• 文献检索
  • 文档翻译
  • 深度研究
  • 学术资讯
  • Suppr Zotero 插件Zotero 插件
  • 邀请有礼
  • 套餐&价格
  • 历史记录
应用&插件
Suppr Zotero 插件Zotero 插件浏览器插件Mac 客户端Windows 客户端微信小程序
定价
高级版会员购买积分包购买API积分包
服务
文献检索文档翻译深度研究API 文档MCP 服务
关于我们
关于 Suppr公司介绍联系我们用户协议隐私条款
关注我们

Suppr 超能文献

核心技术专利:CN118964589B侵权必究
粤ICP备2023148730 号-1Suppr @ 2026

文献检索

告别复杂PubMed语法,用中文像聊天一样搜索,搜遍4000万医学文献。AI智能推荐,让科研检索更轻松。

立即免费搜索

文件翻译

保留排版,准确专业,支持PDF/Word/PPT等文件格式,支持 12+语言互译。

免费翻译文档

深度研究

AI帮你快速写综述,25分钟生成高质量综述,智能提取关键信息,辅助科研写作。

立即免费体验

蝶窦内脑膨出:了解鲜为人知的情况。

Intrasphenoidal cephalocoeles: Knowing the less known.

作者信息

Mann Prachi, Gajbhiye Sanjog S, Sarjare Deoyani, Anand Aarti, Kalbagwar Shrikant, Giri Pramod

机构信息

Department of Radiodiagnosis, Government Medical College, Nagpur, India.

Department of Neurosurgery, Government Medical College and Superspeciality Hospital, Nagpur, India.

出版信息

SA J Radiol. 2024 May 10;28(1):2829. doi: 10.4102/sajr.v28i1.2829. eCollection 2024.

DOI:10.4102/sajr.v28i1.2829
PMID:38840824
原文链接:https://pmc.ncbi.nlm.nih.gov/articles/PMC11151402/
Abstract

UNLABELLED

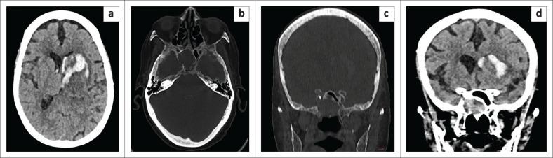
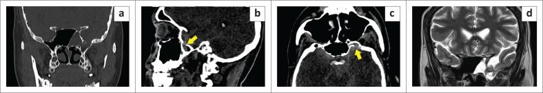
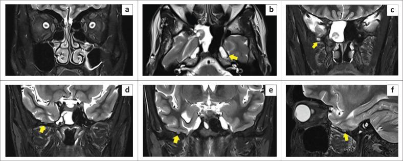
Intrasphenoidal encephalocoeles are acquired or congenital herniations of meninges and brain parenchyma through a structural sphenoid bone defect. Acquired causes are most common, either iatrogenic, post-traumatic, or spontaneous. However, defects in the lateral wall of the sphenoid sinus are uncommon and cephalocoeles through them relatively underexplored in current literature, warranting dedicated attention to unravel their complexities. Congenital causes such as persistence of Sternberg's canal, which can lead to lateral cephalocoeles, is a rare entity, seen in two of the presented cases, based on the location of the defect with respect to the line connecting the foramen rotundum and the vidian canal (VR line). Three cases of intrasphenoidal cephalocoeles are presented; two patients presented with watery nasal discharge without prior trauma or surgery and the third case was incidentally detected in an elderly patient with intraparenchymal haemorrhage. Imaging with CT cisternography and brain MR were performed to ascertain the exact location of the leak and confirm the presence of herniated brain tissue via the defects. Patients were evaluated by otolaryngology for transnasal endoscopic repair, which was deemed unfeasible, and referred to neurosurgery for transcranial duroplasty.

CONTRIBUTION

These cases provide crucial insights into the aetiology of lateral intrasphenoidal cephalocoeles, offering a practical system to classify cerebrospinal fluid (CSF) leaks based on the bony defect location. The three illustrative cases and emphasis on advanced imaging modalities refine the knowledge of their aetiology, clinical presentation and management, which hold direct clinical relevance for accurate diagnosis and tailored management of these rare anomalies.

摘要

未标注

蝶窦内脑膨出是指脑膜和脑实质通过蝶骨结构缺损形成的后天性或先天性疝出。后天性病因最为常见,包括医源性、创伤后或自发性病因。然而,蝶窦外侧壁缺损并不常见,目前文献中对通过这些缺损形成的脑膨出研究相对较少,因此需要专门关注以揭示其复杂性。先天性病因如施特恩贝格管持续存在可导致外侧脑膨出,这是一种罕见情况,在所呈现的两例病例中可见,其依据缺损相对于连接圆孔和翼管的线(VR线)的位置而定。本文呈现了三例蝶窦内脑膨出病例;两例患者表现为水样鼻溢液,无既往创伤或手术史,第三例在一名老年脑实质内出血患者中偶然发现。进行了CT脑池造影和脑部磁共振成像以确定漏口的确切位置,并通过缺损确认疝出脑组织的存在。患者接受了耳鼻喉科评估以进行经鼻内镜修复,但认为不可行,随后转诊至神经外科进行经颅硬脑膜成形术。

贡献

这些病例为蝶窦内外侧脑膨出的病因提供了关键见解,提供了一个基于骨缺损位置对脑脊液(CSF)漏进行分类的实用系统。这三例说明性病例以及对先进成像方式的强调完善了对其病因、临床表现和治疗的认识,这对于准确诊断和针对性治疗这些罕见异常具有直接临床意义。

https://cdn.ncbi.nlm.nih.gov/pmc/blobs/9aaf/11151402/092074cc3e3a/SAJR-28-2829-g012.jpg
https://cdn.ncbi.nlm.nih.gov/pmc/blobs/9aaf/11151402/9caa0925f2b0/SAJR-28-2829-g001.jpg
https://cdn.ncbi.nlm.nih.gov/pmc/blobs/9aaf/11151402/9192324aba93/SAJR-28-2829-g002.jpg
https://cdn.ncbi.nlm.nih.gov/pmc/blobs/9aaf/11151402/7d7d8b7445ae/SAJR-28-2829-g003.jpg
https://cdn.ncbi.nlm.nih.gov/pmc/blobs/9aaf/11151402/29a5c5854381/SAJR-28-2829-g004.jpg
https://cdn.ncbi.nlm.nih.gov/pmc/blobs/9aaf/11151402/c250a3e195aa/SAJR-28-2829-g005.jpg
https://cdn.ncbi.nlm.nih.gov/pmc/blobs/9aaf/11151402/4e2c2b647101/SAJR-28-2829-g006.jpg
https://cdn.ncbi.nlm.nih.gov/pmc/blobs/9aaf/11151402/3ca6cc4bc24c/SAJR-28-2829-g008.jpg
https://cdn.ncbi.nlm.nih.gov/pmc/blobs/9aaf/11151402/bf6709797c39/SAJR-28-2829-g009.jpg
https://cdn.ncbi.nlm.nih.gov/pmc/blobs/9aaf/11151402/45cc95e16ad2/SAJR-28-2829-g010.jpg
https://cdn.ncbi.nlm.nih.gov/pmc/blobs/9aaf/11151402/4478f37fdc8b/SAJR-28-2829-g011.jpg
https://cdn.ncbi.nlm.nih.gov/pmc/blobs/9aaf/11151402/092074cc3e3a/SAJR-28-2829-g012.jpg
https://cdn.ncbi.nlm.nih.gov/pmc/blobs/9aaf/11151402/9caa0925f2b0/SAJR-28-2829-g001.jpg
https://cdn.ncbi.nlm.nih.gov/pmc/blobs/9aaf/11151402/9192324aba93/SAJR-28-2829-g002.jpg
https://cdn.ncbi.nlm.nih.gov/pmc/blobs/9aaf/11151402/7d7d8b7445ae/SAJR-28-2829-g003.jpg
https://cdn.ncbi.nlm.nih.gov/pmc/blobs/9aaf/11151402/29a5c5854381/SAJR-28-2829-g004.jpg
https://cdn.ncbi.nlm.nih.gov/pmc/blobs/9aaf/11151402/c250a3e195aa/SAJR-28-2829-g005.jpg
https://cdn.ncbi.nlm.nih.gov/pmc/blobs/9aaf/11151402/4e2c2b647101/SAJR-28-2829-g006.jpg
https://cdn.ncbi.nlm.nih.gov/pmc/blobs/9aaf/11151402/3ca6cc4bc24c/SAJR-28-2829-g008.jpg
https://cdn.ncbi.nlm.nih.gov/pmc/blobs/9aaf/11151402/bf6709797c39/SAJR-28-2829-g009.jpg
https://cdn.ncbi.nlm.nih.gov/pmc/blobs/9aaf/11151402/45cc95e16ad2/SAJR-28-2829-g010.jpg
https://cdn.ncbi.nlm.nih.gov/pmc/blobs/9aaf/11151402/4478f37fdc8b/SAJR-28-2829-g011.jpg
https://cdn.ncbi.nlm.nih.gov/pmc/blobs/9aaf/11151402/092074cc3e3a/SAJR-28-2829-g012.jpg

相似文献

1
Intrasphenoidal cephalocoeles: Knowing the less known.蝶窦内脑膨出:了解鲜为人知的情况。
SA J Radiol. 2024 May 10;28(1):2829. doi: 10.4102/sajr.v28i1.2829. eCollection 2024.
2
Sternberg's canal as a cause of encephalocele within the lateral recess of the sphenoid sinus: A report of two cases.蝶窦外侧隐窝内斯滕伯格管作为脑膨出病因:两例报告
Surg Neurol Int. 2011;2:171. doi: 10.4103/2152-7806.90034. Epub 2011 Nov 19.
3
Analysis of the Causes and Experience in the Diagnosis and Treatment of Meningocele Caused by Sternberg's Canal of the Sphenoid Sinus: Two Case Reports and a Review of the Literature.分析蝶窦 Sternberg 管脑膜膨出的诊断和治疗原因及经验:两例病例报告及文献复习。
Curr Med Imaging. 2023;19(9):1063-1070. doi: 10.2174/1573405619666230206103036.
4
Low incidence of true Sternberg's canal defects among lateral sphenoid sinus encephaloceles.外侧蝶窦脑膨出中 Sternberg 管真性缺陷的发生率低。
Acta Neurochir (Wien). 2020 Oct;162(10):2413-2420. doi: 10.1007/s00701-020-04329-2. Epub 2020 May 6.
5
Spontaneous sphenoid sinus cerebrospinal fluid leak and meningoencephalocele - are they due to patent Sternberg's canal?自发性蝶窦脑脊液漏和脑膜脑膨出——它们是由于斯滕伯格管未闭所致吗?
Wideochir Inne Tech Maloinwazyjne. 2015 Jul;10(2):347-58. doi: 10.5114/wiitm.2014.47097. Epub 2014 Dec 3.
6
Spontaneous CSF-leaks and meningoencephaloceles in sphenoid sinus by persisting Sternberg's canal.蝶窦中持续存在的 Sternberg 管导致的自发性脑脊液漏和脑膜脑膨出。
Rhinology. 2009 Dec;47(4):369-74. doi: 10.4193/Rhin08.236.
7
A Unique Case of Bilateral Recurrent Sphenoid Sinus Cerebrospinal Fluid Leaks: Primary Acquired Leak Within the Lateral Sphenoid Sinus Recess, Followed by a Leak via Sternberg's Canal.双侧复发性蝶窦脑脊液漏的罕见病例:蝶窦外侧隐窝原发性后天性漏,继之通过施特恩贝格管发生漏。
Ann Otol Rhinol Laryngol. 2015 Aug;124(8):593-7. doi: 10.1177/0003489415570936. Epub 2015 Feb 4.
8
Transcranial approach for spontaneous CSF rhinorrhea due to Sternberg's canal intrasphenoidal meningoencephalocele: case report and review of the literature.经颅入路治疗因斯滕伯格管内蝶窦脑膜脑膨出导致的自发性脑脊液鼻漏:病例报告及文献复习
Turk Neurosurg. 2012;22(2):242-5. doi: 10.5137/1019-5149.JTN.2902-10.1.
9
A Rare Case of Cerebrospinal Fluid Rhinorrhea from Canal of Stenberg.一例源自斯滕伯格管的脑脊液鼻漏罕见病例。
Indian J Otolaryngol Head Neck Surg. 2023 Apr;75(Suppl 1):764-767. doi: 10.1007/s12070-022-03347-z. Epub 2022 Dec 11.
10
Sternberg's canal: fact or fiction?施特恩贝格管:确有其事还是虚构之说?
Am J Rhinol Allergy. 2009 Mar-Apr;23(2):167-71. doi: 10.2500/ajra.2009.23.3290.

本文引用的文献

1
Postural influence on intracranial fluid dynamics: an overview.姿势对颅内流体动力学的影响:概述。
J Physiol Anthropol. 2023 Apr 13;42(1):5. doi: 10.1186/s40101-023-00323-6.
2
The Evaluation of Variations in Patterns of Sphenoid Sinus Pneumatization Using Computed Tomography in a South Indian Population.使用计算机断层扫描对南印度人群蝶窦气化模式变化的评估
Cureus. 2022 Mar 15;14(3):e23174. doi: 10.7759/cureus.23174. eCollection 2022 Mar.
3
Low incidence of true Sternberg's canal defects among lateral sphenoid sinus encephaloceles.
外侧蝶窦脑膨出中 Sternberg 管真性缺陷的发生率低。
Acta Neurochir (Wien). 2020 Oct;162(10):2413-2420. doi: 10.1007/s00701-020-04329-2. Epub 2020 May 6.
4
Diagnostic Imaging and Clinical Features of Intracranial Hypotension - Review of Literature.颅内低压的诊断性影像学与临床特征——文献综述
Pol J Radiol. 2017 Dec 15;82:842-849. doi: 10.12659/PJR.904433. eCollection 2017.
5
Imaging review of cerebrospinal fluid leaks.脑脊液漏的影像学检查综述
Indian J Radiol Imaging. 2017 Oct-Dec;27(4):441-446. doi: 10.4103/ijri.IJRI_380_16.
6
Spontaneous lateral sphenoid cephaloceles: anatomic factors contributing to pathogenesis and proposed classification.自发性蝶骨外侧颅底脑膨出:发病机制的解剖学因素及分类建议。
AJNR Am J Neuroradiol. 2014 Apr;35(4):784-9. doi: 10.3174/ajnr.A3744. Epub 2013 Oct 3.
7
Sternberg's canal as a cause of encephalocele within the lateral recess of the sphenoid sinus: A report of two cases.蝶窦外侧隐窝内斯滕伯格管作为脑膨出病因:两例报告
Surg Neurol Int. 2011;2:171. doi: 10.4103/2152-7806.90034. Epub 2011 Nov 19.
8
Cerebrospinal fluid flow imaging by using phase-contrast MR technique.采用相位对比磁共振技术进行脑脊液流动成像。
Br J Radiol. 2011 Aug;84(1004):758-65. doi: 10.1259/bjr/66206791. Epub 2011 May 17.
9
The contribution of 3D-CISS and contrast-enhanced MR cisternography in detecting cerebrospinal fluid leak in patients with rhinorrhoea.3D-CISS 和增强 MR 脑池造影在检测鼻漏患者脑脊液漏中的作用。
Br J Radiol. 2010 Mar;83(987):225-32. doi: 10.1259/bjr/56838652. Epub 2009 Sep 1.
10
Sternberg's canal: fact or fiction?施特恩贝格管:确有其事还是虚构之说?
Am J Rhinol Allergy. 2009 Mar-Apr;23(2):167-71. doi: 10.2500/ajra.2009.23.3290.