Wolf M Allison, O'Hara Joanne M, Bitzer Graham J, Narayanan Elisabeth, Boehm Dylan T, Bevere Justin R, DeJong Megan A, Hall Jesse M, Wong Ting Y, Falcone Samantha, Deal Cailin E, Richards Angelene, Green Shannon, Nguyen Brenda, King Emily, Ogega Clinton, Russo Lisa, Sen-Kilic Emel, Plante Obadiah, Himansu Sunny, Barbier Mariette, Carfi Andrea, Damron F Heath
Department of Microbiology, Immunology, and Cell Biology, West Virginia University, Morgantown, WV, USA.
Vaccine Development Center at West Virginia University Health Sciences Center, Morgantown, WV, USA.
NPJ Vaccines. 2024 Jun 10;9(1):103. doi: 10.1038/s41541-024-00890-4.
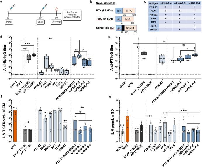
Acellular multivalent vaccines for pertussis (DTaP and Tdap) prevent symptomatic disease and infant mortality, but immunity to Bordetella pertussis infection wanes significantly over time resulting in cyclic epidemics of pertussis. The messenger RNA (mRNA) vaccine platform provides an opportunity to address complex bacterial infections with an adaptable approach providing Th1-biased responses. In this study, immunogenicity and challenge models were used to evaluate the mRNA platform with multivalent vaccine formulations targeting both B. pertussis antigens and diphtheria and tetanus toxoids. Immunization with mRNA formulations were immunogenetic, induced antigen specific antibodies, as well as Th1 T cell responses. Upon challenge with either historical or contemporary B. pertussis strains, 6 and 10 valent mRNA DTP vaccine provided protection equal to that of 1/20th human doses of either DTaP or whole cell pertussis vaccines. mRNA DTP immunized mice were also protected from pertussis toxin challenge as measured by prevention of lymphocytosis and leukocytosis. Collectively these pre-clinical mouse studies illustrate the potential of the mRNA platform for multivalent bacterial pathogen vaccines.
用于百日咳的无细胞多价疫苗(白百破疫苗和破伤风类毒素、白喉类毒素及无细胞百日咳疫苗)可预防有症状疾病和婴儿死亡,但对百日咳博德特氏菌感染的免疫力会随着时间显著减弱,导致百日咳周期性流行。信使核糖核酸(mRNA)疫苗平台提供了一个机会,可通过一种适应性方法来应对复杂的细菌感染,产生偏向Th1的反应。在本研究中,免疫原性和攻毒模型被用于评估mRNA平台,该平台采用针对百日咳博德特氏菌抗原以及白喉和破伤风类毒素的多价疫苗配方。用mRNA配方进行免疫具有免疫原性,可诱导抗原特异性抗体以及Th1 T细胞反应。在用历史或当代百日咳博德特氏菌菌株攻毒时,6价和10价mRNA DTP疫苗提供的保护等同于1/20人剂量的白百破疫苗或全细胞百日咳疫苗。通过预防淋巴细胞增多和白细胞增多来衡量,用mRNA DTP免疫的小鼠也受到了百日咳毒素攻毒的保护。这些临床前小鼠研究共同说明了mRNA平台用于多价细菌病原体疫苗的潜力。