Suppr超能文献

ZBP1 通过诱导 RIPK3 介导的坏死性凋亡和 RIPK1 激酶活性非依赖性细胞凋亡引起炎症。

ZBP1 causes inflammation by inducing RIPK3-mediated necroptosis and RIPK1 kinase activity-independent apoptosis.

机构信息

Institute for Genetics, University of Cologne, 50674, Cologne, Germany.

Cologne Excellence Cluster on Cellular Stress Responses in Aging-Associated Diseases (CECAD), University of Cologne, 50931, Cologne, Germany.

出版信息

Cell Death Differ. 2024 Jul;31(7):938-953. doi: 10.1038/s41418-024-01321-6. Epub 2024 Jun 7.

Abstract

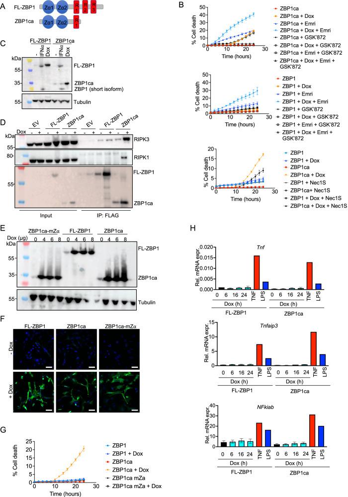
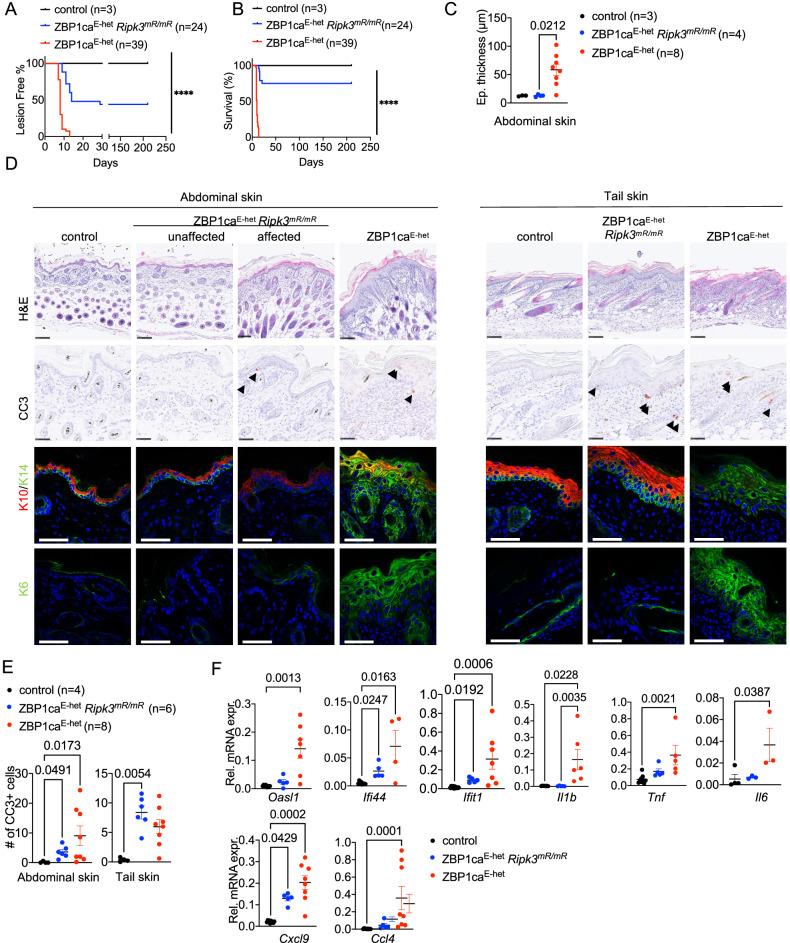
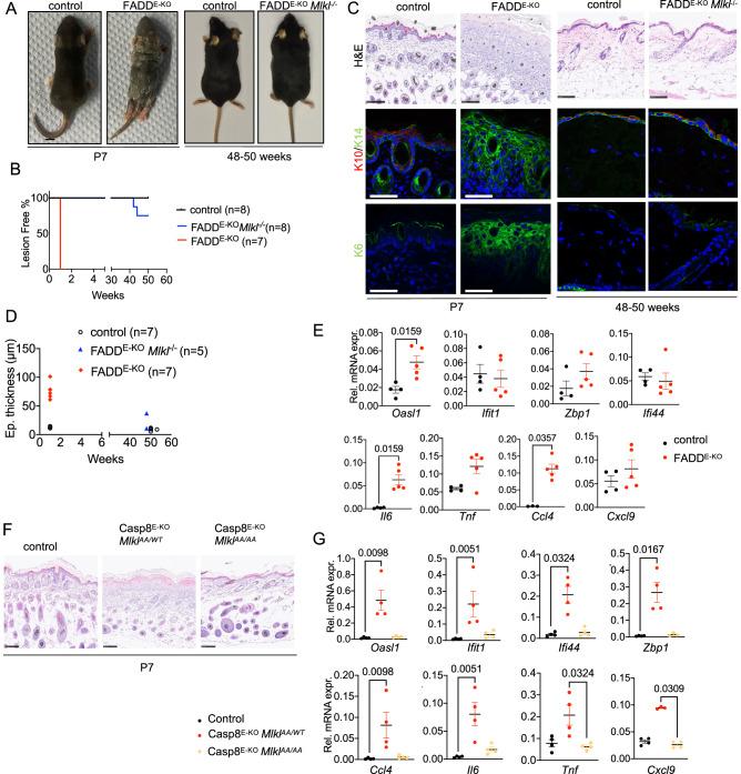
Z-DNA binding protein 1 (ZBP1) has important functions in anti-viral immunity and in the regulation of inflammatory responses. ZBP1 induces necroptosis by directly engaging and activating RIPK3, however, the mechanisms by which ZBP1 induces inflammation and in particular the role of RIPK1 and the contribution of cell death-independent signaling remain elusive. Here we show that ZBP1 causes skin inflammation by inducing RIPK3-mediated necroptosis and RIPK1-caspase-8-mediated apoptosis in keratinocytes. ZBP1 induced TNFR1-independent skin inflammation in mice with epidermis-specific ablation of FADD by triggering keratinocyte necroptosis. Moreover, transgenic expression of C-terminally truncated constitutively active ZBP1 (ZBP1ca) in mouse epidermis caused skin inflammation that was only partially inhibited by abrogation of RIPK3-MLKL-dependent necroptosis and fully prevented by combined deficiency in MLKL and caspase-8. Importantly, ZBP1ca induced caspase-8-mediated skin inflammation by RHIM-dependent but kinase activity-independent RIPK1 signaling. Furthermore, ZBP1ca-induced inflammatory cytokine production in the skin was completely prevented by combined inhibition of apoptosis and necroptosis arguing against a cell death-independent pro-inflammatory function of ZBP1. Collectively, these results showed that ZBP1 induces inflammation by activating necroptosis and RIPK1 kinase activity-independent apoptosis.

摘要

Z-DNA 结合蛋白 1(ZBP1)在抗病毒免疫和炎症反应调节中具有重要功能。ZBP1 通过直接结合并激活 RIPK3 诱导细胞坏死,但 ZBP1 诱导炎症的机制,特别是 RIPK1 的作用和非细胞死亡依赖性信号的贡献仍不清楚。在这里,我们表明 ZBP1 通过诱导角质形成细胞中的 RIPK3 介导的坏死和 RIPK1-caspase-8 介导的细胞凋亡,导致皮肤炎症。ZBP1 通过触发角质形成细胞坏死,在表皮特异性缺失 FADD 的小鼠中引起 TNFR1 非依赖性皮肤炎症。此外,在小鼠表皮中转基因表达 C 末端截断的组成型活性 ZBP1(ZBP1ca)可引起皮肤炎症,该炎症仅部分被阻断 RIPK3-MLKL 依赖性坏死所抑制,并且完全被 MLKL 和 caspase-8 的联合缺陷所预防。重要的是,ZBP1ca 通过 RHIM 依赖性但激酶活性非依赖性 RIPK1 信号诱导 caspase-8 介导的皮肤炎症。此外,ZBP1ca 在皮肤中诱导的促炎细胞因子产生完全被凋亡和坏死的联合抑制所阻止,这表明 ZBP1 不依赖细胞死亡的促炎功能。总之,这些结果表明 ZBP1 通过激活坏死和 RIPK1 激酶活性非依赖性细胞凋亡来诱导炎症。

https://cdn.ncbi.nlm.nih.gov/pmc/blobs/512c/11239871/218497654cf5/41418_2024_1321_Fig1_HTML.jpg

文献检索

告别复杂PubMed语法,用中文像聊天一样搜索,搜遍4000万医学文献。AI智能推荐,让科研检索更轻松。

立即免费搜索

文件翻译

保留排版,准确专业,支持PDF/Word/PPT等文件格式,支持 12+语言互译。

免费翻译文档

深度研究

AI帮你快速写综述,25分钟生成高质量综述,智能提取关键信息,辅助科研写作。

立即免费体验