jpg
https://cdn.ncbi.nlm.nih.gov/pmc/blobs/6db3/11135822/2b4306402dea/JCE-34-25-g001.jpg
https://cdn.ncbi.nlm.nih.gov/pmc/blobs/6db3/11135822/c811341a4632/JCE-34-25-g002.jpg
https://cdn.ncbi.nlm.nih.gov/pmc/blobs/6db3/11135822/aacbc21cc010/JCE-34-25-g003.jpg
https://cdn.ncbi.nlm.nih.gov/pmc/blobs/6db3/11135822/2b4306402dea/JCE-34-25-g001.jpg
https://cdn.ncbi.nlm.nih.gov/pmc/blobs/6db3/11135822/c811341a4632/JCE-34-25-g002.jpg
https://cdn.ncbi.nlm.nih.gov/pmc/blobs/6db3/11135822/aacbc21cc010/JCE-34-25-g003.jpg

相似文献

1
Left Ventricle Noncompaction Phenotype: Cause or Consequence?左心室心肌致密化不全表型:原因还是结果?
J Cardiovasc Echogr. 2024 Jan-Mar;34(1):25-28. doi: 10.4103/jcecho.jcecho_30_22. Epub 2024 Apr 26.
2
Identification of left ventricular "rigid body rotation" by three-dimensional speckle-tracking echocardiography in a patient with noncompaction of the left ventricle: a case from the MAGYAR-Path Study.三维斑点追踪超声心动图识别左心室致密化不全患者的左心室“刚体旋转”:MAGYAR-Path研究中的一例病例
Echocardiography. 2012 Oct;29(9):E237-40. doi: 10.1111/j.1540-8175.2012.01767.x. Epub 2012 Jul 2.
3
Genetic disorder or toxoplasma myocarditis: a case report of dilated cardiomyopathy with hypertrabeculation in a young asymptomatic woman.遗传性疾病或弓形虫性心肌炎:一名年轻无症状女性扩张型心肌病伴心肌小梁增多的病例报告
J Med Life. 2012 Feb 22;5(1):110-3. Epub 2012 Mar 5.
4
Left Ventricular Noncompaction Is Associated with Valvular Regurgitation and a Variety of Arrhythmias.左心室心肌致密化不全与瓣膜反流及多种心律失常相关。
J Cardiovasc Dev Dis. 2022 Feb 2;9(2):49. doi: 10.3390/jcdd9020049.
5
Left ventricular noncompaction cardiomyopathy: a case report and literature review.左心室致密化不全心肌病:一例病例报告及文献综述
Int J Clin Exp Med. 2014 Dec 15;7(12):5130-3. eCollection 2014.
6
Cardiac Segmental Strain Analysis in Pediatric Left Ventricular Noncompaction Cardiomyopathy.儿科左室心肌致密化不全的心肌节段应变分析。
J Am Soc Echocardiogr. 2019 Jun;32(6):763-773.e1. doi: 10.1016/j.echo.2019.01.014. Epub 2019 Mar 26.
7
A Review of Left Ventricular Non-compaction Cardiomyopathy (LVNC).左心室致密化不全心肌病(LVNC)综述
J Community Hosp Intern Med Perspect. 2022 Nov 7;12(6):51-63. doi: 10.55729/2000-9666.1120. eCollection 2022.
8
Isolated left ventricular noncompaction with a congenital aneurysm presenting with recurrent embolism.孤立性左心室心肌致密化不全合并先天性动脉瘤伴反复栓塞。
J Cardiovasc Ultrasound. 2012 Jun;20(2):103-7. doi: 10.4250/jcu.2012.20.2.103. Epub 2012 Jun 25.
9
Imaging Features of Pediatric Left Ventricular Noncompaction Cardiomyopathy in Echocardiography and Cardiovascular Magnetic Resonance.小儿左心室心肌致密化不全心肌病的超声心动图及心血管磁共振成像特征
J Cardiovasc Dev Dis. 2022 Mar 5;9(3):77. doi: 10.3390/jcdd9030077.
10
Left ventricular noncompaction cardiomyopathy in end-stage heart failure patients undergoing orthotopic heart transplantation.接受原位心脏移植的终末期心力衰竭患者的左心室心肌致密化不全心肌病
Cardiovasc Pathol. 2016 Jul-Aug;25(4):293-299. doi: 10.1016/j.carpath.2016.03.004. Epub 2016 Mar 30.

本文引用的文献

1
Left Ventricular Non-Compaction Cardiomyopathy-Still More Questions than Answers.左心室致密化不全心肌病——问题仍多于答案。
J Clin Med. 2022 Jul 16;11(14):4135. doi: 10.3390/jcm11144135.
2
Defects in Trabecular Development Contribute to Left Ventricular Noncompaction.小梁发育缺陷导致左心室心肌致密化不全。
Pediatr Cardiol. 2019 Oct;40(7):1331-1338. doi: 10.1007/s00246-019-02161-9. Epub 2019 Jul 24.
3
A systematic review and meta-analysis of the prevalence of left ventricular non-compaction in adults.成人左心室心肌致密化不全患病率的系统评价与荟萃分析。
Eur Heart J. 2020 Apr 7;41(14):1428-1436. doi: 10.1093/eurheartj/ehz317.
4
Cardiac Segmental Strain Analysis in Pediatric Left Ventricular Noncompaction Cardiomyopathy.儿科左室心肌致密化不全的心肌节段应变分析。
J Am Soc Echocardiogr. 2019 Jun;32(6):763-773.e1. doi: 10.1016/j.echo.2019.01.014. Epub 2019 Mar 26.
5
[Not Available].[无可用内容]。
Kardiologiia. 2018 Dec 14;58(11S):33-45. doi: 10.18087/cardio.2558.
6
Characterization of the dynamic changes in left ventricular morphology and function induced by exercise training and detraining.运动训练和停训诱导左心室形态和功能动态变化的特征。
Int J Cardiol. 2019 Feb 15;277:178-185. doi: 10.1016/j.ijcard.2018.10.092. Epub 2018 Nov 1.
7
Left Ventricular Trabeculations in Athletes: Epiphenomenon or Phenotype of Disease?运动员左心室小梁化:是偶发现象还是疾病表型?
Curr Treat Options Cardiovasc Med. 2018 Oct 26;20(12):100. doi: 10.1007/s11936-018-0698-8.
8
Left Ventricular Noncompaction: From Physiologic Remodeling to Noncompaction Cardiomyopathy.左心室心肌致密化不全:从生理性重塑到致密化不全性心肌病
J Am Coll Cardiol. 2018 Feb 20;71(7):723-726. doi: 10.1016/j.jacc.2017.12.031.
9
Genetics, Clinical Features, and Long-Term Outcome of Noncompaction Cardiomyopathy.非致密性心肌病的遗传学、临床特征和长期预后。
J Am Coll Cardiol. 2018 Feb 20;71(7):711-722. doi: 10.1016/j.jacc.2017.12.019.
10
Relationship between the left ventricular size and the amount of trabeculations.左心室大小与小梁数量之间的关系。
Int J Numer Method Biomed Eng. 2018 Mar;34(3). doi: 10.1002/cnm.2939. Epub 2017 Dec 1.