Suppr超能文献

经食管三维超声心动图在感染性心内膜炎中的应用:它能提供哪些额外信息?

Three-dimensional Transesophageal Echocardiography in Infective Endocarditis: What Does It Add?

作者信息

Sordelli Chiara, Weisz Sara Hana, Fele Nunzia, Verde Raffaele, Guarino Angela, Perrella Alessandro, Severino Laura, Severino Corrado, Severino Sergio

机构信息

Infectious Cardiology Disease Unit, Ospedale Cotugno, Naples, Italy.

Department of Infectious Disease, Ospedale Cotugno, Naples, Italy.

出版信息

J Cardiovasc Echogr. 2024 Jan-Mar;34(1):1-6. doi: 10.4103/jcecho.jcecho_80_23. Epub 2024 Apr 26.

Abstract

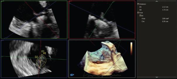
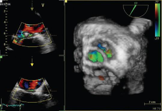
Infective endocarditis (IE) diagnosis is based on a clinical suspicion supported by consistent microbiological and instrumental data. Evidence of involvement of cardiac valves (native or prosthetic) or prosthetic intracardiac material is a major diagnostic criterion of IE. Transthoracic echocardiography (TTE) is the initial technique of choice for the diagnosis while transesophageal echocardiography (TEE) is recommended in patients with an inconclusive or negative TTE, in patients with high suspicion of IE, as well as in patients with a positive TTE, in order to document local complications. Repeating TTE and/or TEE should be considered during follow-up of uncomplicated IE, in order to detect new silent complications and monitor vegetation size. In the setting of IE, the role of three-dimensional (3D) TEE is increasing; in fact, this technique has also been shown to be useful for the diagnosis of IE and its complications as it allows to obtain infinite planes and volumetric reconstructions. In this review, we will describe the usefulness of 3D-TEE and its added value in the management of IE.

摘要

感染性心内膜炎(IE)的诊断基于临床怀疑,并辅以一致的微生物学和影像学数据。心脏瓣膜(天然或人工)或人工心内材料受累的证据是IE的主要诊断标准。经胸超声心动图(TTE)是诊断的首选初始技术,而对于TTE结果不确定或为阴性的患者、高度怀疑IE的患者以及TTE结果为阳性的患者,推荐行经食管超声心动图(TEE)检查,以记录局部并发症。对于无并发症的IE患者,在随访期间应考虑重复进行TTE和/或TEE检查,以便发现新的隐匿性并发症并监测赘生物大小。在IE的情况下,三维(3D)TEE的作用越来越大;事实上,该技术也已被证明对IE及其并发症的诊断有用,因为它可以获得无限平面和容积重建。在本综述中,我们将描述3D-TEE的实用性及其在IE管理中的附加价值。

https://cdn.ncbi.nlm.nih.gov/pmc/blobs/eb14/11135816/3c3285429798/JCE-34-1-g003.jpg

文献AI研究员

20分钟写一篇综述,助力文献阅读效率提升50倍。

立即体验

用中文搜PubMed

大模型驱动的PubMed中文搜索引擎

马上搜索

文档翻译

学术文献翻译模型,支持多种主流文档格式。

立即体验