Suppr超能文献

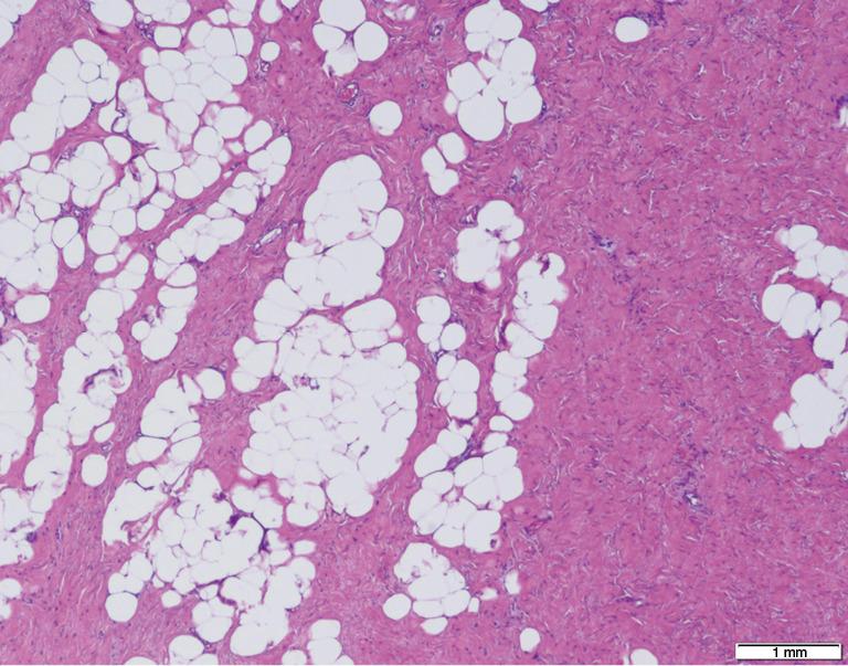
Giant gluteal lipoma presenting as sciatic hernia: a case description.

作者信息

Lai Weiwei, Zhao Zeyun, Li Jiannan, Wang Min

机构信息

Department of General Surgery, The Second Hospital of Jilin University, Changchun, China.

出版信息

Quant Imaging Med Surg. 2024 Jun 1;14(6):4249-4254. doi: 10.21037/qims-23-1214. Epub 2024 May 16.

Abstract
摘要
https://cdn.ncbi.nlm.nih.gov/pmc/blobs/d8be/11151237/548078724ae9/qims-14-06-4249-f1.jpg

文献AI研究员

20分钟写一篇综述,助力文献阅读效率提升50倍。

立即体验

用中文搜PubMed

大模型驱动的PubMed中文搜索引擎

马上搜索

文档翻译

学术文献翻译模型,支持多种主流文档格式。

立即体验