Suppr超能文献

额叶星形细胞瘤清醒开颅手术:一例报告

Awake Craniotomy for a Frontal Astrocytoma: A Case Report.

作者信息

Velchev Vladislav, Burev Stefan, Ferdinandov Dilyan, Popov Deyan, Vasileva Petra, Petrova Stela, Petrov Petar-Preslav, Hyusein Remzi R, Penchev Plamen

机构信息

Faculty of Medicine, Medical University of Plovdiv, Plovdiv, BGR.

Department of Neurological Surgery, University Hospital "St. Ivan Rilski", Sofia, BGR.

出版信息

Cureus. 2024 May 5;16(5):e59667. doi: 10.7759/cureus.59667. eCollection 2024 May.

Abstract

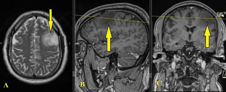
Awake craniotomy is a surgical procedure that has been gaining significance over the past decades. Neuronavigation is an intraoperative technology that locates tumors and monitors the brain cortex during awake craniotomy. The presence of cerebral low-grade gliomas in the frontal lobe creates a risk of affecting vital centers of the brain cortex during surgery. We present a clinical case of a 42-year-old male patient who entered the neurosurgery clinic with a clinical manifestation of headache for two months. MRI showed evidence of the recurrence of a left frontal glioma. Differential diagnoses of frontal gliomas include metastases, abscesses, and cysts. The pathophysiologic background of the disease is the mutation of neuroglial cells, which leads to an abnormal and uncontrollable proliferation. Under sleep-awake anesthesia, operative treatment was performed through left frontal awake craniotomy under neuronavigation. As a result, a total excision was achieved. Motor functions of the right limbs and speech have been preserved. The patient was mobilized on the day after the intervention. Surgery-related complications were not observed. The patient had relief from the symptoms and was discharged on the fifth day. Awake craniotomy combined with neuronavigation was the most efficient and the least harmful method for the excision of the tumor. For low-grade gliomas localized in the frontal area of the encephalon, awake craniotomy is the only secure option for surgery.

摘要

清醒开颅手术是一种在过去几十年中越来越重要的外科手术。神经导航是一种术中技术,可在清醒开颅手术期间定位肿瘤并监测脑皮质。额叶存在脑低度胶质瘤会在手术期间产生影响脑皮质重要中枢的风险。我们介绍一例42岁男性患者的临床病例,该患者因头痛两个月的临床表现进入神经外科门诊。磁共振成像显示左侧额叶胶质瘤复发的证据。额叶胶质瘤的鉴别诊断包括转移瘤、脓肿和囊肿。该疾病的病理生理背景是神经胶质细胞的突变,这导致异常且无法控制的增殖。在睡眠-清醒麻醉下,通过神经导航下左侧额叶清醒开颅进行手术治疗。结果,实现了肿瘤全切。右肢运动功能和言语功能得以保留。患者在干预后第二天即可活动。未观察到手术相关并发症。患者症状缓解,并于第五天出院。清醒开颅手术联合神经导航是切除肿瘤最有效且危害最小的方法。对于位于脑额叶区域的低度胶质瘤,清醒开颅手术是唯一安全的手术选择。

https://cdn.ncbi.nlm.nih.gov/pmc/blobs/45a4/11149057/9c505a405df4/cureus-0016-00000059667-i01.jpg

文献AI研究员

20分钟写一篇综述,助力文献阅读效率提升50倍。

立即体验

用中文搜PubMed

大模型驱动的PubMed中文搜索引擎

马上搜索

文档翻译

学术文献翻译模型,支持多种主流文档格式。

立即体验