Suppr超能文献

用于软骨组织工程的纳米增强型4D生物打印微组织的神经免疫调节潜力

Neuro-Immunomodulatory Potential of Nanoenabled 4D Bioprinted Microtissue for Cartilage Tissue Engineering.

作者信息

Couto Marina, Vasconcelos Daniela Pereira, Pereira Catarina Leite, Neto Estrela, Sarmento Bruno, Lamghari Meriem

机构信息

i3S - Instituto de Investigação e Inovação em Saúde, Universidade do Porto, Portugal, Rua Alfredo Allen, 208, Porto, 4200-125, Portugal.

INEB - Instituto Nacional de Engenharia Biomédica, Universidade do Porto, Rua Alfredo Allen, 208, Porto, 4200-125, Portugal.

出版信息

Adv Healthc Mater. 2025 Feb;14(5):e2400496. doi: 10.1002/adhm.202400496. Epub 2024 Jul 23.

Abstract

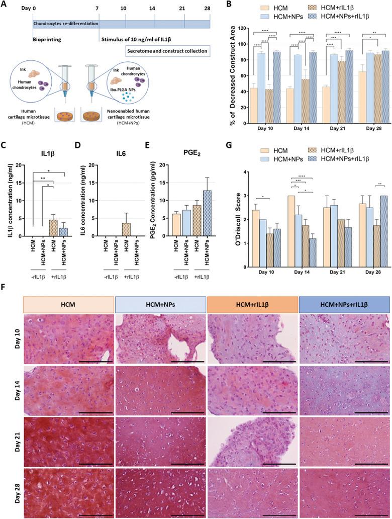
Cartilage defects trigger post-traumatic inflammation, leading to a catabolic metabolism in chondrocytes and exacerbating cartilage degradation. Current treatments aim to relieve pain but fail to target the inflammatory process underlying osteoarthritis (OA) progression. Here, a human cartilage microtissue (HCM) nanoenabled with ibuprofen-loaded poly(lactic-co-glycolic acid) nanoparticles (ibu-PLGA NPs) is 4D-bioprinted to locally mitigate inflammation and impair nerve sprouting. Under an in vitro inflamed environment, the nanoenabled HCM exhibits chondroprotective potential by decreasing the interleukin (IL)1β and IL6 release, while sustaining extracellular matrix (ECM) production. In vivo, assessments utilizing the air pouch mouse model affirm the nanoenabled HCM non-immunogenicity. Nanoenabled HCM-derived secretomes do not elicit a systemic immune response and decrease locally the recruitment of mature dendritic cells and the secretion of multiple inflammatory mediators and matrix metalloproteinases when compared to inflamed HCM condition. Notably, the nanoenabled HCM secretome has no impact on the innervation profile of the skin above the pouch cavity, suggesting a potential to impede nerve growth. Overall, HCM nanoenabled with ibu-PLGA NPs emerges as a potent strategy to mitigate inflammation and protect ECM without triggering nerve growth, introducing an innovative and promising approach in the cartilage tissue engineering field.

摘要

软骨缺损会引发创伤后炎症,导致软骨细胞分解代谢,加剧软骨降解。目前的治疗旨在缓解疼痛,但未能针对骨关节炎(OA)进展的炎症过程。在此,通过4D生物打印技术制备了一种负载布洛芬的聚乳酸-羟基乙酸共聚物纳米颗粒(ibu-PLGA NPs)的人软骨微组织(HCM),以局部减轻炎症并抑制神经芽生。在体外炎症环境下,纳米化HCM通过减少白细胞介素(IL)-1β和IL-6的释放,同时维持细胞外基质(ECM)的产生,展现出软骨保护潜力。在体内,利用气袋小鼠模型进行的评估证实了纳米化HCM的非免疫原性。与炎症状态的HCM相比,纳米化HCM分泌组不会引发全身免疫反应,且能局部减少成熟树突状细胞的募集以及多种炎症介质和基质金属蛋白酶的分泌。值得注意的是,纳米化HCM分泌组对气袋腔上方皮肤的神经分布没有影响,表明其具有阻碍神经生长潜力。总体而言,负载ibu-PLGA NPs的HCM成为一种减轻炎症和保护ECM而不引发神经生长的有效策略,为软骨组织工程领域引入了一种创新且有前景的方法。

https://cdn.ncbi.nlm.nih.gov/pmc/blobs/44ff/11834377/2937d742b6bc/ADHM-14-0-g002.jpg

文献检索

告别复杂PubMed语法,用中文像聊天一样搜索,搜遍4000万医学文献。AI智能推荐,让科研检索更轻松。

立即免费搜索

文件翻译

保留排版,准确专业,支持PDF/Word/PPT等文件格式,支持 12+语言互译。

免费翻译文档

深度研究

AI帮你快速写综述,25分钟生成高质量综述,智能提取关键信息,辅助科研写作。

立即免费体验