Suppr超能文献

腹部纺织瘤的管理:一项回顾性研究。

Management of abdominal textilomas: A retrospective study.

作者信息

Tchangai Boyodi, Essobiyou Tamassi Bertrand, Ouedraogo Samuel Salem Laurent, Issa Mohamed, Keheou Palissam Alexandre, Labou Kossi Albert, Akakpo Koffi Leonard, Dosseh Ekoue David

机构信息

Department of Surgery, University of Lomé, Togo.

Department of Surgery, University of Lomé, Togo.

出版信息

Int J Surg Case Rep. 2024 Jul;120:109816. doi: 10.1016/j.ijscr.2024.109816. Epub 2024 May 28.

Abstract

INTRODUCTION

Textilomas are an infrequent but well-known surgical complication. The authors report a series of cases to describe the frequency of abdominal textilomas, the circumstances in which they occur, their clinical and morphological characteristics, and their management, to contextualise these data, which may serve as a basis for preventive measures.

SETTING AND METHOD

This was a monocentric, retrospective, descriptive study conducted over 10 years at a tertiary hospital. The circumstances of the initial intervention, the diagnosis, and the treatment of textiloma cases treated in the said centre were documented.

RESULTS

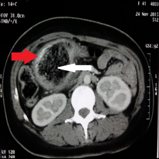
Twenty-one (21) cases of abdominal textiloma were collected, with an annual frequency of 2.1 cases/year. The cases were predominantly female, with a female-to-male sex ratio of 1.62. The median age of the patients was 37 years. The initial operation was performed in a public facility in 80.95 % of cases. Myomectomy was the main indication (23.81 %). The time for signs to develop before consultation was 16.47 ± 8.82 days. Textiloma extraction was performed in an emergency in 61.90 % of cases. We noted morbidity (38.10 %) and mortality (9.52 %) in our patients.

CONCLUSION

Textilomas are a rare surgical complication, albeit with a high morbidity and mortality rate. Their clinical polymorphism and the difficulties of diagnosis and management mean that prevention is of prime importance.

摘要

引言

缝线瘤是一种罕见但广为人知的手术并发症。作者报告了一系列病例,以描述腹部缝线瘤的发生率、发生情况、临床和形态学特征以及治疗方法,从而将这些数据置于背景中,可为预防措施提供依据。

背景与方法

这是一项在一家三级医院进行的为期10年的单中心回顾性描述性研究。记录了该中心治疗的缝线瘤病例的初始干预情况、诊断和治疗情况。

结果

共收集到21例腹部缝线瘤病例,年发生率为2.1例/年。病例以女性为主,男女比例为1.62。患者的中位年龄为37岁。80.95%的病例在公共机构进行了初次手术。子宫肌瘤切除术是主要指征(23.81%)。就诊前症状出现的时间为16.47±8.82天。61.90%的病例在急诊情况下进行了缝线瘤摘除术。我们注意到患者中有发病率(38.10%)和死亡率(9.52%)。

结论

缝线瘤是一种罕见的手术并发症,尽管发病率和死亡率很高。其临床多态性以及诊断和治疗的困难意味着预防至关重要。

https://cdn.ncbi.nlm.nih.gov/pmc/blobs/096a/11215090/029d91596bfa/gr1.jpg

文献AI研究员

20分钟写一篇综述,助力文献阅读效率提升50倍。

立即体验

用中文搜PubMed

大模型驱动的PubMed中文搜索引擎

马上搜索

文档翻译

学术文献翻译模型,支持多种主流文档格式。

立即体验