Suppr超能文献

青少年系统性硬化症中的皮肤钙质沉着症

Calcinosis Cutis in Juvenile Systemic Sclerosis.

作者信息

Balaji Dhanush, Mohanasundaram Kavitha, Gopalakrishnan Karpaka Vinayakam

机构信息

Internal Medicine, Saveetha Medical College and Hospital, Saveetha Institute of Medical and Technical Sciences, Kanchipuram, IND.

General Medicine, Saveetha Medical College and Hospital, Saveetha Institute of Medical and Technical Sciences, Kanchipuram, IND.

出版信息

Cureus. 2024 May 6;16(5):e59729. doi: 10.7759/cureus.59729. eCollection 2024 May.

Abstract

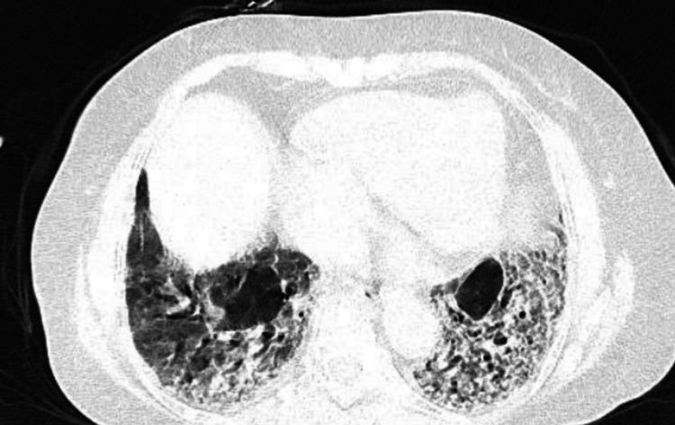
Juvenile systemic sclerosis (JSSc) is a rare autoimmune disorder that primarily affects children and adolescents. It is thought to be caused by a confluence of immunological, environmental, and genetic variables. The disease is characterized by excessive collagen production. It can result in symptoms such as shortness of breath, chest pain, difficulty swallowing, high blood pressure, and kidney problems. Although calcinosis cutis is common in systemic sclerosis, it is very rare in JSSc. We report the case of a 14-year-old female who presented with complaints of breathlessness for four days and multiple lesions in the sacral region for two months. She underwent surgical excision for calcinosis cutis in dependent regions. Early diagnosis and treatment of the condition are of immense importance in preventing mortality.

摘要

青少年系统性硬化症(JSSc)是一种罕见的自身免疫性疾病,主要影响儿童和青少年。它被认为是由免疫、环境和遗传因素共同作用引起的。该疾病的特征是胶原蛋白过度生成。它可导致呼吸急促、胸痛、吞咽困难、高血压和肾脏问题等症状。虽然皮肤钙质沉着在系统性硬化症中很常见,但在青少年系统性硬化症中非常罕见。我们报告了一例14岁女性病例,该患者主诉呼吸急促四天,骶部有多处皮损两个月。她接受了受压部位皮肤钙质沉着的手术切除。早期诊断和治疗该疾病对于预防死亡极为重要。

https://cdn.ncbi.nlm.nih.gov/pmc/blobs/7ea2/11151205/8f9e9080f7c2/cureus-0016-00000059729-i01.jpg

文献AI研究员

20分钟写一篇综述,助力文献阅读效率提升50倍。

立即体验

用中文搜PubMed

大模型驱动的PubMed中文搜索引擎

马上搜索

文档翻译

学术文献翻译模型,支持多种主流文档格式。

立即体验