• 文献检索
  • 文档翻译
  • 深度研究
  • 学术资讯
  • Suppr Zotero 插件Zotero 插件
  • 邀请有礼
  • 套餐&价格
  • 历史记录
应用&插件
Suppr Zotero 插件Zotero 插件浏览器插件Mac 客户端Windows 客户端微信小程序
定价
高级版会员购买积分包购买API积分包
服务
文献检索文档翻译深度研究API 文档MCP 服务
关于我们
关于 Suppr公司介绍联系我们用户协议隐私条款
关注我们

Suppr 超能文献

核心技术专利:CN118964589B侵权必究
粤ICP备2023148730 号-1Suppr @ 2026

文献检索

告别复杂PubMed语法,用中文像聊天一样搜索,搜遍4000万医学文献。AI智能推荐,让科研检索更轻松。

立即免费搜索

文件翻译

保留排版,准确专业,支持PDF/Word/PPT等文件格式,支持 12+语言互译。

免费翻译文档

深度研究

AI帮你快速写综述,25分钟生成高质量综述,智能提取关键信息,辅助科研写作。

立即免费体验

脊髓损伤引起的代谢损伤和肝脂肪变性在非肥胖大鼠中发展,并因预发性肥胖而加重。

Spinal cord injury-induced metabolic impairment and steatohepatitis develops in non-obese rats and is exacerbated by premorbid obesity.

机构信息

The Belford Center for Spinal Cord Injury, College of Medicine, The Ohio State University, Columbus, OH 43210, USA; Department of Neuroscience, College of Medicine, The Ohio State University, Columbus, OH 43210, USA.

Department of Neuroscience, College of Medicine, The Ohio State University, Columbus, OH 43210, USA; Neuroscience Graduate Program, The Ohio State University, Columbus, OH 43210, USA.

出版信息

Exp Neurol. 2024 Sep;379:114847. doi: 10.1016/j.expneurol.2024.114847. Epub 2024 Jun 8.

DOI:10.1016/j.expneurol.2024.114847
PMID:38852834
原文链接:https://pmc.ncbi.nlm.nih.gov/articles/PMC11874686/
Abstract

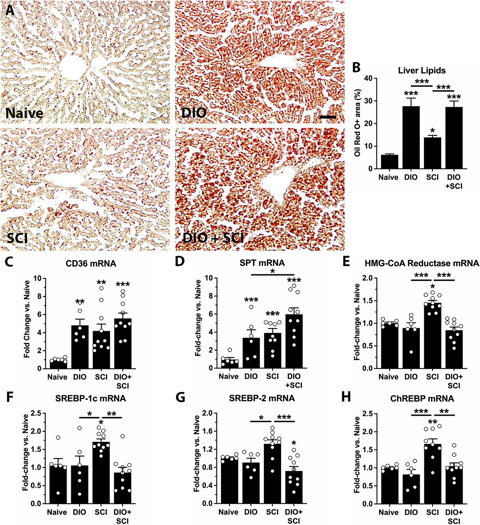
Impaired sensorimotor functions are prominent complications of spinal cord injury (SCI). A clinically important but less obvious consequence is development of metabolic syndrome (MetS), including increased adiposity, hyperglycemia/insulin resistance, and hyperlipidemia. MetS predisposes SCI individuals to earlier and more severe diabetes and cardiovascular disease compared to the general population, which trigger life-threatening complications (e.g., stroke, myocardial infarcts). Although each comorbidity is known to be a risk factor for diabetes and other health problems in obese individuals, their relative contribution or perceived importance in propagating systemic pathology after SCI has received less attention. This could be explained by an incomplete understanding of MetS promoted by SCI compared with that from the canonical trigger diet-induced obesity (DIO). Thus, here we compared metabolic-related outcomes after SCI in lean rats to those of uninjured rats with DIO. Surprisingly, SCI-induced MetS features were equal to or greater than those in obese uninjured rats, including insulin resistance, endotoxemia, hyperlipidemia, liver inflammation and steatosis. Considering the endemic nature of obesity, we also evaluated the effect of premorbid obesity in rats receiving SCI; the combination of DIO + SCI exacerbated MetS and liver pathology compared to either alone, suggesting that obese individuals that sustain a SCI are especially vulnerable to metabolic dysfunction. Notably, premorbid obesity also exacerbated intraspinal lesion pathology and worsened locomotor recovery after SCI. Overall, these results highlight that normal metabolic function requires intact spinal circuitry and that SCI is not just a sensory-motor disorder, but also has significant metabolic consequences.

摘要

感觉运动功能障碍是脊髓损伤 (SCI) 的突出并发症。一个临床重要但不太明显的后果是代谢综合征 (MetS) 的发展,包括肥胖、高血糖/胰岛素抵抗和血脂异常。与一般人群相比,MetS 使 SCI 个体更容易更早且更严重地患上糖尿病和心血管疾病,这会引发危及生命的并发症(例如中风、心肌梗死)。尽管每种合并症已知是肥胖个体发生糖尿病和其他健康问题的危险因素,但它们在 SCI 后传播全身病理方面的相对贡献或感知重要性受到的关注较少。这可能是由于与经典的饮食诱导肥胖 (DIO) 相比,对 SCI 引起的 MetS 的认识不完整。因此,在这里我们比较了 SCI 后瘦大鼠与未受伤的 DIO 大鼠的代谢相关结果。令人惊讶的是,SCI 引起的 MetS 特征与肥胖未受伤大鼠的特征相等或更大,包括胰岛素抵抗、内毒素血症、血脂异常、肝炎症和脂肪变性。考虑到肥胖的流行性质,我们还评估了肥胖大鼠接受 SCI 前肥胖的影响;与单独 DIO 或 SCI 相比,DIO+SCI 的组合加剧了 MetS 和肝病理,表明患有 SCI 的肥胖个体特别容易发生代谢功能障碍。值得注意的是,肥胖前肥胖也加重了脊髓内病变的病理,并使 SCI 后的运动功能恢复恶化。总的来说,这些结果强调了正常代谢功能需要完整的脊髓回路,并且 SCI 不仅是一种感觉运动障碍,而且还有重大的代谢后果。

https://cdn.ncbi.nlm.nih.gov/pmc/blobs/5573/11874686/7bc9a81bc3c6/nihms-2057945-f0009.jpg
https://cdn.ncbi.nlm.nih.gov/pmc/blobs/5573/11874686/10187efc08f7/nihms-2057945-f0001.jpg
https://cdn.ncbi.nlm.nih.gov/pmc/blobs/5573/11874686/3a9b69e07474/nihms-2057945-f0002.jpg
https://cdn.ncbi.nlm.nih.gov/pmc/blobs/5573/11874686/da5a6019f48a/nihms-2057945-f0003.jpg
https://cdn.ncbi.nlm.nih.gov/pmc/blobs/5573/11874686/c7f399187718/nihms-2057945-f0004.jpg
https://cdn.ncbi.nlm.nih.gov/pmc/blobs/5573/11874686/aac650ab5450/nihms-2057945-f0005.jpg
https://cdn.ncbi.nlm.nih.gov/pmc/blobs/5573/11874686/64ef20189810/nihms-2057945-f0006.jpg
https://cdn.ncbi.nlm.nih.gov/pmc/blobs/5573/11874686/5311fe1dd1b9/nihms-2057945-f0007.jpg
https://cdn.ncbi.nlm.nih.gov/pmc/blobs/5573/11874686/b4e8bad82ec6/nihms-2057945-f0008.jpg
https://cdn.ncbi.nlm.nih.gov/pmc/blobs/5573/11874686/7bc9a81bc3c6/nihms-2057945-f0009.jpg
https://cdn.ncbi.nlm.nih.gov/pmc/blobs/5573/11874686/10187efc08f7/nihms-2057945-f0001.jpg
https://cdn.ncbi.nlm.nih.gov/pmc/blobs/5573/11874686/3a9b69e07474/nihms-2057945-f0002.jpg
https://cdn.ncbi.nlm.nih.gov/pmc/blobs/5573/11874686/da5a6019f48a/nihms-2057945-f0003.jpg
https://cdn.ncbi.nlm.nih.gov/pmc/blobs/5573/11874686/c7f399187718/nihms-2057945-f0004.jpg
https://cdn.ncbi.nlm.nih.gov/pmc/blobs/5573/11874686/aac650ab5450/nihms-2057945-f0005.jpg
https://cdn.ncbi.nlm.nih.gov/pmc/blobs/5573/11874686/64ef20189810/nihms-2057945-f0006.jpg
https://cdn.ncbi.nlm.nih.gov/pmc/blobs/5573/11874686/5311fe1dd1b9/nihms-2057945-f0007.jpg
https://cdn.ncbi.nlm.nih.gov/pmc/blobs/5573/11874686/b4e8bad82ec6/nihms-2057945-f0008.jpg
https://cdn.ncbi.nlm.nih.gov/pmc/blobs/5573/11874686/7bc9a81bc3c6/nihms-2057945-f0009.jpg

相似文献

1
Spinal cord injury-induced metabolic impairment and steatohepatitis develops in non-obese rats and is exacerbated by premorbid obesity.脊髓损伤引起的代谢损伤和肝脂肪变性在非肥胖大鼠中发展,并因预发性肥胖而加重。
Exp Neurol. 2024 Sep;379:114847. doi: 10.1016/j.expneurol.2024.114847. Epub 2024 Jun 8.
2
Liver inflammation at the time of spinal cord injury enhances intraspinal pathology, liver injury, metabolic syndrome and locomotor deficits.脊髓损伤时的肝脏炎症会加重脊髓内病理学改变、肝脏损伤、代谢综合征和运动功能障碍。
Exp Neurol. 2021 Aug;342:113725. doi: 10.1016/j.expneurol.2021.113725. Epub 2021 Apr 30.
3
Dietary Green Tea Extract Prior to Spinal Cord Injury Prevents Hepatic Iron Overload but Does Not Improve Chronic Hepatic and Spinal Cord Pathology in Rats.膳食绿茶提取物在脊髓损伤前可预防肝脏铁过载,但不能改善大鼠慢性肝和脊髓病理。
J Neurotrauma. 2018 Dec 15;35(24):2872-2882. doi: 10.1089/neu.2018.5771. Epub 2018 Sep 27.
4
Association between metabolic syndrome and liver histology among children with nonalcoholic Fatty liver disease.代谢综合征与非酒精性脂肪性肝病患儿肝组织学的关系。
Am J Gastroenterol. 2010 Sep;105(9):2093-102. doi: 10.1038/ajg.2010.152. Epub 2010 Apr 6.
5
Hepatic dysfunction after spinal cord injury: A vicious cycle of central and peripheral pathology?脊髓损伤后的肝功能障碍:中枢和外周病理的恶性循环?
Exp Neurol. 2020 Mar;325:113160. doi: 10.1016/j.expneurol.2019.113160. Epub 2019 Dec 18.
6
Spinal cord injury causes chronic liver pathology in rats.脊髓损伤会导致大鼠出现慢性肝脏病变。
J Neurotrauma. 2015 Feb 1;32(3):159-69. doi: 10.1089/neu.2014.3497. Epub 2014 Oct 21.
7
Waist circumference cutoff identifying risks of obesity, metabolic syndrome, and cardiovascular disease in men with spinal cord injury.确定脊髓损伤男性肥胖、代谢综合征和心血管疾病风险的腰围切点
PLoS One. 2020 Jul 29;15(7):e0236752. doi: 10.1371/journal.pone.0236752. eCollection 2020.
8
Roles of adipose restriction and metabolic factors in progression of steatosis to steatohepatitis in obese, diabetic mice.脂肪限制和代谢因素在肥胖糖尿病小鼠脂肪变性进展为脂肪性肝炎中的作用
J Gastroenterol Hepatol. 2009 Oct;24(10):1658-68. doi: 10.1111/j.1440-1746.2009.05996.x.
9
Metabolic syndrome is the key determinant of impaired vaginal lubrication in women with chronic spinal cord injury.代谢综合征是慢性脊髓损伤女性阴道润滑功能障碍的关键决定因素。
J Endocrinol Invest. 2020 Jul;43(7):1001-1007. doi: 10.1007/s40618-020-01185-w. Epub 2020 Jan 25.
10
A Pragmatic Management Approach for Metabolic Dysfunction-Associated Steatosis and Steatohepatitis.代谢功能障碍相关脂肪变性和脂肪性肝炎的实用管理方法
Am J Gastroenterol. 2025 Jan 1;120(1):75-82. doi: 10.14309/ajg.0000000000003215. Epub 2024 Nov 21.

引用本文的文献

1
Spinal cord injury induces transient activation of hepatic stellate cells in rat liver.脊髓损伤会诱导大鼠肝脏中的肝星状细胞短暂激活。
Sci Rep. 2025 Jan 22;15(1):2826. doi: 10.1038/s41598-025-87131-3.

本文引用的文献

1
The Sympathetic-Immune Milieu in Metabolic Health and Diseases: Insights from Pancreas, Liver, Intestine, and Adipose Tissues.代谢健康与疾病中的交感免疫环境:来自胰腺、肝脏、肠道和脂肪组织的见解。
Adv Sci (Weinh). 2024 Feb;11(8):e2306128. doi: 10.1002/advs.202306128. Epub 2023 Dec 1.
2
Regulation and targeting of SREBP-1 in hepatocellular carcinoma.SREBP-1 在肝细胞癌中的调控和靶向治疗。
Cancer Metastasis Rev. 2024 Jun;43(2):673-708. doi: 10.1007/s10555-023-10156-5. Epub 2023 Dec 1.
3
Central mechanisms in sympathetic nervous dysregulation in obesity.
肥胖症中交感神经调节失调的中枢机制。
J Neurophysiol. 2023 Dec 1;130(6):1414-1424. doi: 10.1152/jn.00254.2023. Epub 2023 Nov 1.
4
The Impact of Phytochemicals in Obesity-Related Metabolic Diseases: Focus on Ceramide Metabolism.植物化学物质在肥胖相关代谢性疾病中的作用:聚焦于神经酰胺代谢。
Nutrients. 2023 Jan 30;15(3):703. doi: 10.3390/nu15030703.
5
The role of hepatokines in NAFLD.肝分泌物在非酒精性脂肪性肝病中的作用。
Cell Metab. 2023 Feb 7;35(2):236-252. doi: 10.1016/j.cmet.2023.01.006.
6
MAFLD: a multisystem disease.代谢相关脂肪性肝病:一种多系统疾病。
Ther Adv Endocrinol Metab. 2023 Jan 28;14:20420188221145549. doi: 10.1177/20420188221145549. eCollection 2023.
7
Baseline predictors of in-hospital mortality after acute traumatic spinal cord injury: data from a level I trauma center.急性创伤性脊髓损伤住院死亡率的基线预测因素:来自一级创伤中心的数据。
Sci Rep. 2022 Jul 6;12(1):11420. doi: 10.1038/s41598-022-15469-z.
8
Evaluation of the Cardiometabolic Disorders after Spinal Cord Injury in Mice.小鼠脊髓损伤后心脏代谢紊乱的评估
Biology (Basel). 2022 Mar 24;11(4):495. doi: 10.3390/biology11040495.
9
The Role of Gut-Derived Lipopolysaccharides and the Intestinal Barrier in Fatty Liver Diseases.肠源性内毒素血症和肠道屏障在脂肪性肝病中的作用。
J Gastrointest Surg. 2022 Mar;26(3):671-683. doi: 10.1007/s11605-021-05188-7. Epub 2021 Nov 3.
10
SREBP-1c and lipogenesis in the liver: an update1.SREBP-1c 与肝脏中的脂肪生成:最新进展综述1。
Biochem J. 2021 Oct 29;478(20):3723-3739. doi: 10.1042/BCJ20210071.