Suppr超能文献

奈拉替尼,一种泛ERBB/HER抑制剂,可恢复BRAF/MEK抑制对BRAF基因缺失的黑色素瘤的敏感性。

Neratinib, a pan ERBB/HER inhibitor, restores sensitivity of -null, melanoma to BRAF/MEK inhibition.

作者信息

DuBose Evan, Bevill Samantha M, Mitchell Dana K, Sciaky Noah, Golitz Brian T, Dixon Shelley A H, Rhodes Steven D, Bear James E, Johnson Gary L, Angus Steven P

机构信息

Department of Pharmacology, University of North Carolina School of Medicine, Chapel Hill, NC, United States.

Department of Cell Biology and Physiology, University of North Carolina School of Medicine, Chapel Hill, NC, United States.

出版信息

Front Oncol. 2024 May 16;14:1191217. doi: 10.3389/fonc.2024.1191217. eCollection 2024.

Abstract

INTRODUCTION

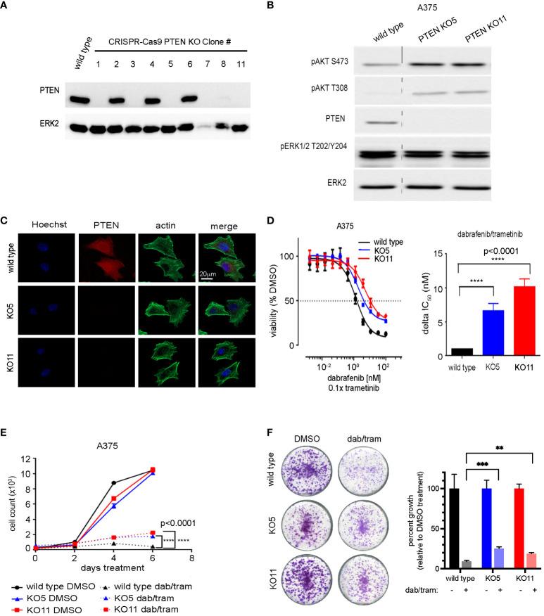
Approximately 50% of melanomas harbor an activating mutation. Standard of care involves a combination of inhibitors targeting mutant BRAF and MEK1/2, the substrate for BRAF in the MAPK pathway. loss-of-function mutations occur in ~40% of BRAFV600E melanomas, resulting in increased PI3K/AKT activity that enhances resistance to BRAF/MEK combination inhibitor therapy.

METHODS

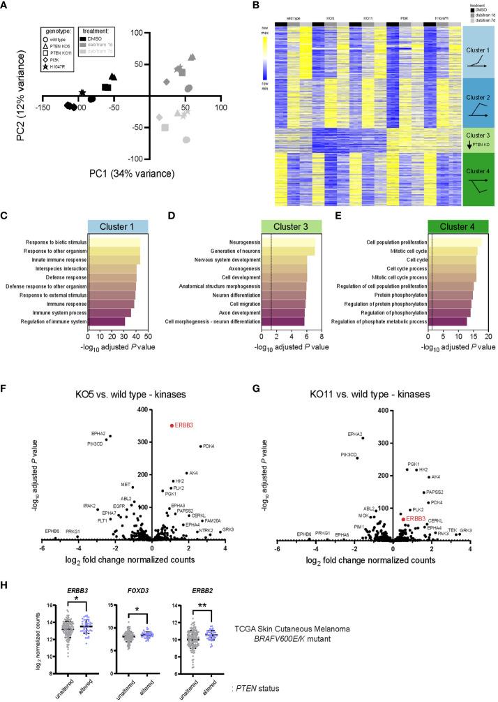
To compare the response of null to wild-type cells in an isogenic background, CRISPR/Cas9 was used to knock out in a melanoma cell line that harbors a mutation. RNA sequencing, functional kinome analysis, and drug synergy screening were employed in the context of BRAF/MEK inhibition.

RESULTS

RNA sequencing and functional kinome analysis revealed that the loss of PTEN led to an induction of and an increase in expression of the FOXD3 target gene, . Inhibition of BRAF and MEK1/2 in null, cells dramatically induced the expression of relative to wild-type cells. A synergy screen of epigenetic modifiers and kinase inhibitors in combination with BRAFi/MEKi revealed that the pan ERBB/HER inhibitor, neratinib, could reverse the resistance observed in null, cells.

CONCLUSIONS

The findings indicate that null melanoma exhibits increased reliance on ERBB/HER signaling when treated with clinically approved BRAFi/MEKi combinations. Future studies are warranted to test neratinib reversal of BRAFi/MEKi resistance in patient melanomas expressing ERBB3/HER3 in combination with its dimerization partner ERBB2/HER2.

摘要

引言

约50%的黑色素瘤存在激活突变。护理标准包括联合使用针对突变型BRAF和MEK1/2的抑制剂,MEK1/2是丝裂原活化蛋白激酶(MAPK)途径中BRAF的底物。约40%的BRAFV600E黑色素瘤发生功能丧失性突变,导致PI3K/AKT活性增加,增强了对BRAF/MEK联合抑制剂治疗的抗性。

方法

为了在同基因背景下比较无功能细胞与野生型细胞的反应,使用CRISPR/Cas9在携带某种突变的黑色素瘤细胞系中敲除该基因。在BRAF/MEK抑制的背景下进行RNA测序、功能激酶组分析和药物协同筛选。

结果

RNA测序和功能激酶组分析显示,PTEN的缺失导致FOXD3靶基因的诱导和表达增加。在无功能细胞中抑制BRAF和MEK1/2相对于野生型细胞显著诱导了该基因的表达。对表观遗传修饰剂和激酶抑制剂与BRAF抑制剂/MEK抑制剂联合进行的协同筛选显示,泛ERBB/HER抑制剂neratinib可以逆转在无功能细胞中观察到的抗性。

结论

研究结果表明,当用临床批准的BRAF抑制剂/MEK抑制剂组合治疗时,无功能黑色素瘤对ERBB/HER信号传导的依赖性增加。未来有必要进行研究,以测试neratinib对表达ERBB3/HER3及其二聚化伴侣ERBB2/HER2的患者黑色素瘤中BRAF抑制剂/MEK抑制剂抗性的逆转作用。

https://cdn.ncbi.nlm.nih.gov/pmc/blobs/7ea3/11159048/0bc017dbcfa9/fonc-14-1191217-g001.jpg

相似文献

1
Neratinib, a pan ERBB/HER inhibitor, restores sensitivity of -null, melanoma to BRAF/MEK inhibition.
Front Oncol. 2024 May 16;14:1191217. doi: 10.3389/fonc.2024.1191217. eCollection 2024.
3
BRAFV600E negatively regulates the AKT pathway in melanoma cell lines.
PLoS One. 2012;7(8):e42598. doi: 10.1371/journal.pone.0042598. Epub 2012 Aug 3.
6
FAK inhibition combined with the RAF-MEK clamp avutometinib overcomes resistance to targeted and immune therapies in BRAF V600E melanoma.
Cancer Cell. 2025 Mar 10;43(3):428-445.e6. doi: 10.1016/j.ccell.2025.02.001. Epub 2025 Feb 27.
7
Targeting BRD/BET proteins inhibits adaptive kinome upregulation and enhances the effects of BRAF/MEK inhibitors in melanoma.
Br J Cancer. 2020 Mar;122(6):789-800. doi: 10.1038/s41416-019-0724-y. Epub 2020 Jan 14.
8
RICTOR/mTORC2 downregulation in BRAF melanoma cells promotes resistance to BRAF/MEK inhibition.
Mol Cancer. 2024 May 16;23(1):105. doi: 10.1186/s12943-024-02010-1.
10
ErbB3 Targeting Enhances the Effects of MEK Inhibitor in Wild-Type BRAF/NRAS Melanoma.
Cancer Res. 2018 Oct 1;78(19):5680-5693. doi: 10.1158/0008-5472.CAN-18-1001. Epub 2018 Aug 16.

本文引用的文献

1
The development of small-molecule inhibitors targeting hexokinase 2.
Drug Discov Today. 2022 Sep;27(9):2574-2585. doi: 10.1016/j.drudis.2022.05.017. Epub 2022 May 21.
2
Targeting SOX10-deficient cells to reduce the dormant-invasive phenotype state in melanoma.
Nat Commun. 2022 Mar 16;13(1):1381. doi: 10.1038/s41467-022-28801-y.
3
Neratinib kills B-RAF V600E melanoma via ROS-dependent autophagosome formation and death receptor signaling.
Pigment Cell Melanoma Res. 2022 Jan;35(1):66-77. doi: 10.1111/pcmr.13014. Epub 2021 Sep 4.
4
Mechanisms of Acquired BRAF Inhibitor Resistance in Melanoma: A Systematic Review.
Cancers (Basel). 2020 Sep 29;12(10):2801. doi: 10.3390/cancers12102801.
5
Visualizing and interpreting cancer genomics data via the Xena platform.
Nat Biotechnol. 2020 Jun;38(6):675-678. doi: 10.1038/s41587-020-0546-8.
6
The Role of PTEN Loss in Immune Escape, Melanoma Prognosis and Therapy Response.
Cancers (Basel). 2020 Mar 21;12(3):742. doi: 10.3390/cancers12030742.
7
iDEP: an integrated web application for differential expression and pathway analysis of RNA-Seq data.
BMC Bioinformatics. 2018 Dec 19;19(1):534. doi: 10.1186/s12859-018-2486-6.
8
Afatinib in the first-line treatment of patients with non-small cell lung cancer: clinical evidence and experience.
Ther Adv Respir Dis. 2018 Jan-Dec;12:1753466618808659. doi: 10.1177/1753466618808659.

文献AI研究员

20分钟写一篇综述,助力文献阅读效率提升50倍。

立即体验

用中文搜PubMed

大模型驱动的PubMed中文搜索引擎

马上搜索

文档翻译

学术文献翻译模型,支持多种主流文档格式。

立即体验