• 文献检索
  • 文档翻译
  • 深度研究
  • 学术资讯
  • Suppr Zotero 插件Zotero 插件
  • 邀请有礼
  • 套餐&价格
  • 历史记录
应用&插件
Suppr Zotero 插件Zotero 插件浏览器插件Mac 客户端Windows 客户端微信小程序
定价
高级版会员购买积分包购买API积分包
服务
文献检索文档翻译深度研究API 文档MCP 服务
关于我们
关于 Suppr公司介绍联系我们用户协议隐私条款
关注我们

Suppr 超能文献

核心技术专利:CN118964589B侵权必究
粤ICP备2023148730 号-1Suppr @ 2026

文献检索

告别复杂PubMed语法,用中文像聊天一样搜索,搜遍4000万医学文献。AI智能推荐,让科研检索更轻松。

立即免费搜索

文件翻译

保留排版,准确专业,支持PDF/Word/PPT等文件格式,支持 12+语言互译。

免费翻译文档

深度研究

AI帮你快速写综述,25分钟生成高质量综述,智能提取关键信息,辅助科研写作。

立即免费体验

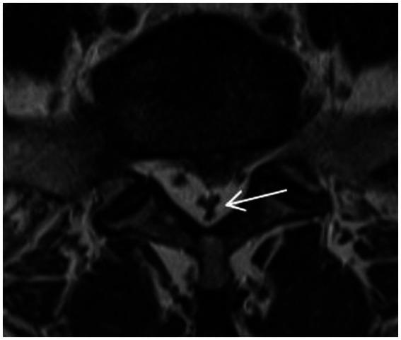
MRI参数预测中央型腰椎管狭窄合并神经根冗余:一项前瞻性MRI研究

MRI parameters predict central lumbar spinal stenosis combined with redundant nerve roots: a prospective MRI study.

作者信息

Qian Jingli, Liang Kaiwen, Luo Xianping, Ying Caiyun

机构信息

Department of Traditional Chinese Medicine and Rehabilitation, People's Hospital of Chongqing Liangjiang New Area, Chongqing, China.

Department of Health Management Center, The First Affiliated Hospital of Chongqing Medical University, Chongqing, China.

出版信息

Front Neurol. 2024 May 27;15:1385770. doi: 10.3389/fneur.2024.1385770. eCollection 2024.

DOI:10.3389/fneur.2024.1385770
PMID:38859971
原文链接:https://pmc.ncbi.nlm.nih.gov/articles/PMC11163106/
Abstract

BACKGROUND

To observe changes in the cauda equina nerve on lumbar MRI in patients with central lumbar spinal stenosis (LSS).

METHODS

878 patients diagnosed with LSS by clinical and MRI were divided into the redundant group (204 patients) and the nonredundant group (674 patients) according to the presence or absence of redundant nerve roots (RNRs). The anteroposterior diameter of the spinal canal (APDS) and the presence of multiple level stenosis, disc herniation, thickening of ligamentum flavum (LF) and increased epidural fat were assessed on MRI. Univariate and multivariate logistic regression analyses were performed to explore the predictors of LSS combined with RNRs.

RESULTS

Patients with LSS combined with RNRs had thicker epidural fat, smaller APDS and more combined multifaceted stenosis. Female patients and older LSS patients were more likely to develop RNRs; there was no difference between two groups in terms of disc herniation ( > 0. 05). Age, APDS, multiple level stenosis, and increased epidural fat were significantly correlated with the formation of LSS combined with RNRs ( < 0.05).

CONCLUSION

A smaller APDS and the presence of multiple level stenosis, thickening of LF, and increased epidural fat may be manifestations of anatomical differences in patients with LSS combined with RNRs. Age, APDS, multiple level stenosis, and increased epidural fat play important roles. The lumbar spine was measured and its anatomy was observed using multiple methods, and cauda equina changes were assessed to identify the best anatomical predictors and provide new therapeutic strategies for the management of LSS combined with RNRs.

摘要

背景

观察中央型腰椎管狭窄症(LSS)患者腰椎MRI上马尾神经的变化。

方法

878例经临床及MRI诊断为LSS的患者,根据是否存在神经根冗余(RNRs)分为冗余组(204例)和非冗余组(674例)。在MRI上评估椎管前后径(APDS)以及多节段狭窄、椎间盘突出、黄韧带(LF)增厚和硬膜外脂肪增多的情况。进行单因素和多因素逻辑回归分析,以探索LSS合并RNRs的预测因素。

结果

LSS合并RNRs的患者硬膜外脂肪更厚,APDS更小,合并多节段狭窄更多。女性患者和年龄较大的LSS患者更易出现RNRs;两组间椎间盘突出情况无差异(P>0.05)。年龄、APDS、多节段狭窄和硬膜外脂肪增多与LSS合并RNRs的形成显著相关(P<0.05)。

结论

较小的APDS以及多节段狭窄、LF增厚和硬膜外脂肪增多可能是LSS合并RNRs患者解剖学差异的表现。年龄、APDS、多节段狭窄和硬膜外脂肪增多起重要作用。采用多种方法测量腰椎并观察其解剖结构,评估马尾神经变化,以确定最佳解剖学预测因素,并为LSS合并RNRs的治疗提供新策略。

https://cdn.ncbi.nlm.nih.gov/pmc/blobs/2810/11163106/875bfdb89bd9/fneur-15-1385770-g010.jpg
https://cdn.ncbi.nlm.nih.gov/pmc/blobs/2810/11163106/170a888f88d5/fneur-15-1385770-g001.jpg
https://cdn.ncbi.nlm.nih.gov/pmc/blobs/2810/11163106/48040e577005/fneur-15-1385770-g002.jpg
https://cdn.ncbi.nlm.nih.gov/pmc/blobs/2810/11163106/b7bf434081e6/fneur-15-1385770-g003.jpg
https://cdn.ncbi.nlm.nih.gov/pmc/blobs/2810/11163106/7f0b6d143df6/fneur-15-1385770-g004.jpg
https://cdn.ncbi.nlm.nih.gov/pmc/blobs/2810/11163106/5a2136dfccd4/fneur-15-1385770-g005.jpg
https://cdn.ncbi.nlm.nih.gov/pmc/blobs/2810/11163106/ba531eba23a6/fneur-15-1385770-g006.jpg
https://cdn.ncbi.nlm.nih.gov/pmc/blobs/2810/11163106/1e034c73bae9/fneur-15-1385770-g007.jpg
https://cdn.ncbi.nlm.nih.gov/pmc/blobs/2810/11163106/9be60ad346cd/fneur-15-1385770-g008.jpg
https://cdn.ncbi.nlm.nih.gov/pmc/blobs/2810/11163106/0582d5704168/fneur-15-1385770-g009.jpg
https://cdn.ncbi.nlm.nih.gov/pmc/blobs/2810/11163106/875bfdb89bd9/fneur-15-1385770-g010.jpg
https://cdn.ncbi.nlm.nih.gov/pmc/blobs/2810/11163106/170a888f88d5/fneur-15-1385770-g001.jpg
https://cdn.ncbi.nlm.nih.gov/pmc/blobs/2810/11163106/48040e577005/fneur-15-1385770-g002.jpg
https://cdn.ncbi.nlm.nih.gov/pmc/blobs/2810/11163106/b7bf434081e6/fneur-15-1385770-g003.jpg
https://cdn.ncbi.nlm.nih.gov/pmc/blobs/2810/11163106/7f0b6d143df6/fneur-15-1385770-g004.jpg
https://cdn.ncbi.nlm.nih.gov/pmc/blobs/2810/11163106/5a2136dfccd4/fneur-15-1385770-g005.jpg
https://cdn.ncbi.nlm.nih.gov/pmc/blobs/2810/11163106/ba531eba23a6/fneur-15-1385770-g006.jpg
https://cdn.ncbi.nlm.nih.gov/pmc/blobs/2810/11163106/1e034c73bae9/fneur-15-1385770-g007.jpg
https://cdn.ncbi.nlm.nih.gov/pmc/blobs/2810/11163106/9be60ad346cd/fneur-15-1385770-g008.jpg
https://cdn.ncbi.nlm.nih.gov/pmc/blobs/2810/11163106/0582d5704168/fneur-15-1385770-g009.jpg
https://cdn.ncbi.nlm.nih.gov/pmc/blobs/2810/11163106/875bfdb89bd9/fneur-15-1385770-g010.jpg

相似文献

1
MRI parameters predict central lumbar spinal stenosis combined with redundant nerve roots: a prospective MRI study.MRI参数预测中央型腰椎管狭窄合并神经根冗余:一项前瞻性MRI研究
Front Neurol. 2024 May 27;15:1385770. doi: 10.3389/fneur.2024.1385770. eCollection 2024.
2
Magnetic resonance imaging findings of redundant nerve roots of the cauda equina.马尾神经冗余神经根的磁共振成像表现
World J Radiol. 2021 Jan 28;13(1):29-39. doi: 10.4329/wjr.v13.i1.29.
3
[Study on related influencing factors on the occurrence of redundant sign in the cauda equina in lumbar spinal stenosis].[腰椎管狭窄症马尾冗余征发生的相关影响因素研究]
Zhongguo Gu Shang. 2024 Aug 25;37(8):824-7. doi: 10.12200/j.issn.1003-0034.20201408.
4
Radiological significance of ligamentum flavum hypertrophy in the occurrence of redundant nerve roots of central lumbar spinal stenosis.黄韧带肥厚在中央型腰椎管狭窄症神经根冗余发生中的影像学意义。
J Korean Neurosurg Soc. 2012 Sep;52(3):215-20. doi: 10.3340/jkns.2012.52.3.215. Epub 2012 Sep 30.
5
Clinical significance of redundant nerve roots in patients with lumbar spinal stenosis undergoing oblique lumbar interbody fusion combined with percutaneous internal fixation.腰椎管狭窄症患者行斜外侧腰椎间融合联合经皮内固定术中冗余神经根的临床意义。
J Orthop Surg Res. 2023 Dec 13;18(1):958. doi: 10.1186/s13018-023-04449-2.
6
Redundant nerve roots of the cauda equina in lumbar spinal canal stenosis, an MR study on 500 cases.腰椎管狭窄症中马尾神经冗余神经根:500例的磁共振成像研究
Eur Spine J. 2015 Oct;24(10):2315-20. doi: 10.1007/s00586-015-4059-y. Epub 2015 Jun 14.
7
[Efficacy analysis of OLIF combined with posterior percutaneous internal fixation in patients with lumbar spinal stenosis with or without redundant nerve roots].[OLIF联合后路经皮内固定治疗伴或不伴神经根冗余的腰椎管狭窄症患者的疗效分析]
Zhongguo Gu Shang. 2024 Apr 25;37(4):345-51. doi: 10.12200/j.issn.1003-0034.20230377.
8
Patient demographics and MRI-based measurements predict redundant nerve roots in lumbar spinal stenosis: a retrospective database cohort comparison.患者人口统计学特征和基于磁共振成像的测量可预测腰椎管狭窄症中的神经根冗余:一项回顾性数据库队列比较研究
BMC Musculoskelet Disord. 2018 Dec 22;19(1):452. doi: 10.1186/s12891-018-2364-4.
9
Dynamic Changes of Cauda Equina Motion Before and After Decompressive Laminectomy for Lumbar Spinal Stenosis With Redundant Nerve Roots: Cauda Equina Activation Sign.伴有神经根冗余的腰椎管狭窄症减压椎板切除术前、后马尾运动的动态变化:马尾激活信号
Global Spine J. 2019 Sep;9(6):619-623. doi: 10.1177/2192568218821344. Epub 2019 Feb 13.
10
Clinical Significance of Redundant Nerve Roots in Patients with Lumbar Stenosis Undergoing Minimally Invasive Tubular Decompression.微创管状减压治疗腰椎狭窄症患者神经根冗余的临床意义。
World Neurosurg. 2022 Aug;164:e868-e876. doi: 10.1016/j.wneu.2022.05.061. Epub 2022 May 20.

本文引用的文献

1
[Clinical research progress of spinal epidural lipomatosis].[脊髓硬膜外脂肪增多症的临床研究进展]
Zhongguo Xiu Fu Chong Jian Wai Ke Za Zhi. 2023 Oct 15;37(10):1284-1291. doi: 10.7507/1002-1892.202305071.
2
Decorin: a potential therapeutic candidate for ligamentum flavum hypertrophy by antagonizing TGF-β1.核心蛋白聚糖:通过拮抗 TGF-β1 抑制黄韧带肥厚的潜在治疗靶点
Exp Mol Med. 2023 Jul;55(7):1413-1423. doi: 10.1038/s12276-023-01023-y. Epub 2023 Jul 3.
3
Ligamentum flavum analysis in patients with lumbar discus hernia and lumbar spinal stenosis.
黄韧带在腰椎间盘突出症与腰椎管狭窄症患者中的分析。
Sci Rep. 2023 Mar 7;13(1):3804. doi: 10.1038/s41598-023-30928-x.
4
Effectiveness of caudal block in patients with spinal stenosis accompanied by redundant nerve root syndrome.骶管阻滞治疗伴有神经根冗余综合征的椎管狭窄症的疗效。
J Int Med Res. 2023 Feb;51(2):3000605231153326. doi: 10.1177/03000605231153326.
5
Redundant nerve root syndrome mimicking an intradural spinal cord tumor: A case report.酷似硬脊膜内脊髓肿瘤的冗余神经根综合征:一例报告
Surg Neurol Int. 2023 Jan 20;14:19. doi: 10.25259/SNI_1150_2022. eCollection 2023.
6
En bloc resection of ligamentum flavum with laminotomy of the caudal lamina in the minimally invasive laminectomy: surgical anatomy and technique.微创椎板切除术中黄韧带整块切除及尾侧椎板椎板切开术:手术解剖与技术
Neurosurg Focus. 2023 Jan;54(1):E8. doi: 10.3171/2022.10.FOCUS22601.
7
Histological difference in ligament flavum between degenerative lumbar canal stenosis and non-stenotic group: A prospective, comparative study.退行性腰椎管狭窄症与非狭窄组之间黄韧带的组织学差异:一项前瞻性比较研究。
World J Orthop. 2022 Sep 18;13(9):791-801. doi: 10.5312/wjo.v13.i9.791.
8
The prevalence of redundant nerve roots in standing positional MRI decreases by half in supine and almost to zero in flexed seated position: a retrospective cross-sectional cohort study.站立位 MRI 中冗余神经根的发生率在仰卧位时减少一半,在屈髋坐位时几乎降为零:一项回顾性的横断面队列研究。
Neuroradiology. 2022 Nov;64(11):2191-2201. doi: 10.1007/s00234-022-03047-z. Epub 2022 Sep 9.
9
Redundant nerve roots indicate higher degree of stenosis in lumbar spine stenotic patients.冗余神经根表明腰椎狭窄症患者的狭窄程度更高。
Acta Neurol Belg. 2023 Oct;123(5):1781-1787. doi: 10.1007/s13760-022-02040-w. Epub 2022 Aug 7.
10
Cushioning the blow: role of perirenal fat in renal trauma injury severity.缓冲打击:肾周脂肪在肾损伤严重程度中的作用。
BJU Int. 2023 Feb;131(2):208-212. doi: 10.1111/bju.15855. Epub 2022 Aug 2.