• 文献检索
  • 文档翻译
  • 深度研究
  • 学术资讯
  • Suppr Zotero 插件Zotero 插件
  • 邀请有礼
  • 套餐&价格
  • 历史记录
应用&插件
Suppr Zotero 插件Zotero 插件浏览器插件Mac 客户端Windows 客户端微信小程序
定价
高级版会员购买积分包购买API积分包
服务
文献检索文档翻译深度研究API 文档MCP 服务
关于我们
关于 Suppr公司介绍联系我们用户协议隐私条款
关注我们

Suppr 超能文献

核心技术专利:CN118964589B侵权必究
粤ICP备2023148730 号-1Suppr @ 2026

文献检索

告别复杂PubMed语法,用中文像聊天一样搜索,搜遍4000万医学文献。AI智能推荐,让科研检索更轻松。

立即免费搜索

文件翻译

保留排版,准确专业,支持PDF/Word/PPT等文件格式,支持 12+语言互译。

免费翻译文档

深度研究

AI帮你快速写综述,25分钟生成高质量综述,智能提取关键信息,辅助科研写作。

立即免费体验

使用同侧肩胛冈的三层皮质自体骨移植进行关节镜下后骨块稳定术。

Arthroscopic Posterior Bone Block Stabilization Using a Tricortical Autograft of the Ipsilateral Scapular Spine.

作者信息

Schlüßler Antonia, Martinez-Ulloa Aaron, Moroder Philipp, Scheibel Markus

机构信息

Schulthess Clinic, Zurich, Switzerland.

University Hospital Carl Gustav Carus Dresden, Dresden, Germany.

出版信息

Arthrosc Tech. 2024 Feb 19;13(5):102933. doi: 10.1016/j.eats.2024.102933. eCollection 2024 May.

DOI:10.1016/j.eats.2024.102933
PMID:38835461
原文链接:https://pmc.ncbi.nlm.nih.gov/articles/PMC11144806/
Abstract

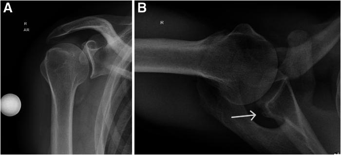
Posterior bone grafting represents an emerging therapeutic approach for addressing recurrent instability in the posterior shoulder, particularly when coupled with substantial glenoid bone loss. Although not as prevalent as anterior instability, recent years have witnessed the development of numerous open and arthroscopic bony reconstruction methods. A technical gold standard for posterior bone grafting remains undefined, leading to ongoing advancements in bone grafting techniques. In response to past challenges associated with screw fixation, metal-free arthroscopic fixation procedures have been introduced to the realm of bone grafting. These metal-free methods often entail intricate transglenoid drilling, which poses potential surgical complexities and risks to both posterior and anterior soft tissues, as well as neurovascular structures. Therefore, we introduce an arthroscopic approach to posterior bone grafting using PEEK (polyether ether ketone) anchors with interconnected sutures and a scapular spine autograft. This method overcomes previous hurdles by facilitating the restoration of the posterior glenoid bone stock with precise positioning and secure fixation of the tricortical scapular spine bone autograft.

摘要

后路植骨是一种新兴的治疗方法,用于解决后肩部复发性不稳定问题,尤其是在合并严重肩胛盂骨缺损时。虽然不如前向不稳定那么常见,但近年来已经出现了许多开放和关节镜下的骨重建方法。后路植骨的技术金标准尚未明确,这导致植骨技术不断进步。为应对过去与螺钉固定相关的挑战,无金属关节镜固定手术已被引入植骨领域。这些无金属方法通常需要复杂的经肩胛盂钻孔,这对前后软组织以及神经血管结构都带来了潜在的手术复杂性和风险。因此,我们介绍一种使用聚醚醚酮(PEEK)锚钉和相互连接的缝线以及肩胛冈自体骨移植的关节镜下后路植骨方法。该方法通过精确放置和牢固固定三皮质肩胛冈自体骨移植来促进肩胛盂骨量的恢复,从而克服了以往的障碍。

https://cdn.ncbi.nlm.nih.gov/pmc/blobs/a210/11144806/d22dcc2dceca/gr6.jpg
https://cdn.ncbi.nlm.nih.gov/pmc/blobs/a210/11144806/7f1476c1ec11/gr1.jpg
https://cdn.ncbi.nlm.nih.gov/pmc/blobs/a210/11144806/e1072f22596c/gr2.jpg
https://cdn.ncbi.nlm.nih.gov/pmc/blobs/a210/11144806/56961dedcdb1/gr3.jpg
https://cdn.ncbi.nlm.nih.gov/pmc/blobs/a210/11144806/90123b207f14/gr4.jpg
https://cdn.ncbi.nlm.nih.gov/pmc/blobs/a210/11144806/52e7c52296ff/gr5.jpg
https://cdn.ncbi.nlm.nih.gov/pmc/blobs/a210/11144806/d22dcc2dceca/gr6.jpg
https://cdn.ncbi.nlm.nih.gov/pmc/blobs/a210/11144806/7f1476c1ec11/gr1.jpg
https://cdn.ncbi.nlm.nih.gov/pmc/blobs/a210/11144806/e1072f22596c/gr2.jpg
https://cdn.ncbi.nlm.nih.gov/pmc/blobs/a210/11144806/56961dedcdb1/gr3.jpg
https://cdn.ncbi.nlm.nih.gov/pmc/blobs/a210/11144806/90123b207f14/gr4.jpg
https://cdn.ncbi.nlm.nih.gov/pmc/blobs/a210/11144806/52e7c52296ff/gr5.jpg
https://cdn.ncbi.nlm.nih.gov/pmc/blobs/a210/11144806/d22dcc2dceca/gr6.jpg

相似文献

1
Arthroscopic Posterior Bone Block Stabilization Using a Tricortical Autograft of the Ipsilateral Scapular Spine.使用同侧肩胛冈的三层皮质自体骨移植进行关节镜下后骨块稳定术。
Arthrosc Tech. 2024 Feb 19;13(5):102933. doi: 10.1016/j.eats.2024.102933. eCollection 2024 May.
2
Arthroscopic Anterior Glenoid Bone Grafting for Shoulder Instability Using an Interconnected Suture Anchor Technique.关节镜下使用互连缝线锚定技术进行前盂骨移植治疗肩关节不稳
Arthrosc Tech. 2022 Sep 17;11(10):e1817-e1822. doi: 10.1016/j.eats.2022.06.019. eCollection 2022 Oct.
3
Arthroscopic Bone Block Cerclage Technique Using a Tricortical Scapular Spine Autograft for Glenoid Reconstruction in Patients With Anterior Shoulder Instability.关节镜下使用三皮质肩胛冈自体骨块环扎技术治疗前肩关节不稳患者的盂肱关节重建术
Arthrosc Tech. 2022 Feb 18;11(3):e379-e383. doi: 10.1016/j.eats.2021.11.004. eCollection 2022 Mar.
4
Arthroscopic, Implant-Free Bone-Grafting for Shoulder Instability with Glenoid Bone Loss.关节镜下无植入物骨移植治疗伴有肩胛盂骨缺损的肩关节不稳
JBJS Essent Surg Tech. 2020 Mar 23;10(1). doi: 10.2106/JBJS.ST.18.00109. eCollection 2020 Jan-Mar.
5
Arthroscopic Glenoid Reconstruction for Chronic Anteroinferior Shoulder Instability Using a Tricortical Iliac Crest Bone Graft.使用三皮质髂嵴骨移植进行关节镜下盂重建治疗慢性前下肩部不稳
JBJS Essent Surg Tech. 2016 Nov 23;6(4):e39. doi: 10.2106/JBJS.ST.16.00080. eCollection 2016 Dec 28.
6
Glenoid Bone-Grafting in Revision to a Reverse Total Shoulder Arthroplasty: Surgical Technique.翻修至反式全肩关节置换术中的肩胛盂骨移植:手术技术
JBJS Essent Surg Tech. 2016 Oct 12;6(4):e35. doi: 10.2106/JBJS.ST.15.00023. eCollection 2016 Dec 28.
7
Arthroscopic bone graft procedure for anterior inferior glenohumeral instability.关节镜下骨移植手术治疗肩肱关节前下不稳定
Arthrosc Tech. 2014 Nov 3;3(6):e653-60. doi: 10.1016/j.eats.2014.08.002. eCollection 2014 Dec.
8
Arthroscopic Bone Block Cerclage Suture Fixation of Fresh Distal Tibial Allograft for Anterior Glenoid Reconstruction.关节镜下骨块环扎缝合固定新鲜异体胫骨远端用于前盂重建
Arthrosc Tech. 2023 Oct 11;12(11):e1955-e1961. doi: 10.1016/j.eats.2023.07.014. eCollection 2023 Nov.
9
Arthroscopic Iliac Bone Block Augmentation for Glenoid Reconstruction: Transglenoid Fixation Technique Using an All-Suture Anchor.关节镜下髂骨块增强用于肩胛盂重建:使用全缝线锚钉的经肩胛盂固定技术
Arthrosc Tech. 2020 Feb 17;9(3):e351-e356. doi: 10.1016/j.eats.2019.11.009. eCollection 2020 Mar.
10
Arthroscopic Iliac Crest Bone Graft Augmentation Using All-Suture Anchors for Shoulder Instability Caused by Glenoid Bone Loss.使用全缝线锚钉进行关节镜下髂嵴骨移植增强术治疗因肩胛盂骨缺损导致的肩关节不稳
Arthrosc Tech. 2021 Nov 16;10(12):e2709-e2715. doi: 10.1016/j.eats.2021.08.014. eCollection 2021 Dec.

本文引用的文献

1
Arthroscopic Anterior Glenoid Bone Grafting for Shoulder Instability Using an Interconnected Suture Anchor Technique.关节镜下使用互连缝线锚定技术进行前盂骨移植治疗肩关节不稳
Arthrosc Tech. 2022 Sep 17;11(10):e1817-e1822. doi: 10.1016/j.eats.2022.06.019. eCollection 2022 Oct.
2
Open and arthroscopic posterior bone block with iliac crest autograft for posterior shoulder instability - systematic review of clinical and radiological outcomes.关节镜下及开放后路髂嵴骨块自体移植治疗复发性肩关节后向不稳:临床与影像学结果的系统评价
Orthop Traumatol Surg Res. 2023 Jun;109(4):103424. doi: 10.1016/j.otsr.2022.103424. Epub 2022 Sep 28.
3
Arthroscopic Bone Block Cerclage Technique Using a Tricortical Scapular Spine Autograft for Glenoid Reconstruction in Patients With Anterior Shoulder Instability.
关节镜下使用三皮质肩胛冈自体骨块环扎技术治疗前肩关节不稳患者的盂肱关节重建术
Arthrosc Tech. 2022 Feb 18;11(3):e379-e383. doi: 10.1016/j.eats.2021.11.004. eCollection 2022 Mar.
4
Arthroscopic bone block metal-free fixation for anterior shoulder instability. Short-term functional and radiological outcomes.关节镜下无金属骨块固定治疗前肩不稳。短期功能和影像学结果。
Rev Esp Cir Ortop Traumatol. 2022 Jul-Aug;66(4):281-289. doi: 10.1016/j.recot.2021.05.007. Epub 2021 Jul 31.
5
Bone Block Augmentation of the Posterior Glenoid for Recurrent Posterior Shoulder Instability Is Associated With High Rates of Clinical Failure: A Systematic Review.骨块增强后盂对于复发性肩关节后向不稳定的临床失败率高:系统评价。
Arthroscopy. 2022 Feb;38(2):551-563.e5. doi: 10.1016/j.arthro.2021.07.018. Epub 2021 Jul 29.
6
Posterior glenoid bone block transfer for posterior shoulder instability: a systematic review.后盂肱骨块转移治疗肩关节后向不稳定:系统评价。
J Shoulder Elbow Surg. 2021 Dec;30(12):2904-2909. doi: 10.1016/j.jse.2021.06.013. Epub 2021 Jul 21.
7
Arthroscopic Autologous Scapular Spine Bone Graft Combined With Bankart Repair for Anterior Shoulder Instability With Subcritical (10%-15%) Glenoid Bone Loss.关节镜下自体肩胛冈骨移植联合 Bankart 修复治疗伴临界下(10%-15%)盂骨缺损的肩关节前向不稳定
Arthroscopy. 2021 Jul;37(7):2065-2074. doi: 10.1016/j.arthro.2021.01.061. Epub 2021 Feb 10.
8
Restoration of the Posterior Glenoid in Recurrent Posterior Shoulder Instability Using an Arthroscopically Placed Iliac Crest Bone Graft: A Computed Tomography-Based Analysis.使用关节镜下放置的髂嵴骨移植修复复发性后肩关节不稳中的后肩胛盂:基于计算机断层扫描的分析
Orthop J Sports Med. 2021 Jan 26;9(1):2325967120976378. doi: 10.1177/2325967120976378. eCollection 2021 Jan.
9
Acceptable Long-Term Outcomes of Arthroscopic Bone Grafting for Recurrent Posterior Shoulder Instability: Minimum Follow-Up of 5 Years.关节镜下骨移植治疗复发性肩关节后向不稳定的可接受长期疗效:至少 5 年随访。
Arthroscopy. 2021 Mar;37(3):816-823. doi: 10.1016/j.arthro.2020.10.052. Epub 2020 Dec 29.
10
Arthroscopic "Bone Block Cerclage" Technique for Posterior Shoulder Instability.关节镜下“骨块环扎”技术治疗后肩关节不稳
Arthrosc Tech. 2020 Jul 23;9(8):e1171-e1180. doi: 10.1016/j.eats.2020.04.017. eCollection 2020 Aug.