Suppr超能文献

放射性臂丛神经病变的磁共振成像

Magnetic Resonance Imaging of Radiation-Induced Brachial Plexopathy.

作者信息

Shetty Neha D, Dhande Rajasbala, Parihar Pratapsingh, Bora Nikita

机构信息

Radiodiagnosis, Datta Meghe Institute of Higher Education & Research, Wardha, IND.

Radiology, Datta Meghe Institute of Higher Education & Research, Wardha, IND.

出版信息

Cureus. 2024 May 10;16(5):e60067. doi: 10.7759/cureus.60067. eCollection 2024 May.

Abstract

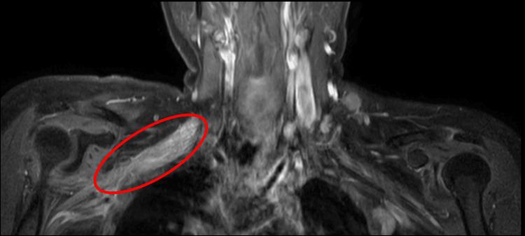
This report illustrates the case of a 37-year-old woman following chemoradiotherapy for invasive ductal carcinoma of the right breast. The patient underwent surgery and received a radiation dose of 50 gray to the chest wall and 45 gray to the regional lymph nodes in 25 total fractions. She developed motor and sensory weakness in the right upper limb eight years after treatment. Brachial plexus neuropathy in cancer patients may result from either trauma to the plexus during surgery, the spread of cancer, or radiation therapy, and distinguishing between them may be difficult. The case highlights the importance of recognizing the signs, symptoms, and possible differential diagnosis of radiation-induced brachial plexopathy in cancer patients post-radiation therapy. It emphasizes the role of magnetic resonance imaging in the careful assessment and diagnosis of such a case.

摘要

本报告阐述了一名37岁女性在接受右乳浸润性导管癌放化疗后的病例。该患者接受了手术治疗,并在25次分次放疗中,胸壁接受了50格雷的辐射剂量,区域淋巴结接受了45格雷的辐射剂量。治疗八年后,她出现了右上肢运动和感觉无力的症状。癌症患者的臂丛神经病变可能是由于手术过程中对神经丛的创伤、癌症扩散或放射治疗引起的,区分它们可能很困难。该病例强调了识别癌症患者放疗后放射性臂丛神经病变的体征、症状及可能的鉴别诊断的重要性。它强调了磁共振成像在仔细评估和诊断此类病例中的作用。

https://cdn.ncbi.nlm.nih.gov/pmc/blobs/05d5/11163868/1d04c79cf662/cureus-0016-00000060067-i01.jpg

文献检索

告别复杂PubMed语法,用中文像聊天一样搜索,搜遍4000万医学文献。AI智能推荐,让科研检索更轻松。

立即免费搜索

文件翻译

保留排版,准确专业,支持PDF/Word/PPT等文件格式,支持 12+语言互译。

免费翻译文档

深度研究

AI帮你快速写综述,25分钟生成高质量综述,智能提取关键信息,辅助科研写作。

立即免费体验