• 文献检索
  • 文档翻译
  • 深度研究
  • 学术资讯
  • Suppr Zotero 插件Zotero 插件
  • 邀请有礼
  • 套餐&价格
  • 历史记录
应用&插件
Suppr Zotero 插件Zotero 插件浏览器插件Mac 客户端Windows 客户端微信小程序
定价
高级版会员购买积分包购买API积分包
服务
文献检索文档翻译深度研究API 文档MCP 服务
关于我们
关于 Suppr公司介绍联系我们用户协议隐私条款
关注我们

Suppr 超能文献

核心技术专利:CN118964589B侵权必究
粤ICP备2023148730 号-1Suppr @ 2026

文献检索

告别复杂PubMed语法,用中文像聊天一样搜索,搜遍4000万医学文献。AI智能推荐,让科研检索更轻松。

立即免费搜索

文件翻译

保留排版,准确专业,支持PDF/Word/PPT等文件格式,支持 12+语言互译。

免费翻译文档

深度研究

AI帮你快速写综述,25分钟生成高质量综述,智能提取关键信息,辅助科研写作。

立即免费体验

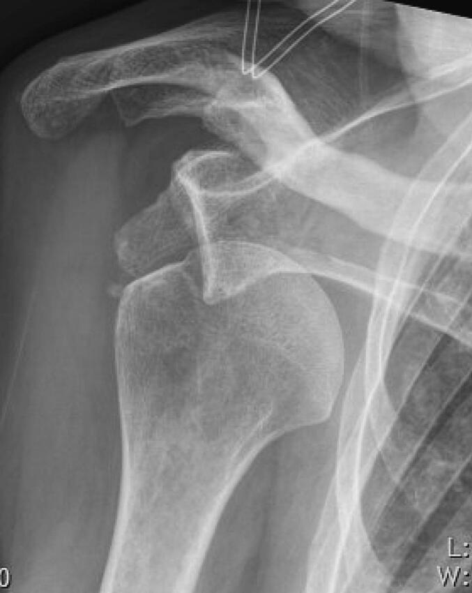
因肩关节脱位闭合复位导致前臂广泛皮肤撕裂伤。病例报告。

Extensive skin laceration on the forearm due to closed reduction of a dislocated shoulder. A case report.

作者信息

Cristina Luca, Nyffeler Richard W

机构信息

Orthopädie Sonnenhof KLG, Bern, Switzerland.

Campus Stiftung Lindenhof Bern (Campus SLB), Bern, Switzerland.

出版信息

Trauma Case Rep. 2024 Mar 26;51:101001. doi: 10.1016/j.tcr.2024.101001. eCollection 2024 Jun.

DOI:10.1016/j.tcr.2024.101001
PMID:38835528
原文链接:https://pmc.ncbi.nlm.nih.gov/articles/PMC11148510/
Abstract

We report the case of an 80-year-old man who suffered an anteroinferior shoulder dislocation with rupture of the rotator cuff following a fall. An attempt at closed reduction under analgosedation resulted in extensive skin laceration on the elbow and forearm. The wound treatment was complex and resulted in numerous complications.

摘要

我们报告了一例80岁男性病例,该患者在跌倒后发生了肩前下脱位并伴有肩袖破裂。在镇痛镇静下尝试进行闭合复位,结果导致肘部和前臂出现大面积皮肤撕裂伤。伤口处理复杂,引发了诸多并发症。

https://cdn.ncbi.nlm.nih.gov/pmc/blobs/8002/11148510/e074bbcd5605/gr4.jpg
https://cdn.ncbi.nlm.nih.gov/pmc/blobs/8002/11148510/e7693d332452/gr1.jpg
https://cdn.ncbi.nlm.nih.gov/pmc/blobs/8002/11148510/38b01a1dd3ec/gr2.jpg
https://cdn.ncbi.nlm.nih.gov/pmc/blobs/8002/11148510/1646f23a17f4/gr3.jpg
https://cdn.ncbi.nlm.nih.gov/pmc/blobs/8002/11148510/e074bbcd5605/gr4.jpg
https://cdn.ncbi.nlm.nih.gov/pmc/blobs/8002/11148510/e7693d332452/gr1.jpg
https://cdn.ncbi.nlm.nih.gov/pmc/blobs/8002/11148510/38b01a1dd3ec/gr2.jpg
https://cdn.ncbi.nlm.nih.gov/pmc/blobs/8002/11148510/1646f23a17f4/gr3.jpg
https://cdn.ncbi.nlm.nih.gov/pmc/blobs/8002/11148510/e074bbcd5605/gr4.jpg

相似文献

1
Extensive skin laceration on the forearm due to closed reduction of a dislocated shoulder. A case report.因肩关节脱位闭合复位导致前臂广泛皮肤撕裂伤。病例报告。
Trauma Case Rep. 2024 Mar 26;51:101001. doi: 10.1016/j.tcr.2024.101001. eCollection 2024 Jun.
2
Posterosuperior shoulder dislocation due to the rupture of deltoid posterior fibers: a case report.肩后上方脱位由于三角肌后纤维破裂:病例报告。
BMC Musculoskelet Disord. 2019 Jul 27;20(1):345. doi: 10.1186/s12891-019-2727-5.
3
Acute massive rotator cuff rupture with posterior shoulder dislocation: arthroscopic novel repair of a rare injury. A case report.急性巨大肩袖撕裂伴肩关节后脱位:一种罕见损伤的关节镜下新型修复。病例报告。
J ISAKOS. 2021 Nov;6(6):375-379. doi: 10.1136/jisakos-2020-000553. Epub 2021 Jun 16.
4
A Rare Case of Rotator Cuff Interposition Causing Humeral Head Subluxation Following Anterior Shoulder Dislocation.一例罕见的肩袖嵌顿导致肩关节前脱位后肱骨头半脱位病例
Cureus. 2022 Jul 22;14(7):e27145. doi: 10.7759/cureus.27145. eCollection 2022 Jul.
5
A Rare Case of Massive Rotator Cuff Tear and Biceps Tendon Rupture with Posterior Shoulder Dislocation in a Young Adult - Surgical Decision-making and Outcome.一名年轻成人发生巨大肩袖撕裂、肱二头肌肌腱断裂并伴有肩关节后脱位的罕见病例——手术决策与结果
J Orthop Case Rep. 2017 Mar-Apr;7(2):82-86. doi: 10.13107/jocr.2250-0685.762.
6
Laceration of the Sciatic Nerve After Closed Reduction of a Dislocated Total Hip Arthroplasty.全髋关节置换术后脱位闭合复位后坐骨神经损伤
Arthroplast Today. 2023 Mar 7;20:101104. doi: 10.1016/j.artd.2023.101104. eCollection 2023 Apr.
7
Axillary artery laceration after anterior shoulder dislocation reduction.肩关节前脱位复位后腋动脉撕裂
Turk J Emerg Med. 2018 Nov 9;19(2):87-89. doi: 10.1016/j.tjem.2018.10.004. eCollection 2019 Apr.
8
Brachial artery laceration with closed posterior elbow dislocation in an eight year old.一名8岁儿童出现肱动脉撕裂并伴有闭合性肘后脱位。
Clin Orthop Relat Res. 1993 Nov(296):109-12.
9
Traumatic rotator cuff tears with concomitant shoulder dislocation: tear characteristics and postsurgical outcomes.创伤性肩袖撕裂伴肩关节脱位:撕裂特征和术后结果。
J Shoulder Elbow Surg. 2023 Apr;32(4):842-849. doi: 10.1016/j.jse.2022.09.022. Epub 2022 Oct 25.
10
Isolated Radial Nerve Palsy as a Complication After Anterior Dislocation of the Glenohumeral Joint: A Case Report and Clinical Review.肩关节前脱位后并发孤立性桡神经麻痹:一例报告及临床综述
J Investig Med High Impact Case Rep. 2019 Jan-Dec;7:2324709619844289. doi: 10.1177/2324709619844289.

本文引用的文献

1
Closed reduction techniques for acute anterior shoulder dislocation: a systematic review and meta-analysis.急性前肩关节脱位的闭合复位技术:一项系统评价和荟萃分析。
Eur J Trauma Emerg Surg. 2021 Apr;47(2):407-421. doi: 10.1007/s00068-020-01427-9. Epub 2020 Jun 30.
2
Comparison of interscalene block, general anesthesia, and intravenous analgesia for out-patient shoulder reduction.比较肌间沟阻滞、全身麻醉和静脉镇痛在门诊肩关节复位中的应用。
J Anesth. 2019 Apr;33(2):279-286. doi: 10.1007/s00540-019-02624-6. Epub 2019 Mar 12.
3
Prevalence of and risk factors for dermatoporosis: a prospective observational study of dermatology outpatients in a Finnish tertiary care hospital.
皮肤科骨质疏松症的患病率及相关因素:芬兰一家三级保健医院皮肤科门诊患者的前瞻性观察研究。
J Eur Acad Dermatol Venereol. 2019 Feb;33(2):447-450. doi: 10.1111/jdv.15240. Epub 2018 Oct 1.
4
Skin tears and risk factors assessment: a systematic review on evidence-based medicine.皮肤撕裂伤及其危险因素评估:循证医学的系统评价。
Int Wound J. 2018 Feb;15(1):38-42. doi: 10.1111/iwj.12815. Epub 2017 Oct 17.
5
Shoulder dislocation in the older patient.老年患者肩关节脱位。
J Am Acad Orthop Surg. 2012 Oct;20(10):615-22. doi: 10.5435/JAAOS-20-10-615.
6
Prevalence of dermatoporosis in elderly French hospital in-patients: a cross-sectional study.法国老年住院患者皮肤骨质疏松症的患病率:一项横断面研究。
Br J Dermatol. 2012 Feb;166(2):442-3. doi: 10.1111/j.1365-2133.2011.10534.x. Epub 2011 Dec 5.
7
Dermatoporosis: a chronic cutaneous insufficiency/fragility syndrome. Clinicopathological features, mechanisms, prevention and potential treatments.皮肤疏松症:一种慢性皮肤功能不全/脆性综合征。临床病理特征、机制、预防及潜在治疗方法。
Dermatology. 2007;215(4):284-94. doi: 10.1159/000107621.
8
Techniques for reduction of anteroinferior shoulder dislocation.前下肩关节脱位的复位技术。
Emerg Med Australas. 2005 Oct-Dec;17(5-6):463-71. doi: 10.1111/j.1742-6723.2005.00778.x.